Skip to main content

Phospholipase C delta 1 Antibody - BSA Free

Novus Biologicals, part of Bio-Techne | Catalog # NBP3-05935

Novus Biologicals, part of Bio-Techne
Catalog #
Availability
Size / Price
Qty
Loading...
NBP3-05935-100ul
NBP3-05935-50ul
Conjugate
Catalog #

Key Product Details

Species Reactivity

Human

Applications

Immunohistochemistry, Immunohistochemistry-Paraffin, Western Blot, Immunocytochemistry/ Immunofluorescence, Immunoprecipitation

Label

Unconjugated

Antibody Source

Polyclonal Rabbit IgG

Format

BSA Free

Concentration

Please see the vial label for concentration. If unlisted please contact technical services.

Product Specifications

Immunogen

Produced in rabbits immunized with E. coli-derived Human Phospholipase C delta 1 fragment.

Clonality

Polyclonal

Host

Rabbit

Isotype

IgG

Description

This antibody can be stored at 2C-8C for one month without detectable loss of activity. Antibody products are stable for twelve months from date of receipt when stored at -20C to -80C. Avoid repeated freeze-thaw cycles.

Scientific Data Images for Phospholipase C delta 1 Antibody - BSA Free

Western Blot: Phospholipase C delta 1 Antibody [NBP3-05935]

Western Blot: Phospholipase C delta 1 Antibody [NBP3-05935]

Western Blot: Phospholipase C delta 1 Antibody [NBP3-05935] - Lane A: HeLa Whole Cell LysateLane B: NIH3T3 Whole Cell LysateLysates/proteins at 30 ug per lane.SecondaryGoat Anti-Rabbit IgG (H+L)/HRP at 1/10000 dilution.Developed using the ECL technique.Performed under reducing conditions.Predicted band size:88 kDaObserved band size:83 kDa
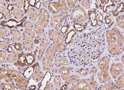
Immunohistochemistry-Paraffin: Phospholipase C delta 1 Antibody [NBP3-05935]

Immunohistochemistry-Paraffin: Phospholipase C delta 1 Antibody [NBP3-05935]

Immunohistochemistry-Paraffin: Phospholipase C delta 1 Antibody [NBP3-05935] - Staining of human PLCD1 in human kidney with rabbit polyclonal antibody at 1:100 dilution.
Immunoprecipitation: Phospholipase C delta 1 Antibody [NBP3-05935]

Immunoprecipitation: Phospholipase C delta 1 Antibody [NBP3-05935]

Immunoprecipitation: Phospholipase C delta 1 Antibody [NBP3-05935] - Lane A:0.5 mg NIH3T3 Whole Cell Lysate4 uL anti-PLCD1 rabbit polyclonal antibody and 60 ug of Immunomagnetic beads Protein A/G.Primary antibody:Anti-PLCD1 rabbit polyclonal antibody,at 1:100 dilution Secondary antibody:Goat Anti-Rabbit IgG (H+L)/HRP at 1/10000 dilutionDeveloped using the ECL technique.Performed under reducing conditions.Predicted band size: 86 kDaObserved band size :90 kDa

Applications for Phospholipase C delta 1 Antibody - BSA Free

Application
Recommended Usage

Immunocytochemistry/ Immunofluorescence

1:100-1:500

Immunohistochemistry-Paraffin

1:50-1:200

Immunoprecipitation

1-5uL/mg of lysate

Western Blot

1:500-1:2000

Formulation, Preparation, and Storage

Purification

Antigen and protein A Affinity-purified

Formulation

PBS

Format

BSA Free

Preservative

0.03% Proclin 300

Concentration

Please see the vial label for concentration. If unlisted please contact technical services.

Shipping

The product is shipped with polar packs. Upon receipt, store it immediately at the temperature recommended below.

Stability & Storage

Store at 4C short term. Aliquot and store at -20C long term. Avoid freeze-thaw cycles.

Background: Phospholipase C delta 1

Phospholipase C delta 1, also known by its gene name PLCD1, has a 756 amino acid long isoform that is approximately 86 kDa and a 777 amino acid long isoform that is approximately 88 kDa. Phospholipase C delta 1 is a member of the phospholipase C family and plays a critical role in the production of intercellular second messenger molecules. Phospholipase C delta 1 is a tumor suppressor and mutations in PLCD1 may be a cause of hereditary leukonychia. Currently research on Phospholipase C delta 1 is related to several diseases and disorders including nail disorders, squamous cell carcinoma, Huntington's disease, Alzheimer's disease, colon carcinoma, breast cancer, esophagitis and hypertension. Phospholipase C delta 1 has also been shown to interact with CALM1, CALM2, CALM3, TGM2 and KPNB1 in pathways such as IGF1R signaling, PKA signaling, sweet taste signaling and CREB Pathway.

Long Name

1-phosphatidylinositol 4,5-bisphosphate phosphodiesterase delta-1

Alternate Names

Phospholipase C-III, PLC-delta-1, PLC-III, PLCD1

Gene Symbol

PLCD1

Additional Phospholipase C delta 1 Products

Product Documents for Phospholipase C delta 1 Antibody - BSA Free

Certificate of Analysis

To download a Certificate of Analysis, please enter a lot number in the search box below.

Product Specific Notices for Phospholipase C delta 1 Antibody - BSA Free

This product is for research use only and is not approved for use in humans or in clinical diagnosis. Primary Antibodies are guaranteed for 1 year from date of receipt.

Loading...
Loading...
Loading...
Loading...