Skip to main content

PEX16 Antibody - BSA Free

Novus Biologicals, part of Bio-Techne | Catalog # NBP1-85828

Novus Biologicals, part of Bio-Techne
Catalog #
Availability
Size / Price
Qty
Loading...
NBP1-85828

Key Product Details

Species Reactivity

Human, Mouse

Applications

Immunohistochemistry, Immunohistochemistry-Paraffin, Western Blot

Label

Unconjugated

Antibody Source

Polyclonal Rabbit IgG

Format

BSA Free

Concentration

Concentrations vary lot to lot. See vial label for concentration. If unlisted please contact technical services.

Product Specifications

Immunogen

This antibody was developed against Recombinant Protein corresponding to amino acids: AGLQTSPPIVPLDRETQAQPPDGDHSPGNHEQSYVGKRSNRVVRTLQNTPSLHSRHWGAPQQREGRQQQHHEELSATPTPLGLQETIAE

Reactivity Notes

Immunogen displays the following percentage of sequence identity for non-tested species: Rat (83%).

Clonality

Polyclonal

Host

Rabbit

Isotype

IgG

Description

Novus Biologicals Rabbit PEX16 Antibody - BSA Free (NBP1-85828) is a polyclonal antibody validated for use in IHC and WB. All Novus Biologicals antibodies are covered by our 100% guarantee.

Scientific Data Images for PEX16 Antibody - BSA Free

Staining of human cerebellum shows moderate membranous positivity in Purkinje cells.

Staining of human cerebellum shows moderate membranous positivity in Purkinje cells.

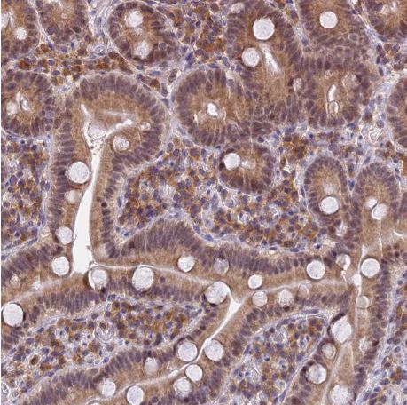
Staining of human duodenum shows moderate membranous and cytoplasmic positivity in glandular cells.

Staining of human duodenum shows moderate membranous and cytoplasmic positivity in glandular cells.

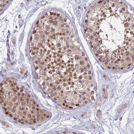
Staining of human testis shows moderate membranous positivity in cells in seminiferous ducts.

Staining of human testis shows moderate membranous positivity in cells in seminiferous ducts.

Applications for PEX16 Antibody - BSA Free

Application
Recommended Usage

Immunohistochemistry

1:50 - 1:200

Immunohistochemistry-Paraffin

1:50 - 1:200

Western Blot

0.04-0.4 ug/ml
Application Notes
For IHC-Paraffin, HIER pH 6 retrieval is recommended.

Formulation, Preparation, and Storage

Purification

Immunogen affinity purified

Formulation

PBS (pH 7.2) and 40% Glycerol

Format

BSA Free

Preservative

0.02% Sodium Azide

Concentration

Concentrations vary lot to lot. See vial label for concentration. If unlisted please contact technical services.

Shipping

The product is shipped with polar packs. Upon receipt, store it immediately at the temperature recommended below.

Stability & Storage

Store at 4C short term. Aliquot and store at -20C long term. Avoid freeze-thaw cycles.

Background: PEX16

The protein encoded by the PEX16 gene is an integral peroxisomal membrane protein. An inactivating nonsense mutation localized to this gene was observed in a patient with Zellweger syndrome of the complementation group CGD/CG9. Expression of this gene product morphologically and biochemically restores the formation of new peroxisomes, suggesting a role in peroxisome organization and biogenesis. Alternative splicing has been observed for this gene and two variants have been described. [provided by RefSeq]

Alternate Names

Peroxin-16, peroxisomal biogenesis factor 16peroxin 16, peroxisomal membrane protein PEX16, peroxisome biogenesis factor 16

Gene Symbol

PEX16

Additional PEX16 Products

Product Documents for PEX16 Antibody - BSA Free

Certificate of Analysis

To download a Certificate of Analysis, please enter a lot number in the search box below.

Product Specific Notices for PEX16 Antibody - BSA Free

This product is for research use only and is not approved for use in humans or in clinical diagnosis. Primary Antibodies are guaranteed for 1 year from date of receipt.

Loading...
Loading...
Loading...
Loading...