Skip to main content

PDE5A Antibody (1F11) - Azide and BSA Free

Novus Biologicals, part of Bio-Techne | Catalog # H00008654-M02

Novus Biologicals, part of Bio-Techne
Catalog #
Availability
Size / Price
Qty
Loading...
H00008654-M02

Key Product Details

Species Reactivity

Human

Applications

Western Blot, ELISA, Immunocytochemistry/ Immunofluorescence

Label

Unconjugated

Antibody Source

Monoclonal Mouse IgG3 Kappa Clone # 1F11

Format

Azide and BSA Free

Concentration

Concentrations vary lot to lot. See vial label for concentration. If unlisted please contact technical services.

Product Specifications

Immunogen

PDE5A (NP_001074, 29 a.a. ~ 138 a.a) partial recombinant protein with GST tag. MW of the GST tag alone is 26 KDa. SVEAWLDDHWDFTFSYFVRKATREMVNAWFAERVHTIPVCKEGIRGHTESCSCPLQQSPRADNSVPGTPTRKISASEFDRPLRPIVVKDSEGTVSFLSDSEKKEQMPLTP

Clonality

Monoclonal

Host

Mouse

Isotype

IgG3 Kappa

Description

Quality control test: Antibody Reactive Against Recombinant Protein.

Scientific Data Images for PDE5A Antibody (1F11) - Azide and BSA Free

Western Blot: PDE5A Antibody (1F11) [H00008654-M02]

Western Blot: PDE5A Antibody (1F11) [H00008654-M02]

Western Blot: PDE5A Antibody (1F11) [H00008654-M02] - PDE5A monoclonal antibody (M02), clone 1F11. Analysis of PDE5A expression in Jurkat.
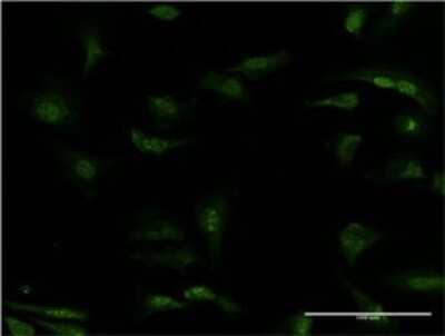
Immunocytochemistry/ Immunofluorescence: PDE5A Antibody (1F11) [H00008654-M02]

Immunocytochemistry/ Immunofluorescence: PDE5A Antibody (1F11) [H00008654-M02]

Immunocytochemistry/Immunofluorescence: PDE5A Antibody (1F11) [H00008654-M02] - Analysis of monoclonal antibody to PDE5A on HeLa cell . Antibody concentration 10 ug/ml.

Applications for PDE5A Antibody (1F11) - Azide and BSA Free

Application
Recommended Usage

ELISA

Optimal dilutions of this antibody should be experimentally determined.

Immunocytochemistry/ Immunofluorescence

Optimal dilutions of this antibody should be experimentally determined.

Western Blot

Optimal dilutions of this antibody should be experimentally determined.
Application Notes
It has been used for ELISA and WB.

Formulation, Preparation, and Storage

Purification

IgG purified

Formulation

In 1x PBS, pH 7.4

Format

Azide and BSA Free

Preservative

No Preservative

Concentration

Concentrations vary lot to lot. See vial label for concentration. If unlisted please contact technical services.

Shipping

The product is shipped with polar packs. Upon receipt, store it immediately at the temperature recommended below.

Stability & Storage

Aliquot and store at -20C or -80C. Avoid freeze-thaw cycles.

Background: PDE5A

This gene encodes a cGMP-binding, cGMP-specific phosphodiesterase, a member of the cyclic nucleotide phosphodiesterase family. This phosphodiesterase specifically hydrolyzes cGMP to 5'-GMP. It is involved in the regulation of intracellular concentrations of cyclic nucleotides and is important for smooth muscle relaxation in the cardiovascular system. Alternative splicing of this gene results in three transcript variants encoding distinct isoforms.

Long Name

cGMP-specific 3',5'-cyclic phosphodiesterase

Alternate Names

CGB-PDE, PDE5

Gene Symbol

PDE5A

Additional PDE5A Products

Product Documents for PDE5A Antibody (1F11) - Azide and BSA Free

Certificate of Analysis

To download a Certificate of Analysis, please enter a lot number in the search box below.

Product Specific Notices for PDE5A Antibody (1F11) - Azide and BSA Free

This product is produced by and distributed for Abnova, a company based in Taiwan.

This product is for research use only and is not approved for use in humans or in clinical diagnosis. Primary Antibodies are guaranteed for 1 year from date of receipt.

Loading...
Loading...
Loading...
Loading...