Skip to main content

PDCL2 Antibody - BSA Free

Novus Biologicals, part of Bio-Techne | Catalog # NBP2-13744

Novus Biologicals, part of Bio-Techne
Catalog #
Availability
Size / Price
Qty
Loading...
NBP2-13744-25ul
NBP2-13744

Key Product Details

Validated by

Orthogonal Validation

Species Reactivity

Human

Applications

Immunohistochemistry, Immunohistochemistry-Paraffin, Western Blot

Label

Unconjugated

Antibody Source

Polyclonal Rabbit IgG

Format

BSA Free

Concentration

Concentrations vary lot to lot. See vial label for concentration. If unlisted please contact technical services.

Product Specifications

Immunogen

This antibody was developed against a recombinant protein corresponding to the amino acids: PPKEESKDEIEEMVLRLQKEAMVKPFEKMTLAQLKEAEDEFDEEDMQAVETYRKKRLQEWKAL

Reactivity Notes

Immunogen displays the following percentage of sequence identity for non-tested species: Mouse (87%), Rat (87%)

Clonality

Polyclonal

Host

Rabbit

Isotype

IgG

Description

Novus Biologicals Rabbit PDCL2 Antibody - BSA Free (NBP2-13744) is a polyclonal antibody validated for use in IHC and WB. All Novus Biologicals antibodies are covered by our 100% guarantee.

Scientific Data Images for PDCL2 Antibody - BSA Free

Western Blot: PDCL2 Antibody [NBP2-13744]

Western Blot: PDCL2 Antibody [NBP2-13744]

Western Blot: PDCL2 Antibody [NBP2-13744] - Analysis in control (vector only transfected HEK293T lysate) and PDCL2 over-expression lysate (Co-expressed with a C-terminal myc-DDK tag (3.1 kDa) in mammalian HEK293T cells).
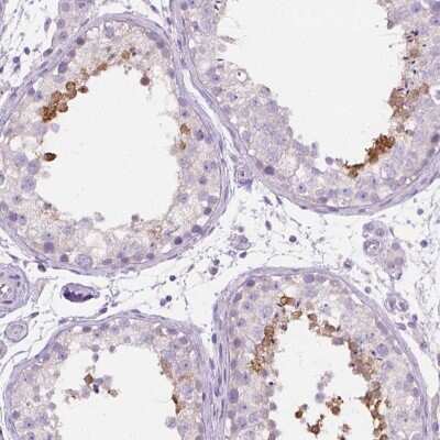
Immunohistochemistry-Paraffin: PDCL2 Antibody [NBP2-13744]

Immunohistochemistry-Paraffin: PDCL2 Antibody [NBP2-13744]

Immunohistochemistry-Paraffin: PDCL2 Antibody [NBP2-13744] - Staining in human testis and endometrium tissues using anti-PDCL2 antibody. Corresponding PDCL2 RNA-seq data are presented for the same tissues.
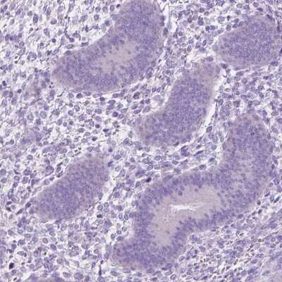
Immunohistochemistry-Paraffin: PDCL2 Antibody [NBP2-13744]

Immunohistochemistry-Paraffin: PDCL2 Antibody [NBP2-13744]

Immunohistochemistry-Paraffin: PDCL2 Antibody [NBP2-13744] - Staining of human endometrium shows low expression as expected.

Applications for PDCL2 Antibody - BSA Free

Application
Recommended Usage

Immunohistochemistry

1:1000 - 1:2500

Immunohistochemistry-Paraffin

1:1000 - 1:2500

Western Blot

0.04-0.4 ug/ml
Application Notes
For IHC-Paraffin, HIER pH 6 retrieval is recommended.

Formulation, Preparation, and Storage

Purification

Affinity purified

Formulation

PBS (pH 7.2) and 40% Glycerol

Format

BSA Free

Preservative

0.02% Sodium Azide

Concentration

Concentrations vary lot to lot. See vial label for concentration. If unlisted please contact technical services.

Shipping

The product is shipped with polar packs. Upon receipt, store it immediately at the temperature recommended below.

Stability & Storage

Store at 4C short term. Aliquot and store at -20C long term. Avoid freeze-thaw cycles.

Background: PDCL2

The PDCL2 gene encodes a member of the phosducin-like protein family and is a putative modulator of heterotrimeric G proteins. The protein shares extensive amino acid sequence homology with phosducin. Members of the phosducin-like protein family have been show

Alternate Names

GCPHLP, phosducin-like 2, phosducin-like protein 2

Gene Symbol

PDCL2

Additional PDCL2 Products

Product Documents for PDCL2 Antibody - BSA Free

Certificate of Analysis

To download a Certificate of Analysis, please enter a lot number in the search box below.

Product Specific Notices for PDCL2 Antibody - BSA Free

This product is for research use only and is not approved for use in humans or in clinical diagnosis. Primary Antibodies are guaranteed for 1 year from date of receipt.

Loading...
Loading...
Loading...
Loading...