Skip to main content

PDRG1 Antibody - BSA Free

Novus Biologicals, part of Bio-Techne | Catalog # NBP3-47185

Novus Biologicals, part of Bio-Techne
Catalog #
Availability
Size / Price
Qty
Loading...
NBP3-47185

Key Product Details

Species Reactivity

Human, Mouse, Rat

Applications

Immunohistochemistry, Western Blot, ELISA, Immunocytochemistry/ Immunofluorescence

Label

Unconjugated

Antibody Source

Polyclonal Rabbit IgG

Format

BSA Free

Concentration

Please see the vial label for concentration. If unlisted please contact technical services.

Product Specifications

Immunogen

p53 and DNA damage regulated 1. (Uniprot# Q9NUG6)

Clonality

Polyclonal

Host

Rabbit

Isotype

IgG

Theoretical MW

16 kDa.
Disclaimer note: The observed molecular weight of the protein may vary from the listed predicted molecular weight due to post translational modifications, post translation cleavages, relative charges, and other experimental factors.

Description

Novus Biologicals Rabbit PDRG1 Antibody - BSA Free (NBP3-47185) is a polyclonal antibody validated for use in IHC, WB, ELISA and ICC/IF. All Novus Biologicals antibodies are covered by our 100% guarantee.

Scientific Data Images for PDRG1 Antibody - BSA Free

PDRG1 Antibody - BSA Free

Western Blot: PDRG1 Antibody - BSA Free [NBP3-47185] -

Western Blot: PDRG1 Antibody - BSA Free [NBP3-47185] - Jurkat cells were subjected to SDS PAGE followed by western blot with (PDRG1 antibody) at dilution of 1:1000
PDRG1 Antibody - BSA Free

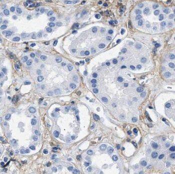
Immunohistochemistry: PDRG1 Antibody - BSA Free [NBP3-47185] -

Immunohistochemistry: PDRG1 Antibody - BSA Free [NBP3-47185] - Immunohistochemistry of paraffin-embedded human kidney using (PDRG1 antibody) at dilution of 1:100

Applications for PDRG1 Antibody - BSA Free

Application
Recommended Usage

Immunocytochemistry/ Immunofluorescence

1:20-1:200

Immunohistochemistry

1:20-1:200

Western Blot

1:500-1:2000

Formulation, Preparation, and Storage

Purification

Immunogen affinity purified

Formulation

PBS, 50% Glycerol, pH (7.3)

Format

BSA Free

Preservative

0.02% Sodium Azide

Concentration

Please see the vial label for concentration. If unlisted please contact technical services.

Shipping

The product is shipped with polar packs. Upon receipt, store it immediately at the temperature recommended below.

Stability & Storage

Store at -20C. Avoid freeze-thaw cycles.

Background: PDRG1

PDRG1 may play a role in chaperone-mediated protein folding (Potential)

Alternate Names

C20orf126p53 and DNA damage regulated 1, chromosome 20 open reading frame 126, dJ310O13.3, p53 and DNA-damage regulated 1, PDRGp53 and DNA damage-regulated protein 1

Gene Symbol

PDRG1

Additional PDRG1 Products

Product Documents for PDRG1 Antibody - BSA Free

Certificate of Analysis

To download a Certificate of Analysis, please enter a lot number in the search box below.

Product Specific Notices for PDRG1 Antibody - BSA Free

This product is for research use only and is not approved for use in humans or in clinical diagnosis. Primary Antibodies are guaranteed for 1 year from date of receipt.

Loading...
Loading...
Loading...
Loading...