Skip to main content

PHKG2 Antibody - BSA Free

Novus Biologicals, part of Bio-Techne | Catalog # NBP1-54866

Novus Biologicals, part of Bio-Techne
Catalog #
Availability
Size / Price
Qty
Loading...
NBP1-54866

Key Product Details

Species Reactivity

Human, Mouse

Applications

Immunohistochemistry, Immunohistochemistry-Paraffin, Western Blot

Label

Unconjugated

Antibody Source

Polyclonal Rabbit IgG

Format

BSA Free

Concentration

0.5 mg/ml

Product Specifications

Immunogen

Synthetic peptides corresponding to PHKG2 (phosphorylase kinase, gamma 2 (testis)) The peptide sequence was selected from the N terminal of PHKG2. Peptide sequence EDELPDWAAAKEFYQKYDPKDVIGRGVSSVVRRCVHRATGHEFAVKIMEV. The peptide sequence for this immunogen was taken from within the described region.

Clonality

Polyclonal

Host

Rabbit

Isotype

IgG

Theoretical MW

46 kDa.
Disclaimer note: The observed molecular weight of the protein may vary from the listed predicted molecular weight due to post translational modifications, post translation cleavages, relative charges, and other experimental factors.

Description

The addition of 50% glycerol is optional for those storing this antibody at -20C and not aliquoting smaller units. However, please note that glycerol may interrupt some downstream antibody applications and should be added with caution.

Scientific Data Images for PHKG2 Antibody - BSA Free

Western Blot: PHKG2 Antibody [NBP1-54866]

Western Blot: PHKG2 Antibody [NBP1-54866]

Western Blot: PHKG2 Antibody [NBP1-54866] - HepG2 cell lysate, Antibody Titration: 0.2-1 ug/ml
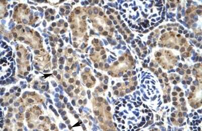
Immunohistochemistry-Paraffin: PHKG2 Antibody [NBP1-54866]

Immunohistochemistry-Paraffin: PHKG2 Antibody [NBP1-54866]

Immunohistochemistry-Paraffin: PHKG2 Antibody [NBP1-54866] - Human kidney Tissue, antibody concentration 4-8ug/ml. Cells with positive label: renal corpuscle cells (indicated with arrows) 400X magnification.

Applications for PHKG2 Antibody - BSA Free

Application
Recommended Usage

Immunohistochemistry

1:10-1:500

Immunohistochemistry-Paraffin

1:10-1:500

Western Blot

1.0 ug/ml

Formulation, Preparation, and Storage

Purification

Affinity purified

Formulation

PBS, 2% Sucrose

Format

BSA Free

Preservative

0.09% Sodium Azide

Concentration

0.5 mg/ml

Shipping

The product is shipped with polar packs. Upon receipt, store it immediately at the temperature recommended below.

Stability & Storage

Store at 4C short term. Aliquot and store at -20C long term. Avoid freeze-thaw cycles.

Background: PHKG2

Mutations in PHKG2 along with PHKA2 and PHKB, all three different genes of phosphorylase kinase (Phk) subunits, can give rise to glycogen storage disease of the liver. The autosomal-recessive, liver-specific variant of Phk deficiency is caused by mutations in the gene encoding the testis/liver isoform of the catalytic gamma subunit, PHKG2.

Alternate Names

EC 2.7.11, EC 2.7.11.19, GSD9C, PHK-gamma-T, phosphorylase b kinase gamma catalytic chain, testis/liver isoform, Phosphorylase kinase subunit gamma-2, phosphorylase kinase, gamma 2 (testis), Phosphorylase kinase, gamma 2 (testis/liver), PSK-C3

Gene Symbol

PHKG2

UniProt

Additional PHKG2 Products

Product Documents for PHKG2 Antibody - BSA Free

Certificate of Analysis

To download a Certificate of Analysis, please enter a lot number in the search box below.

Product Specific Notices for PHKG2 Antibody - BSA Free

This product is for research use only and is not approved for use in humans or in clinical diagnosis. Primary Antibodies are guaranteed for 1 year from date of receipt.

Loading...
Loading...
Loading...
Loading...