Skip to main content

PEAR1 Antibody - BSA Free

Novus Biologicals, part of Bio-Techne | Catalog # NBP1-90449

Novus Biologicals, part of Bio-Techne
Catalog #
Availability
Size / Price
Qty
Loading...
NBP1-90449
NBP1-90449-25ul

Key Product Details

Species Reactivity

Human

Applications

Immunocytochemistry/ Immunofluorescence, Immunohistochemistry, Immunohistochemistry-Paraffin

Label

Unconjugated

Antibody Source

Polyclonal Rabbit IgG

Format

BSA Free

Concentration

Concentrations vary lot to lot. See vial label for concentration. If unlisted please contact technical services.

Product Specifications

Immunogen

This antibody was developed against Recombinant Protein corresponding to amino acids: PSDPNTCSFWESFTTTTKESHSRPFSLLPSEPCERPWEGPHTCPQPTVVYRTVYRQVVKTDHRQRLQCCHGFYES

Reactivity Notes

Immunogen displays the following percentage of sequence identity for non-tested species: Mouse (80%)

Clonality

Polyclonal

Host

Rabbit

Isotype

IgG

Description

Novus Biologicals Rabbit PEAR1 Antibody - BSA Free (NBP1-90449) is a polyclonal antibody validated for use in IHC and ICC/IF. All Novus Biologicals antibodies are covered by our 100% guarantee.

Scientific Data Images for PEAR1 Antibody - BSA Free

Immunocytochemistry/ Immunofluorescence: PEAR1 Antibody [NBP1-90449]

Immunocytochemistry/ Immunofluorescence: PEAR1 Antibody [NBP1-90449]

Immunocytochemistry/Immunofluorescence: PEAR1 Antibody [NBP1-90449] - Immunofluorescent staining of human cell line U-2 OS shows localization to centrosome.
Immunohistochemistry-Paraffin: PEAR1 Antibody [NBP1-90449]

Immunohistochemistry-Paraffin: PEAR1 Antibody [NBP1-90449]

Immunohistochemistry-Paraffin: PEAR1 Antibody [NBP1-90449] - Staining of human lung shows strong cytoplasmic positivity in macrophages.
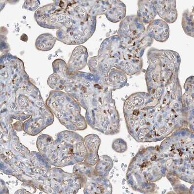
Immunohistochemistry-Paraffin: PEAR1 Antibody [NBP1-90449]

Immunohistochemistry-Paraffin: PEAR1 Antibody [NBP1-90449]

Immunohistochemistry-Paraffin: PEAR1 Antibody [NBP1-90449] - Staining of human placenta shows moderate membranous positivity in trophoblastic cells.

Applications for PEAR1 Antibody - BSA Free

Application
Recommended Usage

Immunocytochemistry/ Immunofluorescence

0.25-2 ug/ml

Immunohistochemistry

1:20 - 1:50

Immunohistochemistry-Paraffin

1:20 - 1:50
Application Notes
For IHC-Paraffin, HIER pH 6 retrieval is recommended. ICC/IF,Fixation Permeabilization: Use PFA/Triton X-100.

Formulation, Preparation, and Storage

Purification

Immunogen affinity purified

Formulation

PBS (pH 7.2) and 40% Glycerol

Format

BSA Free

Preservative

0.02% Sodium Azide

Concentration

Concentrations vary lot to lot. See vial label for concentration. If unlisted please contact technical services.

Shipping

The product is shipped with polar packs. Upon receipt, store it immediately at the temperature recommended below.

Stability & Storage

Store at 4C short term. Aliquot and store at -20C long term. Avoid freeze-thaw cycles.

Background: PEAR1

Platelet endothelial aggregation receptor 1 (PEAR1) is a 150 kDa type I transmembrane protein and member of the MEGF family of proteins. Human PEAR1 is synthesized as a 1037 amino acid (aa) precursor that contains a 20 aa signal sequence, a 735 aa extracellular domain (ECD), a 21 aa transmembrane region, and a 261 aa cytoplasmic region. The ECD consists of 15 EGF-like repeats that vary in length from 39 to 42 aa and contain a consensus sequence of CX1-2GX2GX2-4CX3CX1-3CX1-2GX1-2CX4GX1CX1CX2GX2GX2C. The consensus repeat contains six conserved glycine residues and eight conserved cysteine residues, suggesting four disulfide-bonded cysteine pairs in each EGF repeat. Within the ECD, there are also five potential sites for N-linked glycosylation. The cytoplasmic region contains five potential Src homology 3-binding, proline-rich domains. Mature human PEAR1 is 84% aa identical to mature mouse PEAR1. PEAR1 is most highly expressed in platelets and endothelial cells. Functionally, PEAR1 is a receptor for a yet undetermined ligand that signals upon the formation of platelet-platelet contacts induced both by platelet aggregations and by platelet centrifugation. The signaling enhances and stabilizes platelet thrombi. Upon aggregation, the surface-expressed protein is tyrosine-phosphorylated. This phosphorylation event is inhibited by the alphaIIbbeta3 antagonist eptifibatide, thus demonstrating that PEAR1 tyrosine phosphorylation is dependent on surface contacts between activated platelets. PEAR1 can be phosphorylated in an alphaIIbbeta3 integrin-dependent manner on tyrosine (Tyr925) and serine residues (Ser593 and Ser1029) and, potentially, at Tyr804, Tyr943, and Tyr979. Inherited PEAR1 variations that alter expression or function of the platelet signaling molecule could modify agonist-induced aggregation in native platelets. In addition, a genetic variant in PEAR1 could be an important determinant of residual platelet function during aspirin treatment, because the COX1/thromboxane A2 pathway will be strongly inhibited by aspirin, and maximal aggregation will then be dependent on other secondary signaling pathways.

Long Name

Platelet endothelial aggregation receptor 1

Alternate Names

Jedi

Gene Symbol

PEAR1

Additional PEAR1 Products

Product Documents for PEAR1 Antibody - BSA Free

Certificate of Analysis

To download a Certificate of Analysis, please enter a lot number in the search box below.

Product Specific Notices for PEAR1 Antibody - BSA Free

This product is for research use only and is not approved for use in humans or in clinical diagnosis. Primary Antibodies are guaranteed for 1 year from date of receipt.

Loading...
Loading...
Loading...
Loading...