Skip to main content

Patched 1/PTCH Antibody (OTI5C7)

Novus Biologicals, part of Bio-Techne | Catalog # NBP1-47945

Novus Biologicals, part of Bio-Techne
Catalog #
Availability
Size / Price
Qty
Loading...
NBP1-47945

Key Product Details

Species Reactivity

Validated:

Human, Mouse, Rat

Cited:

Human

Applications

Validated:

Immunohistochemistry, Immunohistochemistry-Paraffin, Western Blot, Immunocytochemistry/ Immunofluorescence

Cited:

Immunohistochemistry-Paraffin, Western Blot, Immunocytochemistry/ Immunofluorescence, IF/IHC

Label

Unconjugated

Antibody Source

Monoclonal Mouse IgG2B Clone # OTI5C7

Concentration

0.2 mg/ml

Product Specifications

Immunogen

Human recombinant protein fragment corresponding to amino acids 122-436 of human PTCH1 (NP_000255) produced in E.coli.

Reactivity Notes

Please note that this antibody is reactive to Mouse and derived from the same host, Mouse. Mouse-On-Mouse blocking reagent may be needed for IHC and ICC experiments to reduce high background signal. You can find these reagents under catalog numbers PK-2200-NB and MP-2400-NB. Please contact Technical Support if you have any questions.

Specificity

This antibody is specific for Homo sapiens patched homolog 1 (Drosophila) (PTCH1), transcript variant 1b.

Clonality

Monoclonal

Host

Mouse

Isotype

IgG2B

Theoretical MW

160.4 kDa.
Disclaimer note: The observed molecular weight of the protein may vary from the listed predicted molecular weight due to post translational modifications, post translation cleavages, relative charges, and other experimental factors.

Description

Novus Biologicals Mouse Patched 1/PTCH Antibody (OTI5C7) (NBP1-47945) is a monoclonal antibody validated for use in IHC, WB and ICC/IF. Anti-Patched 1/PTCH Antibody: Cited in 4 publications. All Novus Biologicals antibodies are covered by our 100% guarantee.

Scientific Data Images for Patched 1/PTCH Antibody (OTI5C7)

Western Blot: Patched 1/PTCH Antibody (OTI5C7) [NBP1-47945]

Western Blot: Patched 1/PTCH Antibody (OTI5C7) [NBP1-47945]

Western Blot: Patched 1/PTCH Antibody (5c7) [NBP1-47945] - HEK293T cells were transfected with the pCMV6-ENTRY control (Left lane) or pCMV6-ENTRY Patched 1 (Right lane) cDNA for 48 hrs and lysed. Equivalent amounts of cell lysates (5 ug per lane) were separated by SDS-PAGE and immunoblotted with anti-Patched 1.
Immunocytochemistry/ Immunofluorescence: Patched 1/PTCH Antibody (OTI5C7) [NBP1-47945]

Immunocytochemistry/ Immunofluorescence: Patched 1/PTCH Antibody (OTI5C7) [NBP1-47945]

Immunocytochemistry/Immunofluorescence: Patched 1/PTCH Antibody (OTI5C7) [NBP1-47945] - Staining of COS7 cells transiently transfected by pCMV6-ENTRY Patched 1.
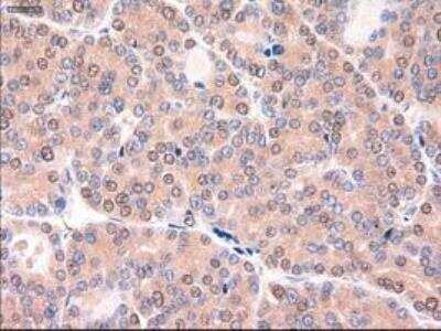
Immunohistochemistry-Paraffin: Patched 1/PTCH Antibody (OTI5C7) [NBP1-47945]

Immunohistochemistry-Paraffin: Patched 1/PTCH Antibody (OTI5C7) [NBP1-47945]

Immunohistochemistry-Paraffin: Patched 1/PTCH Antibody (5c7) [NBP1-47945] - Human endometrium tissue.

Applications for Patched 1/PTCH Antibody (OTI5C7)

Application
Recommended Usage

Immunocytochemistry/ Immunofluorescence

1:100

Immunohistochemistry

1:50

Immunohistochemistry-Paraffin

1:50

Western Blot

1:500

Formulation, Preparation, and Storage

Purification

Immunogen affinity purified

Formulation

PBS (pH 7.3), 1.0% BSA and 50% Glycerol

Preservative

0.02% Sodium Azide

Concentration

0.2 mg/ml

Shipping

The product is shipped with polar packs. Upon receipt, store it immediately at the temperature recommended below.

Stability & Storage

Store at -20C. Avoid freeze-thaw cycles.

Background: Patched 1/PTCH

This gene encodes a member of the patched gene family. The encoded protein is the receptor for sonic hedgehog, a secreted molecule implicated in the formation of embryonic structures and in umorigenesis, as well as the desert hedgehog and indian hedgehog proteins. This gene functions as a tumor suppressor. Mutations of this gene have been associated with basal cell nevus Syndrome, esophageal squamous cell carcinoma, trichoepitheliomas, transitional cell carcinomas of the bladder, as well as holoprosencephaly. Alternative splicing results in multiple transcript variants encoding different isoforms. Additional splice variants have been described, but their full length sequences and biological validity cannot be determined currently.

Alternate Names

BCNS, HPE7, mes, NBCCS, ptc1, PTCH1

Entrez Gene IDs

5727 (Human)

Gene Symbol

PTCH1

UniProt

Additional Patched 1/PTCH Products

Product Documents for Patched 1/PTCH Antibody (OTI5C7)

Certificate of Analysis

To download a Certificate of Analysis, please enter a lot number in the search box below.

Product Specific Notices for Patched 1/PTCH Antibody (OTI5C7)

This product is for research use only and is not approved for use in humans or in clinical diagnosis. Primary Antibodies are guaranteed for 1 year from date of receipt.

Loading...
Loading...
Loading...
Loading...
Loading...