Skip to main content

Peroxiredoxin 5 Antibody - BSA Free

Novus Biologicals, part of Bio-Techne | Catalog # NBP2-38371

Novus Biologicals, part of Bio-Techne
Catalog #
Availability
Size / Price
Qty
Loading...
NBP2-38371
NBP2-38371-25ul

Key Product Details

Validated by

Orthogonal Validation, Independent Antibodies

Species Reactivity

Validated:

Human

Predicted:

Mouse (91%), Rat (91%). Backed by our 100% Guarantee.

Applications

Immunohistochemistry, Immunohistochemistry-Paraffin, Western Blot

Label

Unconjugated

Antibody Source

Polyclonal Rabbit IgG

Format

BSA Free

Concentration

Concentrations vary lot to lot. See vial label for concentration. If unlisted please contact technical services.

Product Specifications

Immunogen

This antibody was developed against a recombinant protein corresponding to amino acids: NKVNLAELFKGKKGVLFGVPGAFTPGCSKTHLPGFVEQAEALKAKGVQVVACLSVNDAFVTGEWGRAHKAEGKV

Clonality

Polyclonal

Host

Rabbit

Isotype

IgG

Description

Novus Biologicals Rabbit Peroxiredoxin 5 Antibody - BSA Free (NBP2-38371) is a polyclonal antibody validated for use in IHC and WB. All Novus Biologicals antibodies are covered by our 100% guarantee.

Scientific Data Images for Peroxiredoxin 5 Antibody - BSA Free

Immunohistochemistry-Paraffin: Peroxiredoxin 5 Antibody [NBP2-38371]

Immunohistochemistry-Paraffin: Peroxiredoxin 5 Antibody [NBP2-38371]

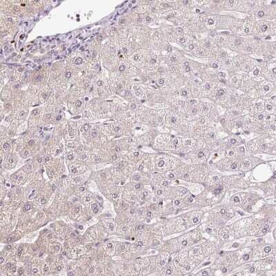
Immunohistochemistry-Paraffin: Peroxiredoxin 5 Antibody [NBP2-38371] - Staining in human fallopian tube and liver tissues using anti-PRDX5 antibody. Corresponding PRDX5 RNA-seq data are presented for the same tissues.
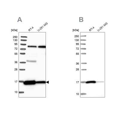
Western Blot: Peroxiredoxin 5 Antibody [NBP2-38371]

Western Blot: Peroxiredoxin 5 Antibody [NBP2-38371]

Western Blot: Peroxiredoxin 5 Antibody [NBP2-38371] - Analysis using Anti-PRDX5 antibody NBP2-38371 (A) shows similar pattern to independent antibody NBP2-38370 (B).
Immunohistochemistry-Paraffin: Peroxiredoxin 5 Antibody [NBP2-38371]

Immunohistochemistry-Paraffin: Peroxiredoxin 5 Antibody [NBP2-38371]

Immunohistochemistry-Paraffin: Peroxiredoxin 5 Antibody [NBP2-38371] - Staining of human fallopian tube shows high expression.

Applications for Peroxiredoxin 5 Antibody - BSA Free

Application
Recommended Usage

Immunohistochemistry

1:200 - 1:500

Immunohistochemistry-Paraffin

1:200 - 1:500

Western Blot

0.04-0.4 ug/ml
Application Notes
For IHC-Paraffin, HIER pH 6 retrieval is recommended.

Formulation, Preparation, and Storage

Purification

Affinity purified

Formulation

PBS (pH 7.2) and 40% Glycerol

Format

BSA Free

Preservative

0.02% Sodium Azide

Concentration

Concentrations vary lot to lot. See vial label for concentration. If unlisted please contact technical services.

Shipping

The product is shipped with polar packs. Upon receipt, store it immediately at the temperature recommended below.

Stability & Storage

Store at 4C short term. Aliquot and store at -20C long term. Avoid freeze-thaw cycles.

Background: Peroxiredoxin 5

Peroxiredoxin 5 encodes a member of the peroxiredoxin family of antioxidant enzymes, which reduce hydrogen peroxide and alkyl hydroperoxides. The encoded protein may play an antioxidant protective role in different tissues under normal conditions and during inflammatory processes. This protein interacts with peroxisome receptor 1. The crystal structure of this protein in its reduced form has been resolved to 1.5 angstrom resolution. This gene uses alternate in-frame translation initiation sites to generate mitochondrial or peroxisomal/cytoplasmic forms. Three transcript variants encoding distinct isoforms have been identified for this gene.

Alternate Names

ACR1, AOEB166, AOPP, PMP20, PRDX5, PRXV

Gene Symbol

PRDX5

UniProt

Additional Peroxiredoxin 5 Products

Product Documents for Peroxiredoxin 5 Antibody - BSA Free

Certificate of Analysis

To download a Certificate of Analysis, please enter a lot number in the search box below.

Product Specific Notices for Peroxiredoxin 5 Antibody - BSA Free

This product is for research use only and is not approved for use in humans or in clinical diagnosis. Primary Antibodies are guaranteed for 1 year from date of receipt.

Loading...
Loading...
Loading...
Loading...