Skip to main content

PGLYRP2/PGRP-L Antibody - BSA Free

Novus Biologicals, part of Bio-Techne | Catalog # NBP2-32042

Novus Biologicals, part of Bio-Techne
Catalog #
Availability
Size / Price
Qty
Loading...
NBP2-32042-25ul
NBP2-32042

Key Product Details

Species Reactivity

Human

Applications

Immunohistochemistry, Immunohistochemistry-Paraffin, Western Blot

Label

Unconjugated

Antibody Source

Polyclonal Rabbit IgG

Format

BSA Free

Concentration

Concentrations vary lot to lot. See vial label for concentration. If unlisted please contact technical services.

Product Specifications

Immunogen

This antibody was developed against a recombinant protein corresponding to amino acids: LMSAPNSGPHNRLYHFLLGAWSLNATELDPCPLSPELLGLTKEVARHDVREGKEYGVVLAPDGSTVAVEPLLAGLEAGLQGRRVINLPLDSMAAPWETGDTFPDVVA

Clonality

Polyclonal

Host

Rabbit

Isotype

IgG

Scientific Data Images for PGLYRP2/PGRP-L Antibody - BSA Free

Western Blot: PGLYRP2/PGRP-L Antibody [NBP2-32042]

Western Blot: PGLYRP2/PGRP-L Antibody [NBP2-32042]

Western Blot: PGLYRP2/PGRP-L Antibody [NBP2-32042] - Lane 1: Marker [kDa] 250, 130, 95, 72, 55, 36, 28, 17, 10. Lane 2: Human cell line RT-4. Lane 3: Human cell line U-251MG sp. Lane 4: Human plasma (IgG/HSA depleted)
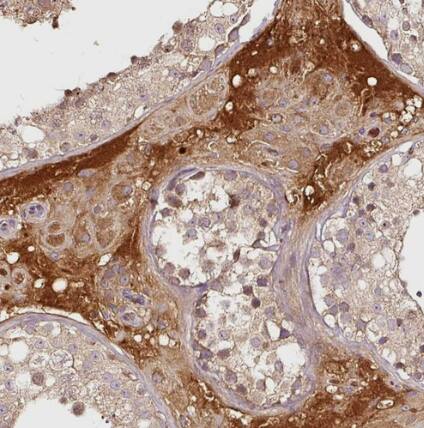
Immunohistochemistry-Paraffin: PGLYRP2/PGRP-L Antibody [NBP2-32042]

Immunohistochemistry-Paraffin: PGLYRP2/PGRP-L Antibody [NBP2-32042]

Immunohistochemistry-Paraffin: PGLYRP2/PGRP-L Antibody [NBP2-32042] - Staining of human liver shows distinct cytoplasmic positivity in hepatocytes.
PGLYRP2/PGRP-L Antibody

Immunohistochemistry-Paraffin: PGLYRP2/PGRP-L Antibody [NBP2-32042] -

Immunohistochemistry-Paraffin: PGLYRP2/PGRP-L Antibody [NBP2-32042] -Staining of human testis shows strong extracellular space positivity in Leydig cells.

Applications for PGLYRP2/PGRP-L Antibody - BSA Free

Application
Recommended Usage

Immunohistochemistry

1:50 - 1:200

Immunohistochemistry-Paraffin

1:50 - 1:200

Western Blot

0.04-0.4 ug/ml
Application Notes
For IHC-Paraffin, HIER pH 6 retrieval is recommended.

Formulation, Preparation, and Storage

Purification

Affinity purified

Formulation

PBS (pH 7.2) and 40% Glycerol

Format

BSA Free

Preservative

0.02% Sodium Azide

Concentration

Concentrations vary lot to lot. See vial label for concentration. If unlisted please contact technical services.

Shipping

The product is shipped with polar packs. Upon receipt, store it immediately at the temperature recommended below.

Stability & Storage

Store at 4C short term. Aliquot and store at -20C long term. Avoid freeze-thaw cycles.

Background: PGLYRP2/PGRP-L

Peptidoglycan recognition proteins, such as PGRPL, are part of the innate immune system and recognize peptidoglycan, aubiquitous component of bacterial cell walls.(supplied by OMIM)

Long Name

Peptidoglycan Recognition Protein Long/Peptidoglycan Recognition Protein 2

Alternate Names

PGLYRPL, PGRP-L, PGRP2, PGRPL, TAGL

Gene Symbol

PGLYRP2

UniProt

Additional PGLYRP2/PGRP-L Products

Product Documents for PGLYRP2/PGRP-L Antibody - BSA Free

Certificate of Analysis

To download a Certificate of Analysis, please enter a lot number in the search box below.

Product Specific Notices for PGLYRP2/PGRP-L Antibody - BSA Free

This product is for research use only and is not approved for use in humans or in clinical diagnosis. Primary Antibodies are guaranteed for 1 year from date of receipt.

Loading...
Loading...
Loading...
Loading...