Skip to main content

PICALM Antibody (PSH01-63)

Novus Biologicals, part of Bio-Techne | Catalog # NBP3-32821

Recombinant Monoclonal Antibody
Novus Biologicals, part of Bio-Techne
Catalog #
Availability
Size / Price
Qty
Loading...
NBP3-32821

Key Product Details

Species Reactivity

Human, Mouse, Rat

Applications

Immunohistochemistry, Immunohistochemistry-Paraffin, Western Blot

Label

Unconjugated

Antibody Source

Recombinant Monoclonal Rabbit IgG Clone # PSH01-63 expressed in HEK293

Concentration

1 mg/ml

Product Specifications

Immunogen

Recombinant protein within human PICALM aa 1-450. (Uniprot: Q13492)

Localization

Cell membrane, Coated pit, Cytoplasmic vesicle, Golgi apparatus, Membrane, Nucleus

Clonality

Monoclonal

Host

Rabbit

Isotype

IgG

Theoretical MW

71 kDa.
Disclaimer note: The observed molecular weight of the protein may vary from the listed predicted molecular weight due to post translational modifications, post translation cleavages, relative charges, and other experimental factors.

Description

Novus Biologicals Rabbit PICALM Antibody (PSH01-63) (NBP3-32821) is a recombinant monoclonal antibody validated for use in IHC and WB. All Novus Biologicals antibodies are covered by our 100% guarantee.

Scientific Data Images for PICALM Antibody (PSH01-63)

PICALM Antibody (PSH01-63)

Western Blot: PICALM Antibody (PSH01-63) [NBP3-32821]

Western Blot: PICALM Antibody (PSH01-63) [NBP3-32821] - Western blot analysis of PICALM on different lysates with Rabbit anti-PICALM antibody (NBP3-32821) at 1/1,000 dilution.

Lane 1: HepG2 cell lysate
Lane 2: PC-3M cell lysate
Lane 3: A431 cell lysate
Lane 4: K-562 cell lysate
Lane 5: Neuro-2a cell lysate
Lane 6: NIH/3T3 cell lysate
Lane 7: PC-12 cell lysate

Lysates/proteins at 20 ug/Lane.

Predicted band size: 71 kDa
Observed band size: 65/71 kDa

Exposure time: 3 minutes;

4-20% SDS-PAGE gel.

Proteins were transferred to a PVDF membrane and blocked with 5% NFDM/TBST for 1 hour at room temperature. The primary antibody (NBP3-32821) at 1/1,000 dilution was used in 5% NFDM/TBST at room temperature for 2 hours. Goat Anti-Rabbit IgG - HRP Secondary Antibody at 1/50,000 dilution was used for 1 hour at room temperature.
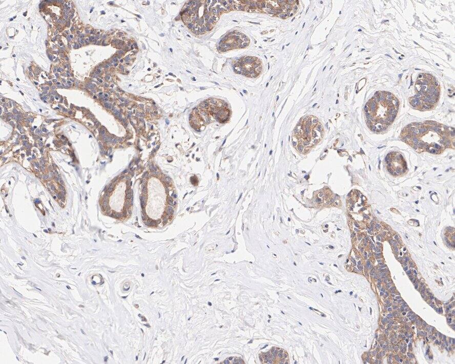
PICALM Antibody (PSH01-63)

Immunohistochemistry: PICALM Antibody (PSH01-63) [NBP3-32821]

Immunohistochemistry: PICALM Antibody (PSH01-63) [NBP3-32821] - Immunohistochemical analysis of paraffin-embedded human breast tissue with Rabbit anti-PICALM antibody (NBP3-32821) at 1/50 dilution.

The section was pre-treated using heat mediated antigen retrieval with sodium citrate buffer (pH 6.0) for 2 minutes. The tissues were blocked in 1% BSA for 20 minutes at room temperature, washed with ddH2O and PBS, and then probed with the primary antibody (NBP3-32821) at 1/50 dilution for 1 hour at room temperature. The detection was performed using an HRP conjugated compact polymer system. DAB was used as the chromogen. Tissues were counterstained with hematoxylin and mounted with DPX.

Applications for PICALM Antibody (PSH01-63)

Application
Recommended Usage

Immunohistochemistry-Paraffin

1:50

Western Blot

1:1000

Formulation, Preparation, and Storage

Purification

Protein A purified

Formulation

PBS (pH7.4), 0.1% BSA and 40% Glycerol

Preservative

0.05% Sodium Azide

Concentration

1 mg/ml

Shipping

The product is shipped with polar packs. Upon receipt, store it immediately at the temperature recommended below.

Stability & Storage

Store at 4C short term. Aliquot and store at -20C long term. Avoid freeze-thaw cycles.

Background: PICALM

Assembly protein recruiting clathrin and adaptor protein complex 2 (AP2) to cell membranes at sites of coated-pit formation and clathrin-vesicle assembly. May be required to determine the amount of membrane to be recycled, possibly by regulating the size of the clathrin cage. Involved in AP2-dependent clathrin-mediated endocytosis at the neuromuscular junction

Alternate Names

CALMclathrin assembly lymphoid-myeloid leukemia, Clathrin assembly lymphoid myeloid leukemia protein, CLTHphosphatidylinositol-binding clathrin assembly protein, LAP, phosphatidylinositol binding clathrin assembly protein

Gene Symbol

PICALM

Additional PICALM Products

Product Documents for PICALM Antibody (PSH01-63)

Certificate of Analysis

To download a Certificate of Analysis, please enter a lot number in the search box below.

Product Specific Notices for PICALM Antibody (PSH01-63)

This product is for research use only and is not approved for use in humans or in clinical diagnosis. Primary Antibodies are guaranteed for 1 year from date of receipt.

Loading...
Loading...
Loading...
Loading...