PGM3 Antibody (OTI1A11)
Novus Biologicals, part of Bio-Techne | Catalog # NBP2-03734
Conjugate
Catalog #
Forumulation
Catalog #
Key Product Details
Species Reactivity
Human, Mouse, Rat, Monkey, Primate
Applications
Immunohistochemistry, Immunohistochemistry-Paraffin, Western Blot, Flow Cytometry
Label
Unconjugated
Antibody Source
Monoclonal Mouse IgG1 Clone # OTI1A11
Concentration
1 mg/ml
Product Specifications
Immunogen
Full length human recombinant protein of human PGM3(NP_056414) produced in HKE293T cell.
Reactivity Notes
Please note that this antibody is reactive to Mouse and derived from the same host, Mouse. Mouse-On-Mouse blocking reagent may be needed for IHC and ICC experiments to reduce high background signal. You can find these reagents under catalog numbers PK-2200-NB and MP-2400-NB. Please contact Technical Support if you have any questions.
Clonality
Monoclonal
Host
Mouse
Isotype
IgG1
Theoretical MW
59.7 kDa.
Disclaimer note: The observed molecular weight of the protein may vary from the listed predicted molecular weight due to post translational modifications, post translation cleavages, relative charges, and other experimental factors.
Disclaimer note: The observed molecular weight of the protein may vary from the listed predicted molecular weight due to post translational modifications, post translation cleavages, relative charges, and other experimental factors.
Description
Novus Biologicals Mouse PGM3 Antibody (OTI1A11) (NBP2-03734) is a monoclonal antibody validated for use in IHC, WB and Flow. All Novus Biologicals antibodies are covered by our 100% guarantee.
Scientific Data Images for PGM3 Antibody (OTI1A11)
Western Blot: PGM3 Antibody (1A11) [NBP2-03734] Analysis of extracts (35ug) from 9 different cell lines by usin g anti-PGM3 monoclonal antibody (HepG2: human; HeLa: human; SVT2: mouse; A549: human; COS7: monkey; Jurkat: human; MDCK: canine; PC12: rat; MCF7: human).
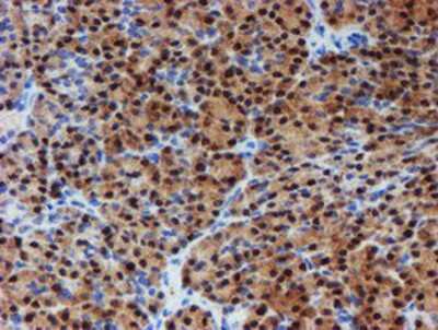
Immunohistochemistry-Paraffin: PGM3 Antibody (OTI1A11) [NBP2-03734]
Immunohistochemistry-Paraffin: PGM3 Antibody (1A11) [NBP2-03734] - Staining of paraffin-embedded Human prostate tissue using anti-PGM3 mouse monoclonal antibody.Flow Cytometry: PGM3 Antibody (OTI1A11) [NBP2-03734]
Flow Cytometry: PGM3 Antibody (1A11) [NBP2-03734] - HEK293T cells transfected with either overexpression plasmid (Red) or empty vector control plasmid (Blue) were immunostained by anti-PGM3 antibody, and then analyzed by flow cytometry.Applications for PGM3 Antibody (OTI1A11)
Application
Recommended Usage
Flow Cytometry
1:100
Immunohistochemistry
1:150
Immunohistochemistry-Paraffin
1:150
Western Blot
1:500-2000
Formulation, Preparation, and Storage
Purification
Immunogen affinity purified
Formulation
PBS (pH 7.3), 1.0% BSA and 50% Glycerol
Preservative
0.02% Sodium Azide
Concentration
1 mg/ml
Shipping
The product is shipped with polar packs. Upon receipt, store it immediately at the temperature recommended below.
Stability & Storage
Store at -20C. Avoid freeze-thaw cycles.
Background: PGM3
Alternate Names
AGM1PAGMAcetylglucosamine phosphomutase, DKFZP434B187, EC 5.4.2, EC 5.4.2.3, FLJ11614, FLJ13623, N-acetylglucosamine-phosphate mutase, N-acetylglucosamine-phosphate mutase 1, PGM 3, phosphoacetylglucosamine mutase, phosphoglucomutase 3, Phosphoglucomutase-3
Entrez Gene IDs
5238 (Human)
Gene Symbol
PGM3
Additional PGM3 Products
Product Documents for PGM3 Antibody (OTI1A11)
Product Specific Notices for PGM3 Antibody (OTI1A11)
This product is for research use only and is not approved for use in humans or in clinical diagnosis. Primary Antibodies are guaranteed for 1 year from date of receipt.
Loading...
Loading...
Loading...
Loading...
Loading...