Skip to main content

PDE1B Antibody (5C4A3) - BSA Free

Novus Biologicals, part of Bio-Techne | Catalog # NBP2-37404

Novus Biologicals, part of Bio-Techne
Catalog #
Availability
Size / Price
Qty
Loading...
NBP2-37404-0.025ml
NBP2-37404

Key Product Details

Species Reactivity

Human, Rat

Applications

Immunohistochemistry, Immunohistochemistry-Paraffin, Western Blot, ELISA, Flow Cytometry, CyTOF-ready

Label

Unconjugated

Antibody Source

Monoclonal Mouse IgG1 Clone # 5C4A3

Format

BSA Free

Concentration

1 mg/ml

Product Specifications

Immunogen

Purified recombinant fragment of human PDE1B (AA: 370-536) expressed in E. Coli.

Clonality

Monoclonal

Host

Mouse

Isotype

IgG1

Theoretical MW

61.4 kDa.
Disclaimer note: The observed molecular weight of the protein may vary from the listed predicted molecular weight due to post translational modifications, post translation cleavages, relative charges, and other experimental factors.

Description

Novus Biologicals Mouse PDE1B Antibody (5C4A3) - BSA Free (NBP2-37404) is a monoclonal antibody validated for use in IHC, WB, ELISA and Flow. All Novus Biologicals antibodies are covered by our 100% guarantee.

Scientific Data Images for PDE1B Antibody (5C4A3) - BSA Free

Western Blot: PDE1B Antibody (5C4A3)BSA Free [NBP2-37404]

Western Blot: PDE1B Antibody (5C4A3)BSA Free [NBP2-37404]

Western Blot: PDE1B Antibody (5C4A3) [NBP2-37404] - Western blot analysis using PDE1B mouse mAb against PC-12 (1) cell lysate.
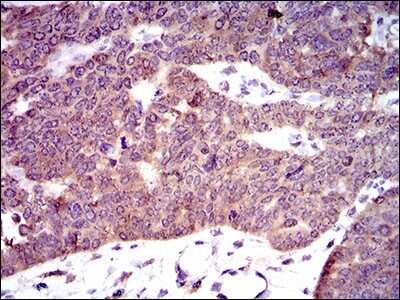
Immunohistochemistry: PDE1B Antibody (5C4A3) - BSA Free [NBP2-37404]

Immunohistochemistry: PDE1B Antibody (5C4A3) - BSA Free [NBP2-37404]

Immunohistochemistry: PDE1B Antibody (5C4A3) [NBP2-37404] - Immunohistochemical analysis of paraffin-embedded rectum cancer tissues using PDE1B mouse mAb with DAB staining.
Flow Cytometry: PDE1B Antibody (5C4A3) - BSA Free [NBP2-37404]

Flow Cytometry: PDE1B Antibody (5C4A3) - BSA Free [NBP2-37404]

Flow Cytometry: PDE1B Antibody (5C4A3) [NBP2-37404] - Flow cytometric analysis of A549 cells using PDE1B mouse mAb (green) and negative control (red).

Applications for PDE1B Antibody (5C4A3) - BSA Free

Application
Recommended Usage

ELISA

1:10000

Flow Cytometry

1:200 - 1:400

Immunohistochemistry

1:200 - 1:1000

Immunohistochemistry-Paraffin

1:200 - 1:1000

Western Blot

1:500 - 1:2000
Application Notes
This antibody is Cytof ready.

Formulation, Preparation, and Storage

Purification

Protein G purified

Formulation

PBS

Format

BSA Free

Preservative

0.05% Sodium Azide

Concentration

1 mg/ml

Shipping

The product is shipped with polar packs. Upon receipt, store it immediately at the temperature recommended below.

Stability & Storage

Store at 4C short term. Aliquot and store at -20C long term. Avoid freeze-thaw cycles.

Background: PDE1B

PDE1B, a variant of PDE1, is a Ca2+-calmodulin-stimulated phosphodieterase (PDE) preferentially hydrolyzing cGMP. Cyclic nucleotides are hydrolyzed and compartmentalized by a family of enzymes called phosphodieterases. In mammals at least 11 different families of PDEs can be discriminated (PDE1-11) based on their kinetic properties and inhibition to various pharmacological agents. Three different PDE1 genes have been identified (PDE1A, PDE1B, PDE1C). The enzymes of the PDE1A and PDE1B have higher affinity for cGMP than for cAMP, whereas PDE1C has high affinity for both cAMP and cGMP. Calcium-Calmodulin stimulates the activity of each of these enzymes several-fold. The tissue distribution of PDE1B is different from other PDE1 gene family members. In testis PDE1B is expressed uniformly through out the seminiferous epithelium and in the interstistium in contrast to PDE1A and PDE1C that is expressed in elongated to mature spermatids.

Long Name

Dual specificity calcium/calmodulin-dependent 3',5'-cyclic nucleotide phosphodiesterase 1B

Alternate Names

63 kDa Cam-PDE, Cam-PDE 1B, PDES1B

Gene Symbol

PDE1B

Additional PDE1B Products

Product Documents for PDE1B Antibody (5C4A3) - BSA Free

Certificate of Analysis

To download a Certificate of Analysis, please enter a lot number in the search box below.

Product Specific Notices for PDE1B Antibody (5C4A3) - BSA Free

This product is for research use only and is not approved for use in humans or in clinical diagnosis. Primary Antibodies are guaranteed for 1 year from date of receipt.

Loading...
Loading...
Loading...
Loading...
Loading...