Skip to main content

PDSS2 Antibody - BSA Free

Novus Biologicals, part of Bio-Techne | Catalog # NBP3-12590

Novus Biologicals, part of Bio-Techne
Catalog #
Availability
Size / Price
Qty
Loading...
NBP3-12590-50ul
NBP3-12590-100ul

Key Product Details

Species Reactivity

Human

Applications

Immunohistochemistry-Paraffin, Immunoprecipitation, Western Blot

Label

Unconjugated

Antibody Source

Polyclonal Rabbit IgG

Format

BSA Free

Concentration

Please see the vial label for concentration. If unlisted please contact technical services.

Product Specifications

Immunogen

Produced in rabbits immunized with E. coli-derived Human PDSS2 fragment

Clonality

Polyclonal

Host

Rabbit

Isotype

IgG

Description

This antibody can be stored at 2-8C for one month without detectable loss of activity. Antibody products are stable for twelve months from date of receipt when stored at -20C to -80C. Avoid repeated freeze-thaw cycles.

Protein A & Antigen Affinity purified

Scientific Data Images for PDSS2 Antibody - BSA Free

Western Blot: PDSS2 Antibody [NBP3-12590]

Western Blot: PDSS2 Antibody [NBP3-12590]

Western Blot: PDSS2 Antibody [NBP3-12590] - Lane A: HepG2 Whole Cell LysateLysates/proteins at 30 ug per lane.SecondaryGoat Anti-Rabbit IgG (H+L)/HRP at 1/10000 dilution.Developed using the ECL technique.Performed under reducing conditions.Predicted band size:44 kDaObserved band size:42 kDa
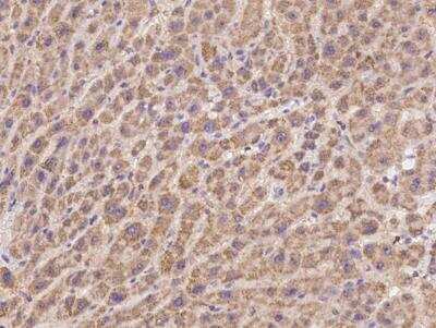
Immunohistochemistry-Paraffin: PDSS2 Antibody [NBP3-12590]

Immunohistochemistry-Paraffin: PDSS2 Antibody [NBP3-12590]

Immunohistochemistry-Paraffin: PDSS2 Antibody [NBP3-12590] - Staining of human PDSS2 in human liver with rabbit polyclonal antibody at 1:100 dilution.
Immunohistochemistry-Paraffin: PDSS2 Antibody [NBP3-12590]

Immunohistochemistry-Paraffin: PDSS2 Antibody [NBP3-12590]

Immunohistochemistry-Paraffin: PDSS2 Antibody [NBP3-12590] - Staining of human PDSS2 in human kidney with rabbit polyclonal antibody at 1:100 dilution.

Applications for PDSS2 Antibody - BSA Free

Application
Recommended Usage

Immunohistochemistry-Paraffin

1:50-1:200

Immunoprecipitation

1-5uL/mg of lysate

Western Blot

1:500-1:2000

Formulation, Preparation, and Storage

Purification

Antigen and protein A Affinity-purified

Formulation

PBS

Format

BSA Free

Preservative

0.03% Proclin 300

Concentration

Please see the vial label for concentration. If unlisted please contact technical services.

Shipping

The product is shipped with polar packs. Upon receipt, store it immediately at the temperature recommended below.

Stability & Storage

Store at 4C short term. Aliquot and store at -20C long term. Avoid freeze-thaw cycles.

Background: PDSS2

The isoprenoid chain of ubiquinone (coenzyme Q) varies in length between species and is determined by trans-polyprenyl diphosphate synthase. Humans possess a heterotetrameric decaprenyl diphosphate synthase composed of DPS1 (PDSS1; MIM 607429) and DLP1 (PDSS2) that produces Q10 ubiquinone (Saiki et al., 2005 [PubMed 16262699]).[supplied by OMIM]

Alternate Names

All-trans-decaprenyl-diphosphate synthase subunit 2, bA59I9.3, C6orf210decaprenyl-diphosphate synthase subunit 2, Candidate tumor suppressor protein, chromosome 6 open reading frame 210, Decaprenyl pyrophosphate synthase subunit 2, decaprenyl pyrophosphate synthetase subunit 2, DLP1hDLP1, EC 2.5.1.91, prenyl (decaprenyl) diphosphate synthase, subunit 2, subunit 2 of decaprenyl diphosphate synthase

Gene Symbol

PDSS2

Additional PDSS2 Products

Product Documents for PDSS2 Antibody - BSA Free

Certificate of Analysis

To download a Certificate of Analysis, please enter a lot number in the search box below.

Product Specific Notices for PDSS2 Antibody - BSA Free

This product is for research use only and is not approved for use in humans or in clinical diagnosis. Primary Antibodies are guaranteed for 1 year from date of receipt.

Loading...
Loading...
Loading...
Loading...