Skip to main content

Pax2 Antibody (CL9469) - BSA Free

Novus Biologicals, part of Bio-Techne | Catalog # NBP2-88934

Novus Biologicals, part of Bio-Techne
Catalog #
Availability
Size / Price
Qty
Loading...
NBP2-88934

Key Product Details

Validated by

Orthogonal Validation

Species Reactivity

Validated:

Human

Predicted:

Mouse (100%), Rat (100%). Backed by our 100% Guarantee.

Applications

Immunocytochemistry/ Immunofluorescence, Immunohistochemistry, Immunohistochemistry-Paraffin, Western Blot

Label

Unconjugated

Antibody Source

Monoclonal Mouse IgG1 Clone # CL9469

Format

BSA Free

Concentration

Concentrations vary lot to lot. See vial label for concentration. If unlisted please contact technical services.

Product Specifications

Immunogen

This antibody was developed using a synthetic peptide derived from Q02962, with the exact immunogen sequence remaining proprietary.

Clonality

Monoclonal

Host

Mouse

Isotype

IgG1

Description

Novus Biologicals Mouse Pax2 Antibody (CL9469) - BSA Free (NBP2-88934) is a monoclonal antibody validated for use in IHC, WB and ICC/IF. All Novus Biologicals antibodies are covered by our 100% guarantee.

Scientific Data Images for Pax2 Antibody (CL9469) - BSA Free

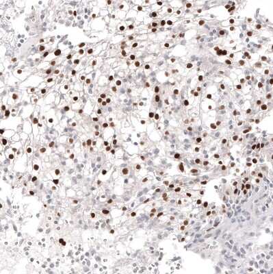
Immunohistochemistry-Paraffin: Pax2 Antibody (CL9469) [NBP2-88934]

Immunohistochemistry-Paraffin: Pax2 Antibody (CL9469) [NBP2-88934]

Immunohistochemistry-Paraffin: Pax2 Antibody (CL9469) [NBP2-88934] - Analysis in human kidney and prostate tissues using NBP2-88934 antibody. Corresponding PAX2 RNA-seq data are presented for the same tissues.
Western Blot: Pax2 Antibody (CL9469) [NBP2-88934]

Western Blot: Pax2 Antibody (CL9469) [NBP2-88934]

Western Blot: Pax2 Antibody (CL9469) [NBP2-88934] - Analysis in human cell line EFO-21.
Immunocytochemistry/ Immunofluorescence: Pax2 Antibody (CL9469) [NBP2-88934]

Immunocytochemistry/ Immunofluorescence: Pax2 Antibody (CL9469) [NBP2-88934]

Immunocytochemistry/Immunofluorescence: Pax2 Antibody (CL9469) [NBP2-88934] - Staining of EFO-21 cells using the Anti-PAX2 monoclonal antibody, showing specific staining in the nucleoplasm in green. Microtubule- and nuclear probes are visualized in red and blue, respectively (where available).

Applications for Pax2 Antibody (CL9469) - BSA Free

Application
Recommended Usage

Immunocytochemistry/ Immunofluorescence

2-10 ug/ml

Immunohistochemistry

1:200 - 1:500

Immunohistochemistry-Paraffin

1:200 - 1:500

Western Blot

1 ug/ml
Application Notes
For ICC/IF, PFA/Triton X-100 is recommended for fixation/permeabilization. For IHC-Paraffin, HIER pH 6 retrieval is recommended.

Formulation, Preparation, and Storage

Purification

Protein A purified

Formulation

PBS, pH 7.2, containing 40% glycerol

Format

BSA Free

Preservative

0.02% Sodium Azide

Concentration

Concentrations vary lot to lot. See vial label for concentration. If unlisted please contact technical services.

Shipping

The product is shipped with polar packs. Upon receipt, store it immediately at the temperature recommended below.

Stability & Storage

Store at 4C short term. Aliquot and store at -20C long term. Avoid freeze-thaw cycles.

Background: Pax2

PAX2 encodes paired box gene 2, one of many human homologues of the Drosophila melanogaster gene prd. The central feature of this transcription factor gene family is the conserved DNA-binding paired box domain. PAX2 is believed to be a target of transcriptional supression by the tumor supressor gene WT1. Mutations within PAX2 have been shown to result in optic nerve colobomas and renal hypoplasia. Alternative splicing of this gene results in multiple transcript variants.

Long Name

Paired Box Gene 2

Alternate Names

paired box 2, paired box gene 2, paired box homeotic gene 2, paired box protein Pax-2

Gene Symbol

PAX2

Additional Pax2 Products

Product Documents for Pax2 Antibody (CL9469) - BSA Free

Certificate of Analysis

To download a Certificate of Analysis, please enter a lot number in the search box below.

Product Specific Notices for Pax2 Antibody (CL9469) - BSA Free

This product is for research use only and is not approved for use in humans or in clinical diagnosis. Primary Antibodies are guaranteed for 1 year from date of receipt.

Loading...
Loading...
Loading...
Loading...