Skip to main content

Patched Domain Containing 2 Antibody - BSA Free

Novus Biologicals, part of Bio-Techne | Catalog # NBP2-81764

Novus Biologicals, part of Bio-Techne

Key Product Details

Species Reactivity

Human, Mouse, Rat

Applications

Immunohistochemistry, Immunohistochemistry-Paraffin, Western Blot, ELISA, Immunocytochemistry/ Immunofluorescence

Label

Unconjugated

Antibody Source

Polyclonal Rabbit IgG

Format

BSA Free

Concentration

1 mg/ml

Product Specifications

Immunogen

Patched Domain Containing 2 antibody was raised against a 19 amino acid synthetic peptide from near the center of human Patched Domain Containing 2. The immunogen is located within amino acids 780 - 830 of Patched Domain Containing 2. Amino Acid Squence: EKPHSLQNNIRTSLEKKRR

Reactivity Notes

Immunogen displays the following percentage of sequence identity for non-tested species: Chicken: (89%)

Specificity

At least two isoforms of Patched Domain Containing 2 are known to exist. This antibody is specific for Patched Domain Containing 2 and will not recognize the other DISP family of proteins.

Clonality

Polyclonal

Host

Rabbit

Isotype

IgG

Description

Novus Biologicals Rabbit Patched Domain Containing 2 Antibody - BSA Free (NBP2-81764) is a polyclonal antibody validated for use in IHC, WB, ELISA and ICC/IF. All Novus Biologicals antibodies are covered by our 100% guarantee.

Scientific Data Images for Patched Domain Containing 2 Antibody - BSA Free

Western Blot: Patched Domain Containing 2 AntibodyBSA Free [NBP2-81764]

Western Blot: Patched Domain Containing 2 AntibodyBSA Free [NBP2-81764]

Western Blot: Patched Domain Containing 2 Antibody [NBP2-81764] - Analysis of Patched Domain Containing 2 in mouse kidney tissue lysate with Patched Domain Containing 2 antibody at (A) 1 and (B) 2 ug/ml.
Patched Domain Containing 2 Antibody - BSA Free

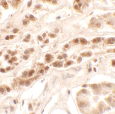
Immunohistochemistry: Patched Domain Containing 2 Antibody - BSA Free [NBP2-81764] -

Immunohistochemistry: Patched Domain Containing 2 Antibody - BSA Free [NBP2-81764] - Immunohistochemistry of Patched Domain Containing 2 in human kidney tissue with Patched Domain Containing 2 antibody at 2.5 ug/mL.
Patched Domain Containing 2 Antibody - BSA Free

Immunocytochemistry/ Immunofluorescence: Patched Domain Containing 2 Antibody - BSA Free [NBP2-81764] -

Immunocytochemistry/ Immunofluorescence: Patched Domain Containing 2 Antibody - BSA Free [NBP2-81764] - Immunofluorescence of Patched Domain Containing 2 in human kidney tissue with Patched Domain Containing 2 antibody at 20 ug/mL.

Applications for Patched Domain Containing 2 Antibody - BSA Free

Application
Recommended Usage

Immunocytochemistry/ Immunofluorescence

20 ug/ml

Immunohistochemistry

2.5 ug/ml

Western Blot

1-2 ug/ml

Formulation, Preparation, and Storage

Purification

Peptide affinity purified

Formulation

PBS

Format

BSA Free

Preservative

0.02% Sodium Azide

Concentration

1 mg/ml

Shipping

The product is shipped with polar packs. Upon receipt, store it immediately at the temperature recommended below.

Stability & Storage

Store at 4C short term. Aliquot and store at -20C long term. Avoid freeze-thaw cycles.

Background: Patched Domain Containing 2

Alternate Names

DISP3, Dispatched 3, KIAA1337, Patched Domain-Containing Protein 2, Protein Dispatched Homolog 3, PTCHD2

Gene Symbol

PTCHD2

Additional Patched Domain Containing 2 Products

Product Documents for Patched Domain Containing 2 Antibody - BSA Free

Certificate of Analysis

To download a Certificate of Analysis, please enter a lot number in the search box below.

Product Specific Notices for Patched Domain Containing 2 Antibody - BSA Free

This product is for research use only and is not approved for use in humans or in clinical diagnosis. Primary Antibodies are guaranteed for 1 year from date of receipt.

Loading...
Loading...
Loading...
Loading...