Skip to main content

PBR Antibody (CL13358) - Azide and BSA Free

Novus Biologicals, part of Bio-Techne | Catalog # NBP3-44381

Novus Biologicals, part of Bio-Techne
Catalog #
Availability
Size / Price
Qty
Loading...
NBP3-44381

Key Product Details

Validated by

Orthogonal Validation

Species Reactivity

Human

Applications

Immunohistochemistry-Paraffin, Western Blot, Immunocytochemistry/ Immunofluorescence

Label

Unconjugated

Antibody Source

Monoclonal Mouse IgG2B Clone # CL13358

Format

Azide and BSA Free

Concentration

LYOPH mg/ml

Product Specifications

Immunogen

This antibody was generated using a synthetic peptide of P30536, with the exact immunogen sequence remaining proprietary.

Clonality

Monoclonal

Host

Mouse

Isotype

IgG2B

Description

Novus Biologicals Mouse PBR Antibody (CL13358) - Azide and BSA Free (NBP3-18567) is a monoclonal antibody validated for use in IHC, WB and ICC/IF. All Novus Biologicals antibodies are covered by our 100% guarantee.

Scientific Data Images for PBR Antibody (CL13358) - Azide and BSA Free

PBR Antibody (CL13358) - Azide and BSA Free Immunocytochemistry/ Immunofluorescence: PBR Antibody [NBP3-44381]

Immunocytochemistry/ Immunofluorescence: PBR Antibody [NBP3-44381]

Staining of A-431 cells using the Anti-PBR monoclonal antibody) .
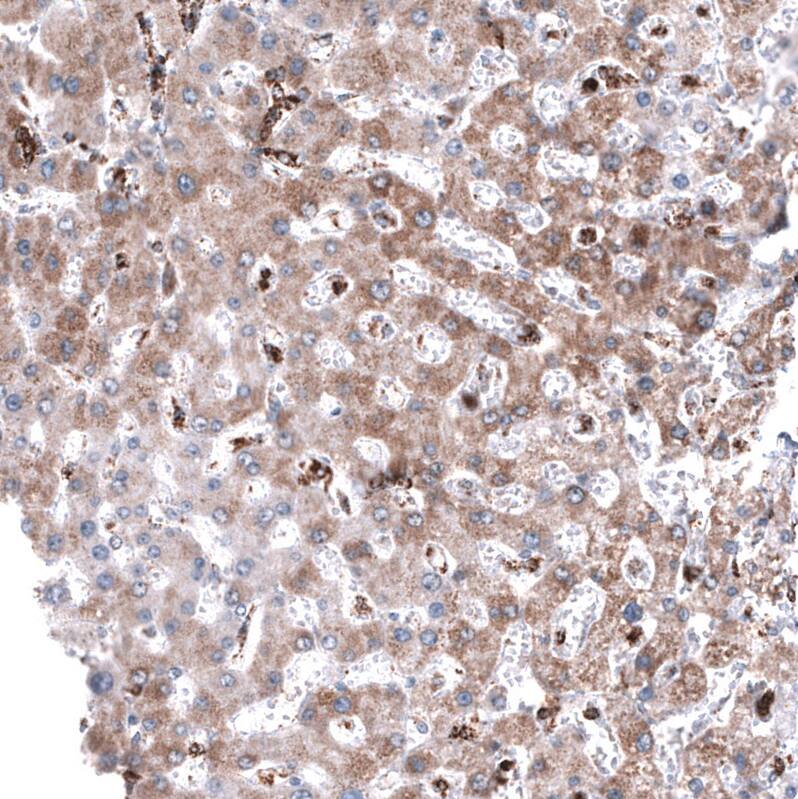
PBR Antibody (CL13358) - Azide and BSA Free Immunohistochemistry-Paraffin: PBR Antibody [NBP3-44381]

Immunohistochemistry-Paraffin: PBR Antibody [NBP3-44381]

Analysis in human skin and liver tissues using NBP3-44381 antibody. Corresponding PBR RNA-seq data are presented for the same tissues.
PBR Antibody (CL13358) - Azide and BSA Free Immunohistochemistry-Paraffin: PBR Antibody [NBP3-44381]

Immunohistochemistry-Paraffin: PBR Antibody [NBP3-44381]

Staining of human cerebral cortex shows moderate granular cytoplasmic positivity in astrocytes.

Applications for PBR Antibody (CL13358) - Azide and BSA Free

Application
Recommended Usage

Immunocytochemistry/ Immunofluorescence

2-10 ug/ml

Immunohistochemistry-Paraffin

1:2500 - 1:5000

Western Blot

1 ug/ml
Application Notes
For use with IHC-Paraffin, HIER pH 6 retrieval is recommended. For use with Immunocytochemistry/ Immunofluorescence/IF, PFA/Triton X-100 is recommended for fixation/permeabilization.

Formulation, Preparation, and Storage

Purification

Protein A purified

Reconstitution

Centrifuge the vial of lyophilized antibody at 12,000 x g for 20 seconds. Reconstitute by adding sterile, distilled water to achieve a final antibody concentration of 1mg/ml.

Formulation

Lyophilized from a 0.2 um filtered solution in PBS with Trehalose

Format

Azide and BSA Free

Preservative

No Preservative

Concentration

LYOPH mg/ml

Shipping

The product is shipped at ambient temperature. Upon receipt, store it immediately at the temperature recommended below.

Stability & Storage

Store at 4C short term. Aliquot and store at -20C long term. Avoid freeze-thaw cycles.

Background: PBR

Present mainly in the mitochondrial compartment of peripheral tissues, the protein encoded by this gene interacts with some benzodiazepines and has different affinities than its endogenous counterpart. The protein is a key factor in the flow of cholesterol into mitochondria to permit the initiation of steroid hormone synthesis. Alternate transcriptional splice variants, encoding different isoforms, have been characterized.

Long Name

Peripheral-type Benzodiazepine Receptor

Alternate Names

TSPO

Gene Symbol

TSPO

Additional PBR Products

Product Documents for PBR Antibody (CL13358) - Azide and BSA Free

Certificate of Analysis

To download a Certificate of Analysis, please enter a lot number in the search box below.

Product Specific Notices for PBR Antibody (CL13358) - Azide and BSA Free

This product is for research use only and is not approved for use in humans or in clinical diagnosis. Primary Antibodies are guaranteed for 1 year from date of receipt.

Loading...
Loading...
Loading...
Loading...
Loading...