Skip to main content

Piccolo Antibody - BSA Free

Novus Biologicals, part of Bio-Techne | Catalog # NBP1-90251

Novus Biologicals, part of Bio-Techne
Catalog #
Availability
Size / Price
Qty
Loading...
NBP1-90251
NBP1-90251-25ul

Key Product Details

Species Reactivity

Validated:

Human

Predicted:

Mouse (93%), Rat (93%). Backed by our 100% Guarantee.

Applications

Immunohistochemistry, Immunohistochemistry-Paraffin

Label

Unconjugated

Antibody Source

Polyclonal Rabbit IgG

Format

BSA Free

Concentration

Concentrations vary lot to lot. See vial label for concentration. If unlisted please contact technical services.

Product Specifications

Immunogen

This antibody was developed against Recombinant Protein corresponding to amino acids: IYQYNYDPSGTASPQTTTEQAILEGQYAALEGSQFWATEDATTTASAVVAIEIPQSQGWYTVQSDGVTQYIAPPGILSTVSEIPLTDVVVKEEKQPKKRSSGAKVRGQYDDMGENMTDDPRSFKKIVDSGVQTDDE

Marker

Synaptic Marker

Clonality

Polyclonal

Host

Rabbit

Isotype

IgG

Description

Novus Biologicals Rabbit Piccolo Antibody - BSA Free (NBP1-90251) is a polyclonal antibody validated for use in IHC. All Novus Biologicals antibodies are covered by our 100% guarantee.

Scientific Data Images for Piccolo Antibody - BSA Free

Immunohistochemistry-Paraffin: Piccolo Antibody [NBP1-90251]

Immunohistochemistry-Paraffin: Piccolo Antibody [NBP1-90251]

Immunohistochemistry-Paraffin: Piccolo Antibody [NBP1-90251] - Staining of human testis shows moderate membranous positivity in cells in seminiferous ducts.
Immunohistochemistry-Paraffin: Piccolo Antibody [NBP1-90251]

Immunohistochemistry-Paraffin: Piccolo Antibody [NBP1-90251]

Immunohistochemistry-Paraffin: Piccolo Antibody [NBP1-90251] - Staining of human cerebellum shows strong cytoplasmic positivity in Purkinje cells.
Immunohistochemistry-Paraffin: Piccolo Antibody [NBP1-90251]

Immunohistochemistry-Paraffin: Piccolo Antibody [NBP1-90251]

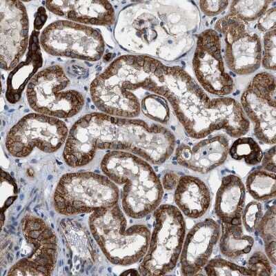
Immunohistochemistry-Paraffin: Piccolo Antibody [NBP1-90251] - Staining of human kidney shows strong membranous and cytoplasmic positivity in cells in tubules.

Applications for Piccolo Antibody - BSA Free

Application
Recommended Usage

Immunohistochemistry

1:500 - 1:1000

Immunohistochemistry-Paraffin

1:500-1:1000
Application Notes
For IHC-Paraffin, HIER pH 6 retrieval is recommended.

Formulation, Preparation, and Storage

Purification

Immunogen affinity purified

Formulation

PBS (pH 7.2) and 40% Glycerol

Format

BSA Free

Preservative

0.02% Sodium Azide

Concentration

Concentrations vary lot to lot. See vial label for concentration. If unlisted please contact technical services.

Shipping

The product is shipped with polar packs. Upon receipt, store it immediately at the temperature recommended below.

Stability & Storage

Store at 4C short term. Aliquot and store at -20C long term. Avoid freeze-thaw cycles.

Background: Piccolo

Piccolo is a presynaptic cytomatrix protein concentrated at the presynaptic side of synaptic junctions. Piccolo is a large protein which constists of an N-terminal Zn2+ finger, several piccolo-bassoon homology domains (PBH-domains) and C-terminal PDZ and C2 domains. It is usually found together with bassoon, a related huge multi-domain protein of the CAZ (cytoskeletal matric assembled at active zones). Piccolo is a scaffolding protein for proteins involved in endo- and exocytosis of synaptic vesicles. Recently piccolo has been shown to interfere with clathrin mediated endocytosis by binding to the F-actin and dynamin binding protein Abp1. Piccolo is highly expressed in brain with low levels found in stomach. It is not detected in other tissues analyzed including adrenal gland, testis and pancreas.

Long Name

Presynaptic Cytomatrix Protein

Alternate Names

ACZ, Aczonin, PCLO

Gene Symbol

PCLO

Additional Piccolo Products

Product Documents for Piccolo Antibody - BSA Free

Certificate of Analysis

To download a Certificate of Analysis, please enter a lot number in the search box below.

Product Specific Notices for Piccolo Antibody - BSA Free

This product is for research use only and is not approved for use in humans or in clinical diagnosis. Primary Antibodies are guaranteed for 1 year from date of receipt.

Loading...
Loading...
Loading...
Loading...