PI4KB/PI4KIII beta Antibody - BSA Free
Novus Biologicals, part of Bio-Techne | Catalog # NBP1-80906
Key Product Details
Species Reactivity
Validated:
Human
Predicted:
Mouse (100%), Rat (100%). Backed by our 100% Guarantee.
Applications
Immunohistochemistry, Immunohistochemistry-Paraffin
Label
Unconjugated
Antibody Source
Polyclonal Rabbit IgG
Format
BSA Free
Concentration
Concentrations vary lot to lot. See vial label for concentration. If unlisted please contact technical services.
Product Specifications
Immunogen
This antibody was developed against Recombinant Protein corresponding to amino acids: TPTAFKRDPEDPSAVALKEPWQEKVRRIREGSPYGHLPNWRLLSVIVKCGDDLRQELLAFQVLKQLQSIWEQERVPLWIKPYKILVISADSGMIEPVVNAVSIHQVKKQSQLSLLDYFLQEHGSYTTEAFLSAQRNFVQSCAGY
Clonality
Polyclonal
Host
Rabbit
Isotype
IgG
Scientific Data Images for PI4KB/PI4KIII beta Antibody - BSA Free
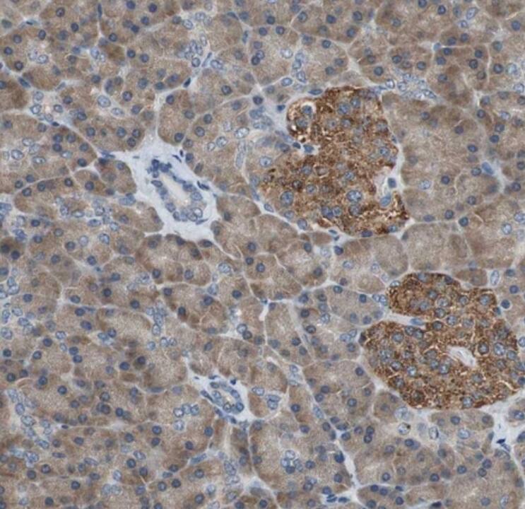
Immunohistochemistry-Paraffin: PI4KB/PI4KIII beta Antibody [NBP1-80906]
Immunohistochemistry-Paraffin: PI4KB/PI4KIII beta Antibody [NBP1-80906] - Staining of human stomach shows strong cytoplasmic positivity in glandular cells.PI4KB/PI4KIII beta Antibody [NBP1-80906] -
Staining of human cerebral cortex shows strong cytoplasmic positivity in neuronal cells.PI4KB/PI4KIII beta Antibody [NBP1-80906] -
Staining of human pancreas shows strong cytoplasmic positivity in endocrine glandular cells and moderate cytoplasmic positivity in exocrine glandular cells.Applications for PI4KB/PI4KIII beta Antibody - BSA Free
Application
Recommended Usage
Immunohistochemistry
1:20 - 1:50
Immunohistochemistry-Paraffin
1:20 - 1:50
Application Notes
IHC-Paraffin, HIER pH 6 retrieval is recommended.
Formulation, Preparation, and Storage
Purification
Affinity purified
Formulation
PBS (pH 7.2) and 40% Glycerol
Format
BSA Free
Preservative
0.02% Sodium Azide
Concentration
Concentrations vary lot to lot. See vial label for concentration. If unlisted please contact technical services.
Shipping
The product is shipped with polar packs. Upon receipt, store it immediately at the temperature recommended below.
Stability & Storage
Store at 4C short term. Aliquot and store at -20C long term. Avoid freeze-thaw cycles.
Background: PI4KB/PI4KIII beta
Long Name
Phosphatidylinositol 4-kinase beta
Alternate Names
NPIK, PI4K-beta, PI4K92, PI4KB, PI4Kbeta, PI4KIII, PIK4CB
Entrez Gene IDs
5298 (Human)
Gene Symbol
PI4KB
UniProt
Additional PI4KB/PI4KIII beta Products
Product Documents for PI4KB/PI4KIII beta Antibody - BSA Free
Product Specific Notices for PI4KB/PI4KIII beta Antibody - BSA Free
This product is for research use only and is not approved for use in humans or in clinical diagnosis. Primary Antibodies are guaranteed for 1 year from date of receipt.
Loading...
Loading...
Loading...
Loading...