Skip to main content

PDE9A Antibody - BSA Free

Novus Biologicals, part of Bio-Techne | Catalog # NBP1-86478

Novus Biologicals, part of Bio-Techne
Catalog #
Availability
Size / Price
Qty
Loading...
NBP1-86478-25ul
NBP1-86478

Key Product Details

Validated by

Orthogonal Validation

Species Reactivity

Validated:

Human

Predicted:

Mouse (95%), Rat (95%). Backed by our 100% Guarantee.

Applications

Immunohistochemistry, Immunohistochemistry-Paraffin, Immunocytochemistry/ Immunofluorescence

Label

Unconjugated

Antibody Source

Polyclonal Rabbit IgG

Format

BSA Free

Concentration

Concentrations vary lot to lot. See vial label for concentration. If unlisted please contact technical services.

Product Specifications

Immunogen

This antibody was developed against Recombinant Protein corresponding to amino acids: ECNIFSNIPPDGFKQIRQGMITLILATDMARHAEIMDSFKEKMENFDYSNEEHMTLLKMILIKCCDISNEVRPMEVAEPWVDCLLEEYFMQSDREKSEGLPVAPFMDRDKVTKATAQIGFIKFVLIPMF

Reactivity Notes

Reactivity reported in scientific literature (PMID: 20371479)

Clonality

Polyclonal

Host

Rabbit

Isotype

IgG

Description

Novus Biologicals Rabbit PDE9A Antibody - BSA Free (NBP1-86478) is a polyclonal antibody validated for use in IHC and ICC/IF. Anti-PDE9A Antibody: Cited in 1 publication. All Novus Biologicals antibodies are covered by our 100% guarantee.

Scientific Data Images for PDE9A Antibody - BSA Free

Immunocytochemistry/ Immunofluorescence: PDE9A Antibody [NBP1-86478]

Immunocytochemistry/ Immunofluorescence: PDE9A Antibody [NBP1-86478]

Immunocytochemistry/Immunofluorescence: PDE9A Antibody [NBP1-86478] - Staining of human cell line U-2 OS shows localization to nucleoplasm & vesicles.
PDE9A Antibody - BSA Free Immunohistochemistry-Paraffin: PDE9A Antibody - BSA Free [NBP1-86478]

Immunohistochemistry-Paraffin: PDE9A Antibody - BSA Free [NBP1-86478]

Analysis in human prostate and liver tissues using Anti-PDE9A antibody. Corresponding PDE9A RNA-seq data are presented for the same tissues.
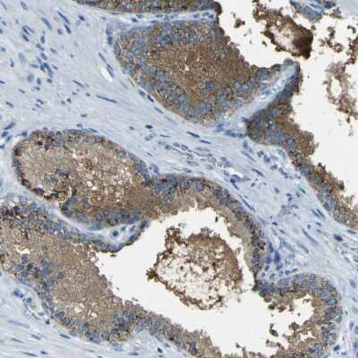
Immunohistochemistry-Paraffin: PDE9A Antibody [NBP1-86478]

Immunohistochemistry-Paraffin: PDE9A Antibody [NBP1-86478]

Immunohistochemistry-Paraffin: PDE9A Antibody [NBP1-86478] - Staining of human prostate shows high expression.

Applications for PDE9A Antibody - BSA Free

Application
Recommended Usage

Immunocytochemistry/ Immunofluorescence

0.25-2 ug/ml

Immunohistochemistry

1:200 - 1:500

Immunohistochemistry-Paraffin

1:200 - 1:500
Application Notes
For IHC-Paraffin, HIER pH 6 retrieval is recommended. ICC/IF,Fixation Permeabilization: Use PFA/Triton X-100.

Formulation, Preparation, and Storage

Purification

Affinity purified

Formulation

PBS (pH 7.2) and 40% Glycerol

Format

BSA Free

Preservative

0.02% Sodium Azide

Concentration

Concentrations vary lot to lot. See vial label for concentration. If unlisted please contact technical services.

Shipping

The product is shipped with polar packs. Upon receipt, store it immediately at the temperature recommended below.

Stability & Storage

Store at 4C short term. Aliquot and store at -20C long term. Avoid freeze-thaw cycles.

Background: PDE9A

The protein encoded by the PDE9A gene catalyzes the hydrolysis of cAMP and cGMP to their corresponding monophosphates. The encoded protein plays a role in signal transduction by regulating the intracellular concentration of these cyclic nucleotides. Multiple transcript variants encoding several different isoforms have been found for this gene. (provided by RefSeq)

Long Name

High affinity cGMP-specific 3',5'-cyclic phosphodiesterase 9A

Alternate Names

CGMP-specific 3'-5'-cyclic phosphodiesterase type 9, CGMP-specific 3'-5'-cyclic phosphodiesterase type 9, EC 3.1.4.1710phosphodiesterase PDE9A21, EC 3.1.4.35, FLJ90181, high affinity cGMP-specific 3'-5'-cyclic phosphodiesterase 9A, HSPDE9A2, phosphodiesterase 9A

Gene Symbol

PDE9A

Additional PDE9A Products

Product Documents for PDE9A Antibody - BSA Free

Certificate of Analysis

To download a Certificate of Analysis, please enter a lot number in the search box below.

Product Specific Notices for PDE9A Antibody - BSA Free

This product is for research use only and is not approved for use in humans or in clinical diagnosis. Primary Antibodies are guaranteed for 1 year from date of receipt.

Loading...
Loading...
Loading...
Loading...