Skip to main content

PBX1 Antibody - BSA Free

Novus Biologicals, part of Bio-Techne | Catalog # NBP1-86151

Novus Biologicals, part of Bio-Techne
Catalog #
Availability
Size / Price
Qty
Loading...
NBP1-86151-25ul
NBP1-86151

Key Product Details

Validated by

Orthogonal Validation, Independent Antibodies

Species Reactivity

Validated:

Human

Predicted:

Mouse (100%), Rat (100%). Backed by our 100% Guarantee.

Applications

Immunohistochemistry, Immunohistochemistry-Paraffin, Western Blot, Immunocytochemistry/ Immunofluorescence, Chromatin Immunoprecipitation-exo-Seq

Label

Unconjugated

Antibody Source

Polyclonal Rabbit IgG

Format

BSA Free

Concentration

Concentrations vary lot to lot. See vial label for concentration. If unlisted please contact technical services.

Product Specifications

Immunogen

This antibody was developed against Recombinant Protein corresponding to amino acids: YSHLSNPYPSEEAKEELAKKCGITVSQVSNWFGNKRIRYKKNIGKFQEEANIYAAKTAVTATNVSAHGSQANSPSTPNSAGSSSSFNMSNSGDLFMSVQSLNGDSYQGAQVGANVQSQVDTLRHVISQTGGYSDGLAASQMYSP

Reactivity Notes

Reactivity reported in scientific literature (PMID: 23444221)

Clonality

Polyclonal

Host

Rabbit

Isotype

IgG

Description

Novus Biologicals Rabbit PBX1 Antibody - BSA Free (NBP1-86151) is a polyclonal antibody validated for use in IHC, WB and ICC/IF. Anti-PBX1 Antibody: Cited in 1 publication. All Novus Biologicals antibodies are covered by our 100% guarantee.

Scientific Data Images for PBX1 Antibody - BSA Free

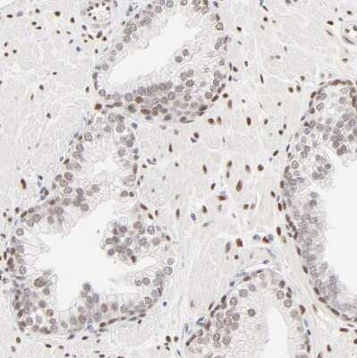
Immunohistochemistry-Paraffin: PBX1 Antibody [NBP1-86151]

Immunohistochemistry-Paraffin: PBX1 Antibody [NBP1-86151]

Immunohistochemistry-Paraffin: PBX1 Antibody [NBP1-86151] - Analysis in human fallopian tube and liver tissues using NBP1-86151 antibody. Corresponding PBX1 RNA-seq data are presented for the same tissues.
Immunohistochemistry-Paraffin: PBX1 Antibody [NBP1-86151]

Immunohistochemistry-Paraffin: PBX1 Antibody [NBP1-86151]

Immunohistochemistry-Paraffin: PBX1 Antibody [NBP1-86151] - Staining of human endometrium, fallopian tube, liver and prostate using Anti-PBX1 antibody NBP1-86151 (A) shows similar protein distribution across tissues to independent antibody NBP1-85803 (B).
Immunocytochemistry/ Immunofluorescence: PBX1 Antibody [NBP1-86151]

Immunocytochemistry/ Immunofluorescence: PBX1 Antibody [NBP1-86151]

Immunocytochemistry/Immunofluorescence: PBX1 Antibody [NBP1-86151] - Staining of human cell line U-251 MG shows localization to nucleoplasm.

Applications for PBX1 Antibody - BSA Free

Application
Recommended Usage

Chromatin Immunoprecipitation-exo-Seq

1-10ug per reaction

Immunocytochemistry/ Immunofluorescence

0.25-2 ug/ml

Immunohistochemistry

1:50 - 1:200

Immunohistochemistry-Paraffin

1:50-1:200

Western Blot

0.04 - 0.4 ug/ml
Application Notes
For IHC-Paraffin, HIER pH 6 retrieval is recommended. ICC/IF,Fixation Permeabilization: Use PFA/Triton X-100.

Formulation, Preparation, and Storage

Purification

Affinity purified

Formulation

PBS (pH 7.2) and 40% Glycerol

Format

BSA Free

Preservative

0.02% Sodium Azide

Concentration

Concentrations vary lot to lot. See vial label for concentration. If unlisted please contact technical services.

Shipping

The product is shipped with polar packs. Upon receipt, store it immediately at the temperature recommended below.

Stability & Storage

Store at 4C short term. Aliquot and store at -20C long term. Avoid freeze-thaw cycles.

Background: PBX1

PBX1 binds the sequence 5'-ATCAATCAA-3'. Acts as a transcriptional activator of PF4 in complex with MEIS1. Converted into a potent transcriptional activator by the (1;19) translocation. May have a role in steroidogenesis and, subsequently, sexual development a

Alternate Names

DKFZp686B09108, Homeobox protein PBX1, Homeobox protein PRL, MGC126627, Pre-B cell leukemia transcription factor-1, pre-B-cell leukemia homeobox 1, pre-B-cell leukemia transcription factor 1, PRL

Gene Symbol

PBX1

Additional PBX1 Products

Product Documents for PBX1 Antibody - BSA Free

Certificate of Analysis

To download a Certificate of Analysis, please enter a lot number in the search box below.

Product Specific Notices for PBX1 Antibody - BSA Free

This product is for research use only and is not approved for use in humans or in clinical diagnosis. Primary Antibodies are guaranteed for 1 year from date of receipt.

Loading...
Loading...
Loading...
Loading...