Skip to main content

PERK Antibody

Novus Biologicals, part of Bio-Techne | Catalog # NBP3-12193

Novus Biologicals, part of Bio-Techne
Catalog #
Availability
Size / Price
Qty
Loading...
NBP3-12193

Key Product Details

Species Reactivity

Human, Mouse, Rat

Applications

Dot Blot, ELISA, Immunohistochemistry, Immunohistochemistry-Paraffin, Immunoprecipitation, Western Blot

Label

Unconjugated

Antibody Source

Polyclonal Chicken

Concentration

Please see the vial label for concentration. If unlisted please contact technical services.

Product Specifications

Immunogen

Synthetic peptide taken within amino acid region 1000-1050 on human Eukaryotic translation initiation factor 2-alpha kinase 3 protein.

Clonality

Polyclonal

Host

Chicken

Description

Novus Biologicals Chicken PERK Antibody (NBP3-12193) is a polyclonal antibody validated for use in IHC, WB, ELISA and IP. All Novus Biologicals antibodies are covered by our 100% guarantee.

Scientific Data Images for PERK Antibody

Western Blot: PERK Antibody [NBP3-12193]

Western Blot: PERK Antibody [NBP3-12193]

Western Blot: PERK Antibody [NBP3-12193] - WB of NBP3-12193 with adrenal cells. Left-Chicken serum antibodies. Right- Total NBP3-12193 IGY. Apparent MW is 135 kDa.
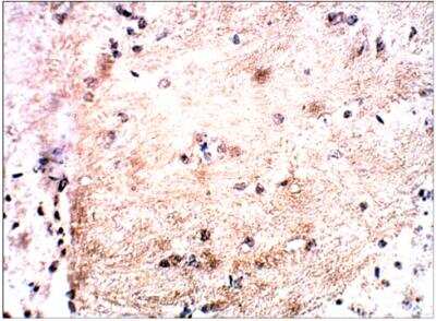
Immunohistochemistry-Paraffin: PERK Antibody [NBP3-12193]

Immunohistochemistry-Paraffin: PERK Antibody [NBP3-12193]

Immunohistochemistry-Paraffin: PERK Antibody [NBP3-12193] - Mouse cerebellum. 1:100 in IHC blobking buffer. DAB (brown) staining and Hematoxylin QS (blue) counterstain. 40X magnification on Leica 40X DM4000B. FFPE section.

Applications for PERK Antibody

Application
Recommended Usage

Dot Blot

1:4000

ELISA

1:4000

Immunohistochemistry

1:50-1:100

Immunoprecipitation

1:150

Western Blot

1:500

Formulation, Preparation, and Storage

Purification

Affinity purified

Formulation

Contains Tris, HCl/glycine buffer (pH 7.4-7.8), 30% glycerol, 0.5% BSA, along with cryo- protective agents, and HEPES (exact storage and stabilization buffer information is proprietary).

Preservative

0.02% Sodium Azide

Concentration

Please see the vial label for concentration. If unlisted please contact technical services.

Shipping

The product is shipped with polar packs. Upon receipt, store it immediately at the temperature recommended below.

Stability & Storage

Store at 4C short term. Store at -20C long term. Avoid freeze-thaw cycles.

Background: PERK

The activation of signal transduction pathways by growth factors, hormones and neurotransmitters is mediated through two closely related MAP kinases, p44 and p42, designated extracellular-signal related kinase 1 (ERK 1) and ERK 2, respectively. ERK proteins are regulated by dual phosphorylation at Tyrosine 204 and 187 and Threonine 177 and 160 residues mapping within a characteristic Thr-Glu-Tyr motif. Phosphorylation at both the Threonine 202 and Tyrosine 204 residues of ERK 1 and Threonine 185 and Tyrosine 187 residues of ERK 2 is required for full enzymatic activation. The structural consequences of dual phosphorylation in ERK 2 include active site closure, alignment of key catalytic residues that interact with ATP, and remodeling of the activation loop. In response to activation, MAP kinases phosphorylate downstream components on serine and threonine. Upstream MAP kinase regulators include MAP kinase kinase (MEK), MEK kinase and Raf-1. The ERK family has three additional members: ERK 3, ERK 5 and ERK 6.

Long Name

Eukaryotic Translation Initiation Factor 4B

Alternate Names

EIF2AK3, PEK, WRS

Gene Symbol

EIF2AK3

Additional PERK Products

Product Documents for PERK Antibody

Certificate of Analysis

To download a Certificate of Analysis, please enter a lot number in the search box below.

Product Specific Notices for PERK Antibody

This product is for research use only and is not approved for use in humans or in clinical diagnosis. Primary Antibodies are guaranteed for 1 year from date of receipt.

Loading...
Loading...
Loading...
Loading...