Skip to main content

PBX1 Antibody (PSH0-24)

Novus Biologicals, part of Bio-Techne | Catalog # NBP3-32720

Recombinant Monoclonal Antibody
Novus Biologicals, part of Bio-Techne
Catalog #
Availability
Size / Price
Qty
Loading...
NBP3-32720

Key Product Details

Species Reactivity

Human, Mouse, Rat

Applications

Immunohistochemistry, Western Blot

Label

Unconjugated

Antibody Source

Recombinant Monoclonal Rabbit IgG Clone # PSH0-24 expressed in HEK293

Concentration

Please see the vial label for concentration. If unlisted please contact technical services.

Product Specifications

Immunogen

Recombinant protein within human PBX1 aa 1-250 / 430. (Uniprot: P40424)

Localization

Nucleus.

Clonality

Monoclonal

Host

Rabbit

Isotype

IgG

Theoretical MW

47 kDa.
Disclaimer note: The observed molecular weight of the protein may vary from the listed predicted molecular weight due to post translational modifications, post translation cleavages, relative charges, and other experimental factors.

Description

Novus Biologicals Rabbit PBX1 Antibody (PSH0-24) (NBP3-32720) is a recombinant monoclonal antibody validated for use in IHC and WB. All Novus Biologicals antibodies are covered by our 100% guarantee.

Scientific Data Images for PBX1 Antibody (PSH0-24)

PBX1 Antibody (PSH0-24)

Western Blot: PBX1 Antibody (PSH0-24) [NBP3-32720]

Western Blot: PBX1 Antibody (PSH0-24) [NBP3-32720] - Western blot analysis of PBX1 on different lysates with Rabbit anti-PBX1 antibody (NBP3-32720) at 1/1,000 dilution.

Lane 1: Hela cell lysate (20 ug/Lane)
Lane 2: HEK-293 cell lysate (20 ug/Lane)
Lane 3: MCF-7 cell lysate (20 ug/Lane)
Lane 4: Jurkat cell lysate (20 ug/Lane)
Lane 5: A431 cell lysate (20 ug/Lane)
Lane 6: NIH/3T3 cell lysate (20 ug/Lane)
Lane 7: Mouse testis tissue lysate (40 ug/Lane)
Lane 8: Rat pancreas tissue lysate (40 ug/Lane)

Predicted band size: 47 kDa
Observed band size: 40/47 kDa

Exposure time: 3 minutes;

10% SDS-PAGE gel.

Proteins were transferred to a PVDF membrane and blocked with 5% NFDM/TBST for 1 hour at room temperature. The primary antibody (NBP3-32720) at 1/1,000 dilution was used in 5% NFDM/TBST at room temperature for 2 hours. Goat Anti-Rabbit IgG - HRP Secondary Antibody at 1:300,000 dilution was used for 1 hour at room temperature.
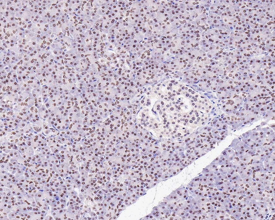
PBX1 Antibody (PSH0-24)

Immunohistochemistry: PBX1 Antibody (PSH0-24) [NBP3-32720]

Immunohistochemistry: PBX1 Antibody (PSH0-24) [NBP3-32720] - Immunohistochemical analysis of paraffin-embedded human pancreas tissue with Rabbit anti-PBX1 antibody (NBP3-32720) at 1/200 dilution.

The section was pre-treated using heat mediated antigen retrieval with sodium citrate buffer (pH 6.0) for 2 minutes. The tissues were blocked in 1% BSA for 20 minutes at room temperature, washed with ddH2O and PBS, and then probed with the primary antibody (NBP3-32720) at 1/200 dilution for 1 hour at room temperature. The detection was performed using an HRP conjugated compact polymer system. DAB was used as the chromogen. Tissues were counterstained with hematoxylin and mounted with DPX.

Applications for PBX1 Antibody (PSH0-24)

Application
Recommended Usage

Immunohistochemistry

1:200

Western Blot

1:1000

Formulation, Preparation, and Storage

Purification

Immunogen affinity purified

Formulation

PBS (pH7.4), 0.1% BSA and 40% Glycerol

Preservative

0.05% Sodium Azide

Concentration

Please see the vial label for concentration. If unlisted please contact technical services.

Shipping

The product is shipped with polar packs. Upon receipt, store it immediately at the temperature recommended below.

Stability & Storage

Store at 4C short term. Aliquot and store at -20C long term. Avoid freeze-thaw cycles.

Background: PBX1

PBX1 binds the sequence 5'-ATCAATCAA-3'. Acts as a transcriptional activator of PF4 in complex with MEIS1. Converted into a potent transcriptional activator by the (1;19) translocation. May have a role in steroidogenesis and, subsequently, sexual development a

Alternate Names

DKFZp686B09108, Homeobox protein PBX1, Homeobox protein PRL, MGC126627, Pre-B cell leukemia transcription factor-1, pre-B-cell leukemia homeobox 1, pre-B-cell leukemia transcription factor 1, PRL

Gene Symbol

PBX1

Additional PBX1 Products

Product Documents for PBX1 Antibody (PSH0-24)

Certificate of Analysis

To download a Certificate of Analysis, please enter a lot number in the search box below.

Product Specific Notices for PBX1 Antibody (PSH0-24)

This product is for research use only and is not approved for use in humans or in clinical diagnosis. Primary Antibodies are guaranteed for 1 year from date of receipt.

Loading...
Loading...
Loading...
Loading...