Skip to main content

PAX8 Antibody (PAX8/1492) - Azide and BSA Free

Novus Biologicals, part of Bio-Techne | Catalog # NBP2-54539

Novus Biologicals, part of Bio-Techne

Key Product Details

Species Reactivity

Human, Canine

Applications

Immunohistochemistry, Immunohistochemistry-Paraffin, Western Blot, Flow Cytometry, Immunocytochemistry/ Immunofluorescence, Protein Array, CyTOF-ready

Label

Unconjugated

Antibody Source

Monoclonal Mouse IgG2b Kappa Clone # PAX8/1492

Format

Azide and BSA Free

Concentration

1 mg/ml

Product Specifications

Immunogen

Recombinant fragment (around aa 60-261) of human PAX8 protein (exact sequence is proprietary) (Uniprot: Q06710)

Localization

Nuclear

Specificity

Recognizes a protein of 62kDa, identified as PAX8. It is a member of the paired box (PAX) family of transcription factors. This nuclear protein is involved in thyroid follicular cell development and expression of thyroid-specific genes. Mutations in this gene have been associated with thyroid dysgenesis, thyroid follicular carcinomas, and atypical thyroid adenomas. PAX-8 is expressed in the thyroid (and associated carcinomas), non-ciliated mucosal cells of the fallopian tubes, and simple ovarian inclusion cysts, but not normal ovarian surface epithelial cells. PAX-8 is expressed in a high percentage of ovarian serous, endometrioid, and clear cell carcinomas, but only rarely in primary ovarian mucinous adenocarcinomas. PAX-8 expression is reported in renal tubules as well as renal cell carcinoma, nephroblastoma, and seminoma. PAX-8 antibody may be used as an additional immunohistochemical marker for renal epithelial tumors.

Marker

Renal Cell Marker

Clonality

Monoclonal

Host

Mouse

Isotype

IgG2b Kappa

Theoretical MW

62 kDa.
Disclaimer note: The observed molecular weight of the protein may vary from the listed predicted molecular weight due to post translational modifications, post translation cleavages, relative charges, and other experimental factors.

Description

1.0 mg/ml of antibody purified from Bioreactor Concentrate by Protein A/G. Prepared in 10mM PBS WITHOUT BSA & azide. Also available at 200 ug/ml WITH BSA & azide (NBP2-53371).

Antibody with azide - store at 2 to 8C. Antibody without azide - store at -20 to -80C.

Scientific Data Images for PAX8 Antibody (PAX8/1492) - Azide and BSA Free

Western Blot: PAX8 Antibody (PAX8/1492)Azide and BSA Free [NBP2-54539]

Western Blot: PAX8 Antibody (PAX8/1492)Azide and BSA Free [NBP2-54539]

Western Blot: PAX8 Antibody (PAX8/1492) - Azide and BSA Free [NBP2-54539] - Analysis (A) Recombinant Protein (B) Raji Cell Lysate Using PAX8 Monoclonal Antibody (PAX8/1492).
Immunohistochemistry-Paraffin: PAX8 Antibody (PAX8/1492) - Azide and BSA Free [NBP2-54539]

Immunohistochemistry-Paraffin: PAX8 Antibody (PAX8/1492) - Azide and BSA Free [NBP2-54539]

Immunohistochemistry-Paraffin: PAX8 Antibody (PAX8/1492) - Azide and BSA Free [NBP2-54539] - Formalin-fixed, paraffin-embedded human Urothelial Carcinoma stained with PAX8 Monoclonal Antibody (PAX8/1492).
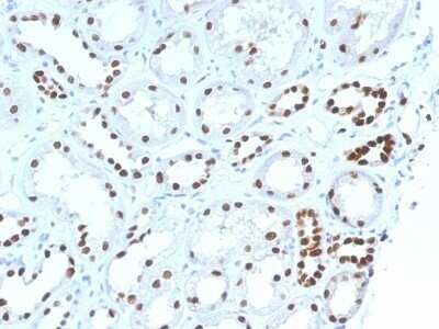
Immunohistochemistry-Paraffin: PAX8 Antibody (PAX8/1492) - Azide and BSA Free [NBP2-54539]

Immunohistochemistry-Paraffin: PAX8 Antibody (PAX8/1492) - Azide and BSA Free [NBP2-54539]

Immunohistochemistry-Paraffin: PAX8 Antibody (PAX8/1492) - Azide and BSA Free [NBP2-54539] - Formalin-fixed, paraffin-embedded human Renal Cell Carcinoma stained with PAX8 Monoclonal Antibody (PAX8/1492).

Applications for PAX8 Antibody (PAX8/1492) - Azide and BSA Free

Application
Recommended Usage

Flow Cytometry

0.5 - 1 ug/million cells

Immunocytochemistry/ Immunofluorescence

1 - 2 ug/ml

Immunohistochemistry-Paraffin

1 - 2 ug/ml

Western Blot

0.5 - 1 ug/ml
Application Notes
Immunohistochemistry (Formalin-fixed): 1-2ug/ml for 30 minutes at RT. Staining of formalin-fixed tissues requires heating tissue sections in 10mM Tris buffer with 1mM EDTA, pH 9.0, for 45 min at 95C followed by cooling at RT for 20 minutes.
Optimal dilution for a specific application should be determined.

Formulation, Preparation, and Storage

Purification

Protein A or G purified

Formulation

10 mM PBS

Format

Azide and BSA Free

Preservative

No Preservative

Concentration

1 mg/ml

Shipping

The product is shipped with polar packs. Upon receipt, store it immediately at the temperature recommended below.

Stability & Storage

Store at -20 to -80C. Avoid freeze-thaw cycles.

Background: PAX8

PAX8 is a member of the paired box (PAX) family of transcription factors, typically containing a paired box domain, an octapeptide, and a paired-type homeodomain. This family plays critical roles during fetal development and cancer growth. The specific function of the PAX8 is unknown but it may involve kidney cell differentiation, thyroid development, or thyroid dysgenesis. Alternative splicing in the gene by inclusion or exclusion of exons 7 and/or 8 has produced several known products but the biological significance of the variants is unknown. Several other splice variants have been proposed but the full nature of these products has not been described.

Alternate Names

paired box 8, paired box gene 8, paired box protein Pax-8, paired domain gene 8

Gene Symbol

PAX8

Additional PAX8 Products

Product Documents for PAX8 Antibody (PAX8/1492) - Azide and BSA Free

Certificate of Analysis

To download a Certificate of Analysis, please enter a lot number in the search box below.

Product Specific Notices for PAX8 Antibody (PAX8/1492) - Azide and BSA Free

This product is for research use only and is not approved for use in humans or in clinical diagnosis. Primary Antibodies are guaranteed for 1 year from date of receipt.

Loading...
Loading...
Loading...
Loading...
Loading...