Skip to main content

PEX19 Antibody - BSA Free

Novus Biologicals, part of Bio-Techne | Catalog # NBP1-92255

Novus Biologicals, part of Bio-Techne
Catalog #
Availability
Size / Price
Qty
Loading...
NBP1-92255
NBP1-92255-25ul

Key Product Details

Species Reactivity

Human, Mouse, Rat

Applications

Immunohistochemistry, Immunohistochemistry-Paraffin, Western Blot

Label

Unconjugated

Antibody Source

Polyclonal Rabbit IgG

Format

BSA Free

Concentration

Concentrations vary lot to lot. See vial label for concentration. If unlisted please contact technical services.

Product Specifications

Immunogen

This antibody was developed against Recombinant Protein corresponding to amino acids: SSMSEEELTKAMEGLGMDEGDGEGNILPIMQSIMQNLLSKDVLYPSLKEITEKYPEWLQSHRESLP

Reactivity Notes

Immunogen displays the following percentage of sequence identity for non-tested species: Mouse (89%)

Clonality

Polyclonal

Host

Rabbit

Isotype

IgG

Description

Novus Biologicals Rabbit PEX19 Antibody - BSA Free (NBP1-92255) is a polyclonal antibody validated for use in IHC and WB. All Novus Biologicals antibodies are covered by our 100% guarantee.

Scientific Data Images for PEX19 Antibody - BSA Free

Western Blot: PEX19 Antibody [NBP1-92255]

Western Blot: PEX19 Antibody [NBP1-92255]

Western Blot: PEX19 Antibody [NBP1-92255] - Lane 1: NIH-3T3 cell lysate (Mouse embryonic fibroblast cells) Lane 2: NBT-II cell lysate (Rat Wistar bladder tumour cells)
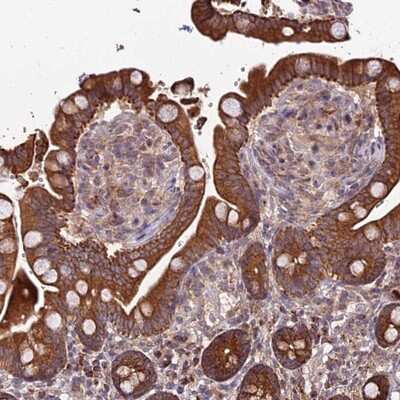
Immunohistochemistry-Paraffin: PEX19 Antibody [NBP1-92255]

Immunohistochemistry-Paraffin: PEX19 Antibody [NBP1-92255]

Immunohistochemistry-Paraffin: PEX19 Antibody [NBP1-92255] - Staining of human colon shows strong cytoplasmic positivity in glandular cells.
Western Blot: PEX19 Antibody [NBP1-92255]

Western Blot: PEX19 Antibody [NBP1-92255]

Western Blot: PEX19 Antibody [NBP1-92255] - Lane 1: Marker [kDa] 250, 130, 95, 72, 55, 36, 28, 17, 10
Lane 2: Human cell line RT-4
Lane 3: Human cell line U-251MG sp
Lane 4: Human plasma (IgG/HSA depleted)
Lane 5: Human liver tissue
Lane 6: Human tonsil tissue

Applications for PEX19 Antibody - BSA Free

Application
Recommended Usage

Immunohistochemistry

1:200 - 1:500

Immunohistochemistry-Paraffin

1:200 - 1:500

Western Blot

0.04-0.4 ug/ml
Application Notes
For IHC-Paraffin, HIER pH 6 retrieval is recommended.

Formulation, Preparation, and Storage

Purification

Immunogen affinity purified

Formulation

PBS (pH 7.2) and 40% Glycerol

Format

BSA Free

Preservative

0.02% Sodium Azide

Concentration

Concentrations vary lot to lot. See vial label for concentration. If unlisted please contact technical services.

Shipping

The product is shipped with polar packs. Upon receipt, store it immediately at the temperature recommended below.

Stability & Storage

Store at 4C short term. Aliquot and store at -20C long term. Avoid freeze-thaw cycles.

Background: PEX19

PEX19 is necessary for early peroxisomal biogenesis. It acts both as a cytosolic chaperone and as an import receptor for peroxisomal membrane proteins (PMPs). Peroxins (PEXs) are proteins that are essential for the assembly of functional peroxisomes. The peroxisome biogenesis disorders (PBDs) are a group of genetically heterogeneous autosomal recessive, lethal diseases characterized by multiple defects in peroxisome function. The peroxisomal biogenesis disorders are a heterogeneous group with at least 14 complementation groups and with more than 1 phenotype being observed in cases falling into particular complementation groups. Although the clinical features of PBD patients vary, cells from all PBD patients exhibit a defect in the import of one or more classes of peroxisomal matrix proteins into the organelle. Defects in this gene are a cause Zellweger syndrome (ZWS). [provided by RefSeq]

Alternate Names

D1S2223Ehousekeeping gene, 33kD, HK3333 kDa housekeeping protein, Peroxin-19, peroxisomal biogenesis factor 19, Peroxisomal farnesylated proteinFLJ55296, PMP1, PMPI, PXFperoxin-19, PXMP1

Gene Symbol

PEX19

Additional PEX19 Products

Product Documents for PEX19 Antibody - BSA Free

Certificate of Analysis

To download a Certificate of Analysis, please enter a lot number in the search box below.

Product Specific Notices for PEX19 Antibody - BSA Free

This product is for research use only and is not approved for use in humans or in clinical diagnosis. Primary Antibodies are guaranteed for 1 year from date of receipt.

Loading...
Loading...
Loading...
Loading...