Skip to main content

PHF7 Antibody - BSA Free

Novus Biologicals, part of Bio-Techne | Catalog # NBP1-81674

Novus Biologicals, part of Bio-Techne
Catalog #
Availability
Size / Price
Qty
Loading...
NBP1-81674
NBP1-81674-25ul

Key Product Details

Validated by

Orthogonal Validation

Species Reactivity

Human

Applications

Immunohistochemistry, Immunohistochemistry-Paraffin

Label

Unconjugated

Antibody Source

Polyclonal Rabbit IgG

Format

BSA Free

Concentration

Concentrations vary lot to lot. See vial label for concentration. If unlisted please contact technical services.

Product Specifications

Immunogen

This antibody was developed against Recombinant Protein corresponding to amino acids: KTVKEKKECQRLRKSAKTRRVTQRKPSSGPVCWLCLREPGDPEKLGEFLQKDNISVHYFCLILSSKLPQRGQSNRGFHGFLPEDIKKEAARASRKICFVC

Reactivity Notes

Immunogen displays the following percentage of sequence identity for non-tested species: Rat (80%)

Clonality

Polyclonal

Host

Rabbit

Isotype

IgG

Description

Novus Biologicals Rabbit PHF7 Antibody - BSA Free (NBP1-81674) is a polyclonal antibody validated for use in IHC. All Novus Biologicals antibodies are covered by our 100% guarantee.

Scientific Data Images for PHF7 Antibody - BSA Free

Immunohistochemistry-Paraffin: PHF7 Antibody [NBP1-81674]

Immunohistochemistry-Paraffin: PHF7 Antibody [NBP1-81674]

Immunohistochemistry-Paraffin: PHF7 Antibody [NBP1-81674] - Staining of human prostate shows no positivity in glandular cells as expected.
Immunohistochemistry-Paraffin: PHF7 Antibody [NBP1-81674]

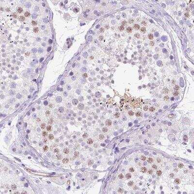
Immunohistochemistry-Paraffin: PHF7 Antibody [NBP1-81674]

Immunohistochemistry-Paraffin: PHF7 Antibody [NBP1-81674] - staining of human testis shows moderate cytoplasmic positivity in spermatozoa and spermatocytes.
Immunohistochemistry-Paraffin: PHF7 Antibody [NBP1-81674]

Immunohistochemistry-Paraffin: PHF7 Antibody [NBP1-81674]

Immunohistochemistry-Paraffin: PHF7 Antibody [NBP1-81674] - Staining in human testis and prostate tissues using anti-PHF7 antibody. Corresponding PHF7 RNA-seq data are presented for the same tissues.

Applications for PHF7 Antibody - BSA Free

Application
Recommended Usage

Immunohistochemistry

1:1000 - 1:2500

Immunohistochemistry-Paraffin

1:1000 - 1:2500
Application Notes
For IHC-Paraffin, HIER pH 6 retrieval is recommended. IF fixation permeabilization: PFA/Triton X-100.

Formulation, Preparation, and Storage

Purification

Immunogen affinity purified

Formulation

PBS (pH 7.2) and 40% Glycerol

Format

BSA Free

Preservative

0.02% Sodium Azide

Concentration

Concentrations vary lot to lot. See vial label for concentration. If unlisted please contact technical services.

Shipping

The product is shipped with polar packs. Upon receipt, store it immediately at the temperature recommended below.

Stability & Storage

Store at 4C short term. Aliquot and store at -20C long term. Avoid freeze-thaw cycles.

Background: PHF7

Spermatogenesis is a complex process regulated by extracellular and intracellular factors as well as cellular interactions among interstitial cells of the testis, Sertoli cells, and germ cells. In the testis, this gene is expressed in Sertoli cells but not germ cells. However, this gene is not expressed in a patient who exhibited spermatogenic arrest at the spermatocyte stage. Spermatogenic arrest is an interruption of germ cell differentiation that may result in oligospermia or azoospermia. The proteins encoded by this gene contain plant homeodomain (PHD) finger domains, also known as leukemia associated protein (LAP) domains, believed to be involved in transcriptional regulation. Thus this protein, which localizes to the nucleus of transfected cells, has been implicated in the transcriptional regulation of spermatogenesis. Two protein isoforms are encoded by transcript variants of this gene. [provided by RefSeq]

Alternate Names

DKFZp434L1850, HSPC045, HSPC226, MGC26088, NYD-SP6, PHD finger protein 7, Testis development protein NYD-SP6

Gene Symbol

PHF7

Additional PHF7 Products

Product Documents for PHF7 Antibody - BSA Free

Certificate of Analysis

To download a Certificate of Analysis, please enter a lot number in the search box below.

Product Specific Notices for PHF7 Antibody - BSA Free

This product is for research use only and is not approved for use in humans or in clinical diagnosis. Primary Antibodies are guaranteed for 1 year from date of receipt.

Loading...
Loading...
Loading...
Loading...