Skip to main content

PDRG1 Antibody (OTI4F12) - Azide and BSA Free

Novus Biologicals, part of Bio-Techne | Catalog # NBP2-73320

Novus Biologicals, part of Bio-Techne
Catalog #
Availability
Size / Price
Qty
Loading...
NBP2-73320

Key Product Details

Species Reactivity

Human, Mouse, Rat

Applications

Immunohistochemistry, Immunohistochemistry-Paraffin, Western Blot, Flow Cytometry, CyTOF-ready

Label

Unconjugated

Antibody Source

Monoclonal Mouse IgG1 Clone # OTI4F12

Format

Azide and BSA Free

Concentration

LYOPH mg/ml

Product Specifications

Immunogen

Full length human recombinant protein of human PDRG1(NP_110442) produced in HEK293T cell.

Reactivity Notes

Please note that this antibody is reactive to Mouse and derived from the same host, Mouse. Mouse-On-Mouse blocking reagent may be needed for IHC and ICC experiments to reduce high background signal. You can find these reagents under catalog numbers PK-2200-NB and MP-2400-NB. Please contact Technical Support if you have any questions.

Clonality

Monoclonal

Host

Mouse

Isotype

IgG1

Theoretical MW

15.3 kDa.
Disclaimer note: The observed molecular weight of the protein may vary from the listed predicted molecular weight due to post translational modifications, post translation cleavages, relative charges, and other experimental factors.

Description

Novus Biologicals Mouse PDRG1 Antibody (OTI4F12) - Azide and BSA Free (NBP2-01854) is a monoclonal antibody validated for use in IHC, WB and Flow. All Novus Biologicals antibodies are covered by our 100% guarantee.

Scientific Data Images for PDRG1 Antibody (OTI4F12) - Azide and BSA Free

Western Blot: PDRG1 Antibody (OTI4F12)Azide and BSA Free [NBP2-73320]

Western Blot: PDRG1 Antibody (OTI4F12)Azide and BSA Free [NBP2-73320]

Western Blot: PDRG1 Antibody (OTI4F12) - Azide and BSA Free [NBP2-73320] - HEK293T cells were transfected with the pCMV6-ENTRY control (Left lane) or pCMV6-ENTRY PDRG1 (Right lane) cDNA for 48 hrs and lysed. Equivalent amounts of cell lysates (5 ug per lane) were separated by SDS-PAGE and immunoblotted with anti-PDRG1.
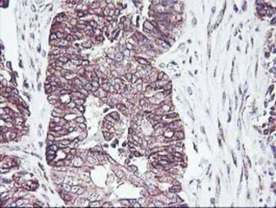
Immunohistochemistry: PDRG1 Antibody (OTI4F12) - Azide and BSA Free [NBP2-73320]

Immunohistochemistry: PDRG1 Antibody (OTI4F12) - Azide and BSA Free [NBP2-73320]

Immunohistochemistry: PDRG1 Antibody (OTI4F12) - Azide and BSA Free [NBP2-73320] - Staining of paraffin-embedded Human Kidney tissue using anti-PDRG1 mouse monoclonal antibody.
Flow Cytometry: PDRG1 Antibody (OTI4F12) - Azide and BSA Free [NBP2-73320]

Flow Cytometry: PDRG1 Antibody (OTI4F12) - Azide and BSA Free [NBP2-73320]

Flow Cytometry: PDRG1 Antibody (OTI4F12) - Azide and BSA Free [NBP2-73320] - Analysis of Jurkat cells, using anti-PDRG1 antibody, (Red), compared to a nonspecific negative control antibody (Blue).

Applications for PDRG1 Antibody (OTI4F12) - Azide and BSA Free

Application
Recommended Usage

Flow Cytometry

1:100

Immunohistochemistry

1:150

Western Blot

1:500

Formulation, Preparation, and Storage

Purification

Immunogen affinity purified

Reconstitution

we recommend adding 100uL distilled water to a final antibody concentration of about 1 mg/mL. To use this carrier-free antibody for conjugation experiment, we strongly recommend performing another round of desalting process.

Formulation

Lyophilized from PBS (pH 7.3) with 8% Trehalose

Format

Azide and BSA Free

Preservative

No Preservative

Concentration

LYOPH mg/ml

Shipping

The product is shipped with polar packs. Upon receipt, store it immediately at the temperature recommended below.

Stability & Storage

Store at -20C. Avoid freeze-thaw cycles.

Background: PDRG1

PDRG1 may play a role in chaperone-mediated protein folding (Potential)

Alternate Names

C20orf126p53 and DNA damage regulated 1, chromosome 20 open reading frame 126, dJ310O13.3, p53 and DNA-damage regulated 1, PDRGp53 and DNA damage-regulated protein 1

Gene Symbol

PDRG1

Additional PDRG1 Products

Product Documents for PDRG1 Antibody (OTI4F12) - Azide and BSA Free

Certificate of Analysis

To download a Certificate of Analysis, please enter a lot number in the search box below.

Product Specific Notices for PDRG1 Antibody (OTI4F12) - Azide and BSA Free

This product is for research use only and is not approved for use in humans or in clinical diagnosis. Primary Antibodies are guaranteed for 1 year from date of receipt.

Loading...
Loading...
Loading...
Loading...
Loading...
Loading...