Skip to main content

PEX14 Antibody - BSA Free

Novus Biologicals, part of Bio-Techne | Catalog # NBP3-38414

Novus Biologicals, part of Bio-Techne
Catalog #
Availability
Size / Price
Qty
Loading...
NBP3-38414-20ul
NBP3-38414-100ul

Key Product Details

Species Reactivity

Human, Mouse

Applications

Immunohistochemistry, Immunohistochemistry-Paraffin, Western Blot, ELISA

Label

Unconjugated

Antibody Source

Polyclonal Rabbit IgG

Format

BSA Free

Concentration

Please see the vial label for concentration. If unlisted please contact technical services.

Product Specifications

Immunogen

Recombinant fusion protein containing a sequence corresponding to amino acids 118-377 of human PEX14 (NP_004556.1).

Sequence:
GIAFGFHQLYKKYLLPLILGGREDRKQLERMEAGLSELSGSVAQTVTQLQTTLASVQELLIQQQQKIQELAHELAAAKATTSTNWILESQNINELKSEINSLKGLLLNRRQFPPSPSAPKIPSWQIPVKSPSPSSPAAVNHHSSSDISPVSNESTSSSPGKEGHSPEGSTVTYHLLGPQEEGEGVVDVKGQVRMEVQGEEEKREDKEDEEDEEDDDVSHVDEEDCLGVQREDRRGGDGQINEQVEKLRRPEGASNESERD

Clonality

Polyclonal

Host

Rabbit

Isotype

IgG

Theoretical MW

41 kDa.
Disclaimer note: The observed molecular weight of the protein may vary from the listed predicted molecular weight due to post translational modifications, post translation cleavages, relative charges, and other experimental factors.

Description

Novus Biologicals Rabbit PEX14 Antibody - BSA Free (NBP3-38414) is a polyclonal antibody validated for use in IHC, WB and ELISA. All Novus Biologicals antibodies are covered by our 100% guarantee.

Scientific Data Images for PEX14 Antibody - BSA Free

PEX14 Antibody

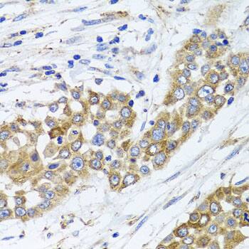
Immunohistochemistry: PEX14 Antibody [NBP3-38414] -

Immunohistochemistry: PEX14 Antibody [NBP3-38414] - Immunohistochemistry analysis of paraffin-embedded Human prostate cancer using PEX14 Rabbit pAb at dilution of 1:100 (40x lens). Microwave antigen retrieval performed with 0.01M PBS Buffer (pH 7.2) prior to IHC staining.
PEX14 Antibody

Immunohistochemistry: PEX14 Antibody [NBP3-38414] -

Immunohistochemistry: PEX14 Antibody [NBP3-38414] - Immunohistochemistry analysis of paraffin-embedded Human colon carcinoma using PEX14 Rabbit pAb at dilution of 1:100 (40x lens). Microwave antigen retrieval performed with 0.01M PBS Buffer (pH 7.2) prior to IHC staining.
PEX14 Antibody

Western Blot: PEX14 Antibody [NBP3-38414] -

Western Blot: PEX14 Antibody [NBP3-38414] - Western blot analysis of lysates from A-431 cells, using PEX14 Rabbit pAb at 1:1000 dilution.
Secondary antibody: HRP-conjugated Goat anti-Rabbit IgG (H+L) at 1:10000 dilution.
Lysates/proteins: 25ug per lane.
Blocking buffer: 3% nonfat dry milk in TBST.
Detection: ECL Basic Kit.
Exposure time: 90s.

Applications for PEX14 Antibody - BSA Free

Application
Recommended Usage

Immunohistochemistry-Paraffin

1:50 - 1:200

Western Blot

1:500 - 1:2000

Formulation, Preparation, and Storage

Purification

Affinity purified

Formulation

PBS (pH 7.3), 50% glycerol

Format

BSA Free

Preservative

0.02% Sodium Azide

Concentration

Please see the vial label for concentration. If unlisted please contact technical services.

Shipping

The product is shipped with polar packs. Upon receipt, store it immediately at the temperature recommended below.

Stability & Storage

Store at -20C. Avoid freeze-thaw cycles.

Background: PEX14

PEX14 encodes an essential component of the peroxisomal import machinery. The protein is integrated into peroxisome membranes with its C-terminus exposed to the cytosol, and interacts with the cytosolic receptor for proteins containing a PTS1 peroxisomal targeting signal. The protein also functions as a transcriptional corepressor and interacts with a histone deacetylase. A mutation in this gene results in one form of Zellweger syndrome. [provided by RefSeq]

Alternate Names

dJ734G22.2, MGC12767, NAPP2, NF-E2 associated polypeptide 2, peroxin-14, peroxisomal biogenesis factor 14, Peroxisomal membrane anchor protein PEX14, peroxisomal membrane anchor protein Pex14p, peroxisomal membrane protein PEX14, Pex14p, PTS1 receptor docking protein, PTS1 receptor-docking protein

Gene Symbol

PEX14

Additional PEX14 Products

Product Documents for PEX14 Antibody - BSA Free

Certificate of Analysis

To download a Certificate of Analysis, please enter a lot number in the search box below.

Product Specific Notices for PEX14 Antibody - BSA Free

This product is for research use only and is not approved for use in humans or in clinical diagnosis. Primary Antibodies are guaranteed for 1 year from date of receipt.

Loading...
Loading...
Loading...
Loading...