PDF Antibody - BSA Free
Novus Biologicals, part of Bio-Techne | Catalog # NBP2-38993
Key Product Details
Species Reactivity
Human
Applications
Immunocytochemistry/ Immunofluorescence, Immunohistochemistry, Immunohistochemistry-Paraffin
Label
Unconjugated
Antibody Source
Polyclonal Rabbit IgG
Format
BSA Free
Concentration
Concentrations vary lot to lot. See vial label for concentration. If unlisted please contact technical services.
Product Specifications
Immunogen
This antibody was developed against a recombinant protein corresponding to amino acids: ESVAGFLACVPRFQAVQISGLDPNGEQVVWQASGWAARIIQHEMDHLQGCLFIDKMDSRTFTNVYWMKVND
Reactivity Notes
Immunogen displays the following percentage of sequence identity for non-tested species: Mouse (89%), Rat (87%)
Clonality
Polyclonal
Host
Rabbit
Isotype
IgG
Description
Novus Biologicals Rabbit PDF Antibody - BSA Free (NBP2-38993) is a polyclonal antibody validated for use in IHC and ICC/IF. All Novus Biologicals antibodies are covered by our 100% guarantee.
Scientific Data Images for PDF Antibody - BSA Free
Immunocytochemistry/ Immunofluorescence: PDF Antibody [NBP2-38993]
Immunocytochemistry/Immunofluorescence: PDF Antibody [NBP2-38993] - Staining of human cell line U-2 OS shows localization to nucleoplasm & mitochondria.Immunohistochemistry: PDF Antibody [NBP2-38993]
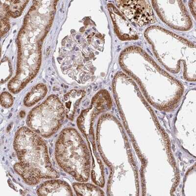
Immunohistochemistry: PDF Antibody [NBP2-38993] - Staining of human kidney shows strong cytoplasmic positivity in renal tubules.Applications for PDF Antibody - BSA Free
Application
Recommended Usage
Immunocytochemistry/ Immunofluorescence
0.25-2 ug/ml
Immunohistochemistry
1:500 - 1:1000
Immunohistochemistry-Paraffin
1:500 - 1:1000
Application Notes
For IHC-Paraffin, HIER pH 6 retrieval is recommended. ICC/IF, Fixation Permeabilization: Use PFA/Triton X-100.
Formulation, Preparation, and Storage
Purification
Immunogen affinity purified
Formulation
PBS (pH 7.2) and 40% Glycerol
Format
BSA Free
Preservative
0.02% Sodium Azide
Concentration
Concentrations vary lot to lot. See vial label for concentration. If unlisted please contact technical services.
Shipping
The product is shipped with polar packs. Upon receipt, store it immediately at the temperature recommended below.
Stability & Storage
Store at 4C short term. Aliquot and store at -20C long term. Avoid freeze-thaw cycles.
Background: PDF
Alternate Names
EC 3.5.1.88, GDF15, MIC1, PDF1A, peptide deformylase (mitochondrial), peptide deformylase, mitochondrial, peptide deformylase-like protein, PLAB, Polypeptide deformylase
Gene Symbol
PDF
UniProt
Additional PDF Products
Product Documents for PDF Antibody - BSA Free
Product Specific Notices for PDF Antibody - BSA Free
This product is for research use only and is not approved for use in humans or in clinical diagnosis. Primary Antibodies are guaranteed for 1 year from date of receipt.
Loading...
Loading...
Loading...
Loading...