Skip to main content

PEG10 Antibody (4C10A7)

Novus Biologicals, part of Bio-Techne | Catalog # NBP1-28900

Novus Biologicals, part of Bio-Techne
Catalog #
Availability
Size / Price
Qty
Loading...
NBP1-28900
NBP1-28900-0.025ml

Key Product Details

Species Reactivity

Validated:

Human, Mouse

Cited:

Human, Mouse

Applications

Validated:

Immunohistochemistry, Immunohistochemistry-Paraffin, Western Blot, ELISA

Cited:

Western Blot

Label

Unconjugated

Antibody Source

Monoclonal Mouse IgG1 Clone # 4C10A7

Concentration

This product is unpurified. The exact concentration of antibody is not quantifiable.

Product Specifications

Immunogen

Purified recombinant fragment of human PEG10 expressed in E. Coli.

Reactivity Notes

Mouse reactivity reported in scientific literature (PMID: 31400114).

Clonality

Monoclonal

Host

Mouse

Isotype

IgG1

Description

Novus Biologicals Mouse PEG10 Antibody (4C10A7) (NBP1-28900) is a monoclonal antibody validated for use in IHC, WB and ELISA. Anti-PEG10 Antibody: Cited in 1 publication. All Novus Biologicals antibodies are covered by our 100% guarantee.

Scientific Data Images for PEG10 Antibody (4C10A7)

Western Blot: PEG10 Antibody (4C10A7)BSA Free [NBP1-28900]

Western Blot: PEG10 Antibody (4C10A7)BSA Free [NBP1-28900]

Western Blot: PEG10 Antibody (4C10A7) [NBP1-28900] - Western blot analysis using PEG10 mouse mAb against HepG2 (1), SMMC-7721 (2) and A549 (3) cell lysate.
Immunohistochemistry-Paraffin: PEG10 Antibody (4C10A7) - BSA Free [NBP1-28900]

Immunohistochemistry-Paraffin: PEG10 Antibody (4C10A7) - BSA Free [NBP1-28900]

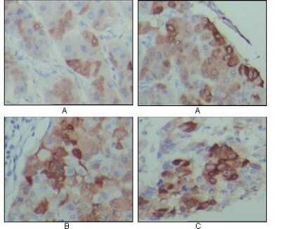
Immunohistochemistry-Paraffin: PEG10 Antibody (4C10A7) [NBP1-28900] - Immunohistochemical analysis of paraffin-embedded human hepatocarcinoma (A), breast carcinoma (B) and lung cancer tissues (C), showing cytoplasmic localization with DAB staining using PEG10 mouse mAb.
Immunohistochemistry-Paraffin: PEG10 Antibody (4C10A7) - BSA Free [NBP1-28900]

Immunohistochemistry-Paraffin: PEG10 Antibody (4C10A7) - BSA Free [NBP1-28900]

Immunohistochemistry-Paraffin: PEG10 Antibody (4C10A7) [NBP1-28900] - Immunohistochemical analysis of paraffin-embedded human Placenta tissues using PEG10 mouse mAb

Applications for PEG10 Antibody (4C10A7)

Application
Recommended Usage

ELISA

1:10000

Immunohistochemistry

1:10-1:500

Immunohistochemistry-Paraffin

1:200-1:1000

Western Blot

1:500-1:2000

Formulation, Preparation, and Storage

Purification

Unpurified

Formulation

Ascites

Preservative

0.03% Sodium Azide

Concentration

This product is unpurified. The exact concentration of antibody is not quantifiable.

Shipping

The product is shipped with polar packs. Upon receipt, store it immediately at the temperature recommended below.

Stability & Storage

Store at 4C short term. Aliquot and store at -20C long term. Avoid freeze-thaw cycles.

Background: PEG10

This gene includes two overlapping reading frames of the same transcript encoding distinct isoforms. The shorter isoform has a CCHC-type zinc finger motif containing a sequence characteristic of gag proteins of most retroviruses and some retrotransposons, and it functions in part by interacting with members of the TGF-beta receptor family. The longer isoform has the active-site DSG consensus sequence of the protease domain of pol proteins. The longer isoform is the result of -1 translational frame shifting that is also seen in some retroviruses. Expression of these two isoforms only comes from the paternal allele due to imprinting. Increased gene expression (as observed by an increase in mRNA levels) is associated with hepatocellular carcinomas.

Long Name

Paternally Expressed 10

Alternate Names

EDR, HB-1, Mar2, MEF3 Like 1, MEF3L, MEF3L1, RGAG3, RTL2, SIRH1

Gene Symbol

PEG10

Additional PEG10 Products

Product Documents for PEG10 Antibody (4C10A7)

Certificate of Analysis

To download a Certificate of Analysis, please enter a lot number in the search box below.

Product Specific Notices for PEG10 Antibody (4C10A7)

This product is for research use only and is not approved for use in humans or in clinical diagnosis. Primary Antibodies are guaranteed for 1 year from date of receipt.

Loading...
Loading...
Loading...
Loading...