Skip to main content

PI 3-Kinase p110 delta Antibody (PIK3CD/4639) - Azide and BSA Free

Novus Biologicals, part of Bio-Techne | Catalog # NBP3-24232

Novus Biologicals, part of Bio-Techne

Key Product Details

Species Reactivity

Human

Applications

Immunohistochemistry-Paraffin, Western Blot

Label

Unconjugated

Antibody Source

Monoclonal Mouse IgG2b Kappa Clone # PIK3CD/4639

Format

Azide and BSA Free

Concentration

1 mg/ml

Product Specifications

Immunogen

Recombinant fragment of human PI 3-Kinase p110 delta protein (around aa 520-720) (exact sequence is proprietary)

Localization

Cytoplasm.

Clonality

Monoclonal

Host

Mouse

Isotype

IgG2b Kappa

Description

Antibody without azide - store at -20 to -80C.

Scientific Data Images for PI 3-Kinase p110 delta Antibody (PIK3CD/4639) - Azide and BSA Free

Protein Array: PI 3-Kinase p110 delta Antibody (PIK3CD/4639) - Azide and BSA Free [NBP3-24232] -

Analysis of Protein Array containing more than 19,000 full-length human proteins using PI 3-Kinase p110 delta antibody (PIK3CD/4639) - Azide and BSA Free

Western Blot: PI 3-Kinase p110 delta Antibody (PIK3CD/4639) - Azide and BSA Free [NBP3-24232] -

Western blot analysis of THP-1 cell lysate using PI 3-Kinase p110 delta antibody (PIK3CD/4639) - Azide and BSA Free

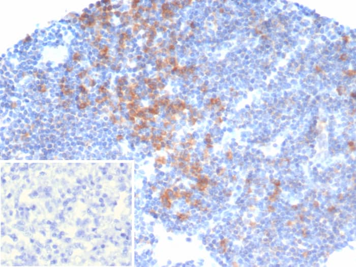
Immunohistochemistry-Paraffin: PI 3-Kinase p110 delta Antibody (PIK3CD/4639) - Azide and BSA Free [NBP3-24232] -

Formalin-fixed, paraffin-embedded human lymph node stained with PI 3-Kinase p110 delta antibody (PIK3CD/4639) - Azide and BSA Free. Inset: PBS instead of primary antibody; secondary only negative control.

Applications for PI 3-Kinase p110 delta Antibody (PIK3CD/4639) - Azide and BSA Free

Application
Recommended Usage

Immunohistochemistry-Paraffin

1-2ug/ml

Western Blot

1-2ug/ml
Application Notes
Immunohistochemistry-Paraffin: 1-2ug/ml for 30 minutes at RT. Staining of formalin-fixed tissues requires heating tissue sections in 10mM Tris with 1mM EDTA, pH 9.0, for 45 min at 95C followed by cooling at RT for 20 minutes. Optimal dilution for a specific application should be determined.

Formulation, Preparation, and Storage

Purification

Protein A or G purified

Formulation

10mM PBS

Format

Azide and BSA Free

Preservative

No Preservative

Concentration

1 mg/ml

Shipping

The product is shipped with polar packs. Upon receipt, store it immediately at the temperature recommended below.

Stability & Storage

Store at -20 to -80C. Avoid freeze-thaw cycles.

Background: PI 3-Kinase p110 delta

PI3-Kinases (PI3-Ks) are a family of lipid kinases that are implicated in signal transduction. PI3-K consists of two subunits; p85 and p110. The p85 subunit localize PI3-K activity to the plasma membrane while the p110 subunit contains the catalytic domain of PI3-K. Four isoforms of p110 has been found; the alpha, beta, gamma, and the delta subunit. The delta isoform is predominantly expressed in leukocytes and has been shown to interact with p85 and GTP-bound Ras via its SH2/SH3 domain.

Long Name

Protein Tyrosine Phosphatase 1D

Alternate Names

PI 3Kinase p110 delta, PIK3CD

Gene Symbol

PIK3CD

Additional PI 3-Kinase p110 delta Products

Product Documents for PI 3-Kinase p110 delta Antibody (PIK3CD/4639) - Azide and BSA Free

Certificate of Analysis

To download a Certificate of Analysis, please enter a lot number in the search box below.

Product Specific Notices for PI 3-Kinase p110 delta Antibody (PIK3CD/4639) - Azide and BSA Free

This product is for research use only and is not approved for use in humans or in clinical diagnosis. Primary Antibodies are guaranteed for 1 year from date of receipt.

Loading...
Loading...
Loading...
Loading...