Skip to main content

PGM1 Antibody (CL3299) - Azide and BSA Free

Novus Biologicals, part of Bio-Techne | Catalog # NBP3-44049

Novus Biologicals, part of Bio-Techne
Catalog #
Availability
Size / Price
Qty
Loading...
NBP3-44049

Key Product Details

Species Reactivity

Human

Applications

Immunohistochemistry-Paraffin, Western Blot

Label

Unconjugated

Antibody Source

Monoclonal Mouse IgG1 Clone # CL3299

Format

Azide and BSA Free

Concentration

LYOPH mg/ml

Product Specifications

Immunogen

This antibody was generated using a recombinant protein sequence of P36871, with the exact immunogen sequence remaining proprietary.

Clonality

Monoclonal

Host

Mouse

Isotype

IgG1

Description

Novus Biologicals Mouse PGM1 Antibody (CL3299) - Azide and BSA Free (NBP2-61618) is a monoclonal antibody validated for use in IHC and WB. All Novus Biologicals antibodies are covered by our 100% guarantee.

Scientific Data Images for PGM1 Antibody (CL3299) - Azide and BSA Free

PGM1 Antibody (CL3299) - Azide and BSA Free Western Blot: PGM1 Antibody [NBP3-44049]

Western Blot: PGM1 Antibody [NBP3-44049]

Lane 1: Marker [kDa] 250, 130, 100, 70, 55, 35, 25, 15, 10
Lane 2: Human cell line RT-4
PGM1 Antibody (CL3299) - Azide and BSA Free Immunohistochemistry-Paraffin: PGM1 Antibody [NBP3-44049]

Immunohistochemistry-Paraffin: PGM1 Antibody [NBP3-44049]

Staining of human fallopian tube shows absence of immunoreactivity (negative control).
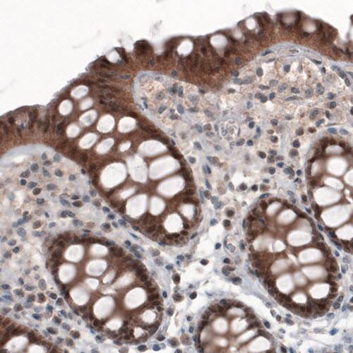
PGM1 Antibody (CL3299) - Azide and BSA Free Immunohistochemistry-Paraffin: PGM1 Antibody [NBP3-44049]

Immunohistochemistry-Paraffin: PGM1 Antibody [NBP3-44049]

Staining of human colon shows cytoplasmic positivity in glandular cells.

Applications for PGM1 Antibody (CL3299) - Azide and BSA Free

Application
Recommended Usage

Immunohistochemistry-Paraffin

1:2500 - 1:5000

Western Blot

1 ug/ml
Application Notes
IHC-Paraffin HIER pH6 retrieval is recommended.

Formulation, Preparation, and Storage

Purification

Protein A purified

Reconstitution

Centrifuge the vial of lyophilized antibody at 12,000 x g for 20 seconds. Reconstitute by adding sterile, distilled water to achieve a final antibody concentration of 1mg/ml.

Formulation

Lyophilized from a 0.2 um filtered solution in PBS with Trehalose

Format

Azide and BSA Free

Preservative

No Preservative

Concentration

LYOPH mg/ml

Shipping

The product is shipped at ambient temperature. Upon receipt, store it immediately at the temperature recommended below.

Stability & Storage

Store at 4C short term. Aliquot and store at -20C long term. Avoid freeze-thaw cycles.

Background: PGM1

Phosphoglucomutases (PGM; EC 5.4.2.2) catalyze the transfer of phosphate between the 1 and 6 positions of glucose. Isozymes of PGM are monomeric, with molecular masses of about 60 kD, and are encoded by several genes, including PGM1. In most cell types, PGM1 isozymes predominate, representing about 90% of total PGM activity. One exception is red cells, where PGM2 (MIM 172000) is a major isozyme (Putt et al., 1993 (PubMed 8257433)).(supplied by OMIM)

Long Name

phosphoglucomutase 1

Alternate Names

CDG1T, GSD14

Gene Symbol

PGM1

Additional PGM1 Products

Product Documents for PGM1 Antibody (CL3299) - Azide and BSA Free

Certificate of Analysis

To download a Certificate of Analysis, please enter a lot number in the search box below.

Product Specific Notices for PGM1 Antibody (CL3299) - Azide and BSA Free

This product is for research use only and is not approved for use in humans or in clinical diagnosis. Primary Antibodies are guaranteed for 1 year from date of receipt.

Loading...
Loading...
Loading...
Loading...
Loading...