PARD3/Par3 Antibody - BSA Free
Novus Biologicals, part of Bio-Techne | Catalog # NBP1-88861
Key Product Details
Validated by
Orthogonal Validation
Species Reactivity
Validated:
Human, Mouse
Cited:
Human, Mouse
Applications
Validated:
Immunohistochemistry, Immunohistochemistry-Paraffin, Western Blot, Immunocytochemistry/ Immunofluorescence, Simple Western, Immunoprecipitation
Cited:
Immunohistochemistry, Immunohistochemistry-Paraffin, Immunohistochemistry-Frozen, Immunocytochemistry/ Immunofluorescence, Immunoprecipitation, IF/IHC
Label
Unconjugated
Antibody Source
Polyclonal Rabbit IgG
Format
BSA Free
Concentration
Concentrations vary lot to lot. See vial label for concentration. If unlisted please contact technical services.
Product Specifications
Immunogen
This antibody was developed against Recombinant Protein corresponding to amino acids: LKGLGDMFRIQAKTREFRERQARERDYAEIQDFHRTFGCDDELMYGGVSSYEGSMALNARPQSPREGHMMDALYAQVKKPRNSKPSPVDSNR
Reactivity Notes
Mouse reactivity reported from a verified customer review.
Clonality
Polyclonal
Host
Rabbit
Isotype
IgG
Description
Novus Biologicals Rabbit PARD3/Par3 Antibody - BSA Free (NBP1-88861) is a polyclonal antibody validated for use in IHC, WB, ICC/IF, Simple Western and IP. Anti-PARD3/Par3 Antibody: Cited in 10 publications. All Novus Biologicals antibodies are covered by our 100% guarantee.
Scientific Data Images for PARD3/Par3 Antibody - BSA Free
Simple Western: PARD3/Par3 Antibody [NBP1-88861]
Simple Western: PARD3/Par3 Antibody [NBP1-88861] - Simple Western lane view shows a specific band for PARD3/Par3 in 0.2 mg/ml of RT-4 lysate. This experiment was performed under reducing conditions using the 66-440 kDa separation system.Immunocytochemistry/ Immunofluorescence: PARD3/Par3 Antibody [NBP1-88861]
Immunocytochemistry/Immunofluorescence: PARD3/Par3 Antibody [NBP1-88861] - Staining of human cell line U-2 OS shows localization to cell junctions. Antibody staining is shown in green.Applications for PARD3/Par3 Antibody - BSA Free
Application
Recommended Usage
Immunocytochemistry/ Immunofluorescence
0.25-2 ug/ml
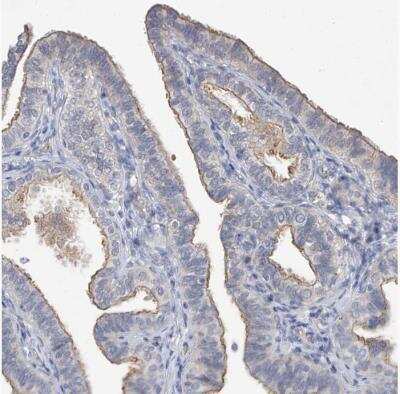
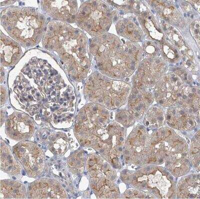
Immunohistochemistry
1:200 - 1:500
Immunohistochemistry-Paraffin
1:200-1:500
Immunoprecipitation
Reported in scientific literature (PMID:34158849).
Simple Western
1:100
Western Blot
0.04-0.4 ug/ml
Application Notes
ICC/IF Fixation Permeabilization: Use PFA/Triton X-100. IHC-Paraffin HIER pH6 retrieval is recommended. In Simple Western only 10 - 15 uL of the recommended dilution is used per data point.
See Simple Western Antibody Database for Simple Western validation: Tested in RT-4, separated by Size, antibody dilution of 1:100, apparent MW was 190 kDa
See Simple Western Antibody Database for Simple Western validation: Tested in RT-4, separated by Size, antibody dilution of 1:100, apparent MW was 190 kDa
Reviewed Applications
Read 2 reviews rated 4 using NBP1-88861 in the following applications:
Formulation, Preparation, and Storage
Purification
Affinity purified
Formulation
PBS (pH 7.2) and 40% Glycerol
Format
BSA Free
Preservative
0.02% Sodium Azide
Concentration
Concentrations vary lot to lot. See vial label for concentration. If unlisted please contact technical services.
Shipping
The product is shipped with polar packs. Upon receipt, store it immediately at the temperature recommended below.
Stability & Storage
Store at 4C short term. Aliquot and store at -20C long term. Avoid freeze-thaw cycles.
Background: PARD3/Par3
Long Name
Par-3 Partitioning Defective 3 Homolog
Alternate Names
ASIP, Baz, Bazooka, PAR3, PAR3A, SE2-5L16, SE2-5LT1, SE2-5T2
Gene Symbol
PARD3
Additional PARD3/Par3 Products
Product Documents for PARD3/Par3 Antibody - BSA Free
Product Specific Notices for PARD3/Par3 Antibody - BSA Free
This product is for research use only and is not approved for use in humans or in clinical diagnosis. Primary Antibodies are guaranteed for 1 year from date of receipt.
Loading...
Loading...
Loading...
Loading...