Skip to main content

PEX3 Antibody - BSA Free

Novus Biologicals, part of Bio-Techne | Catalog # NBP3-06433

Novus Biologicals, part of Bio-Techne

Key Product Details

Species Reactivity

Human

Applications

Immunohistochemistry-Paraffin, Immunoprecipitation, Western Blot

Label

Unconjugated

Antibody Source

Polyclonal Rabbit IgG

Format

BSA Free

Concentration

Please see the vial label for concentration. If unlisted please contact technical services.

Product Specifications

Immunogen

Produced in rabbits immunized with E. coli-derived Human PEX3 fragment.

Clonality

Polyclonal

Host

Rabbit

Isotype

IgG

Description

This antibody can be stored at 2C-8C for one month without detectable loss of activity. Antibody products are stable for twelve months from date of receipt when stored at -20C to -80C. Avoid repeated freeze-thaw cycles.

Scientific Data Images for PEX3 Antibody - BSA Free

Western Blot: PEX3 Antibody [NBP3-06433]

Western Blot: PEX3 Antibody [NBP3-06433]

Western Blot: PEX3 Antibody [NBP3-06433] - PEX3 was immunoprecipitated using: Lane A: 0.5 mg HeLa Whole Cell Lysate. 4 uL anti-PEX3 rabbit polyclonal antibody and 60 ug of Immunomagnetic beads Protein A/G. Primary antibody: Anti-PEX3 rabbit polyclonal antibody,at 1:100 dilution. Secondary antibody: Goat Anti-Rabbit IgG (H+L)/HRP at 1/10000 dilution. Developed using the ECL technique. Performed under reducing conditions. Observed band size :43 kDa.
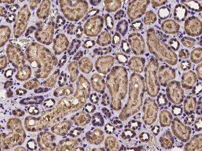
Immunohistochemistry-Paraffin: PEX3 Antibody [NBP3-06433]

Immunohistochemistry-Paraffin: PEX3 Antibody [NBP3-06433]

Immunohistochemistry-Paraffin: PEX3 Antibody [NBP3-06433] - Immunochemical staining of human PEX3 in human kidney with rabbit polyclonal antibody at 1:100 dilution, formalin-fixed paraffin embedded sections.
Western Blot: PEX3 Antibody [NBP3-06433]

Western Blot: PEX3 Antibody [NBP3-06433]

Western Blot: PEX3 Antibody [NBP3-06433] - Anti-PEX3 rabbit polyclonal antibody at 1:500 dilution. Lane A: HeLa Whole Cell Lysate Lane B: NIH3T3 Whole Cell Lysate. Lysates/proteins at 30 ug per lane. Secondary: Goat Anti-Rabbit IgG (H+L)/HRP at 1/10000 dilution. Developed using the ECL technique. Performed under reducing conditions. Observed band size:42 kDa.

Applications for PEX3 Antibody - BSA Free

Application
Recommended Usage

Immunohistochemistry-Paraffin

1:50-1:200

Immunoprecipitation

1-5uL/mg of lysate

Western Blot

1:500-1:2000

Formulation, Preparation, and Storage

Purification

Antigen and protein A Affinity-purified

Formulation

PBS

Format

BSA Free

Preservative

0.03% Proclin 300

Concentration

Please see the vial label for concentration. If unlisted please contact technical services.

Shipping

The product is shipped with polar packs. Upon receipt, store it immediately at the temperature recommended below.

Stability & Storage

Store at 4C short term. Aliquot and store at -20C long term. Avoid freeze-thaw cycles.

Background: PEX3

The product of the PEX3 gene is involved in peroxisome biosynthesis and integrity. It assembles membrane vesicles before the matrix proteins are translocated. Peroxins (PEXs) are proteins that are essential for the assembly of functional peroxisomes. The peroxisome biogenesis disorders (PBDs) are a group of genetically heterogeneous autosomal recessive, lethal diseases characterized by multiple defects in peroxisome function. The peroxisomal biogenesis disorders are a heterogeneous group with at least 14 complementation groups and with more than 1 phenotype being observed in cases falling into particular complementation groups. Although the clinical features of PBD patients vary, cells from all PBD patients exhibit a defect in the import of one or more classes of peroxisomal matrix proteins into the organelle. Defects in this gene are a cause Zellweger syndrome (ZWS). (provided by RefSeq)

Alternate Names

DKFZp686N14184, FLJ13531, peroxin-3, Peroxisomal assembly protein PEX3, peroxisomal biogenesis factor 3, transformation-related protein 18, TRG18

Gene Symbol

PEX3

Additional PEX3 Products

Product Documents for PEX3 Antibody - BSA Free

Certificate of Analysis

To download a Certificate of Analysis, please enter a lot number in the search box below.

Product Specific Notices for PEX3 Antibody - BSA Free

This product is for research use only and is not approved for use in humans or in clinical diagnosis. Primary Antibodies are guaranteed for 1 year from date of receipt.

Loading...
Loading...
Loading...
Loading...