Skip to main content

PHC3 Antibody - BSA Free

Novus Biologicals, part of Bio-Techne | Catalog # NBP1-84896

Novus Biologicals, part of Bio-Techne
Catalog #
Availability
Size / Price
Qty
Loading...
NBP1-84896
NBP1-84896-25ul

Key Product Details

Species Reactivity

Validated:

Human, Mouse

Cited:

Mouse

Predicted:

Rat (94%). Backed by our 100% Guarantee.

Applications

Validated:

Immunohistochemistry, Immunohistochemistry-Paraffin, Western Blot, Immunocytochemistry/ Immunofluorescence

Cited:

Immunocytochemistry/ Immunofluorescence, IF/IHC

Label

Unconjugated

Antibody Source

Polyclonal Rabbit IgG

Format

BSA Free

Concentration

Concentrations vary lot to lot. See vial label for concentration. If unlisted please contact technical services.

Product Specifications

Immunogen

This antibody was developed against Recombinant Protein corresponding to amino acids: GVLSSSQNGPPKSTSQTQSLTICHNKTTVTSSKISQRDPSPESNKKGESPSLESRSTAVTRTSSIHQLIAPASYSPIQPHSLIKHQQIPLHSPPSKVSHHQ

Reactivity Notes

Mouse reactivity reported in scientific literature (PMID: 23301003).

Clonality

Polyclonal

Host

Rabbit

Isotype

IgG

Description

Novus Biologicals Rabbit PHC3 Antibody - BSA Free (NBP1-84896) is a polyclonal antibody validated for use in IHC, WB and ICC/IF. Anti-PHC3 Antibody: Cited in 1 publication. All Novus Biologicals antibodies are covered by our 100% guarantee.

Scientific Data Images for PHC3 Antibody - BSA Free

Western Blot: PHC3 Antibody [NBP1-84896]

Western Blot: PHC3 Antibody [NBP1-84896]

Western Blot: PHC3 Antibody [NBP1-84896] - Lane 1: Marker [kDa] 250, 130, 95, 72, 55, 36, 28, 17, 10. Lane 2: Human cell line RT-4. Lane 3: Human cell line U-251MG sp. Lane 4: Human plasma (IgG/HSA depleted). Lane 5: Human liver tissue. Lane 6: Human tonsil tissue
PHC3 Antibody

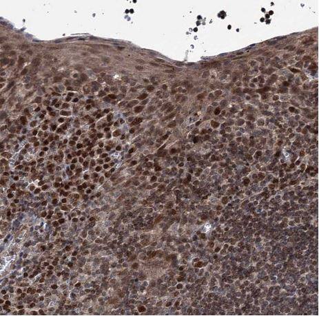
Immunohistochemistry-Paraffin: PHC3 Antibody [NBP1-84896] -

Immunohistochemistry-Paraffin: PHC3 Antibody [NBP1-84896] - Staining of human lymph node shows strong nuclear positivity in non-germinal center cells.
PHC3 Antibody

Immunohistochemistry-Paraffin: PHC3 Antibody [NBP1-84896] -

Immunohistochemistry-Paraffin: PHC3 Antibody [NBP1-84896] - Staining of human testis shows strong nuclear positivity in seminiferous ducts.

Applications for PHC3 Antibody - BSA Free

Application
Recommended Usage

Immunocytochemistry/ Immunofluorescence

Reported in scientific literature (PMID: 23301003)

Immunohistochemistry

1:200 - 1:500

Immunohistochemistry-Paraffin

1:200-1:500

Western Blot

0.04-0.4 ug/ml
Application Notes
For IHC-Paraffin, HIER pH 6 retrieval is recommended..

Formulation, Preparation, and Storage

Purification

Immunogen affinity purified

Formulation

PBS (pH 7.2) and 40% Glycerol

Format

BSA Free

Preservative

0.02% Sodium Azide

Concentration

Concentrations vary lot to lot. See vial label for concentration. If unlisted please contact technical services.

Shipping

The product is shipped with polar packs. Upon receipt, store it immediately at the temperature recommended below.

Stability & Storage

Store at 4C short term. Aliquot and store at -20C long term. Avoid freeze-thaw cycles.

Background: PHC3

Polyhomeotic-like 3 (PHC3) is a member of the polycomb family and part of the human polycomb complex, hPRC-H, a complex that represses HOX gene expression throughout development.

Alternate Names

DKFZp313K1221, early development regulator 3, Early development regulatory protein 3, EDR3FLJ12729, FLJ12967, Homolog of polyhomeotic 3, HPH3, MGC88144, PH3, polyhomeotic homolog 3 (Drosophila), polyhomeotic like 3, polyhomeotic like 3 (Drosophila), polyhomeotic-like protein 3

Gene Symbol

PHC3

Additional PHC3 Products

Product Documents for PHC3 Antibody - BSA Free

Certificate of Analysis

To download a Certificate of Analysis, please enter a lot number in the search box below.

Product Specific Notices for PHC3 Antibody - BSA Free

This product is for research use only and is not approved for use in humans or in clinical diagnosis. Primary Antibodies are guaranteed for 1 year from date of receipt.

Loading...
Loading...
Loading...
Loading...