PAR/pADPr Antibody Best Seller
R&D Systems, part of Bio-Techne | Catalog # 4335-MC-100
Conjugate
Catalog #
Key Product Details
Species Reactivity
Validated:
Multi-Species
Cited:
Human, Mouse, Rat, Transgenic Mouse
Applications
Validated:
Immunohistochemistry, Intracellular Staining by Flow Cytometry, Immunocytochemistry
Cited:
Immunohistochemistry, Immunohistochemistry-Paraffin, Western Blot, Flow Cytometry, Immunocytochemistry, Immunoprecipitation, Chromatin Immunoprecipitation (ChIP), Co-Immunoprecipitation, ELISA Capture, Proximity Ligation Assay, Functional Assay, Microarray, Westen Blot
Label
Unconjugated
Antibody Source
Monoclonal Mouse IgG3 Clone # 10HA
Product Specifications
Immunogen
Purified ADP-ribose polymers between 2 and 50 units long
Specificity
The antibody is specific for PAR polymers 2 to 50 units long, but does not recognize structurally related RNA, DNA, ADP-ribose monomers, NAD, or other nucleic acid monomers. Detects Poly(ADP-ribose) Polymer in Direct ELISA.
Clonality
Monoclonal
Host
Mouse
Isotype
IgG3
Scientific Data Images for PAR/pADPr Antibody
Detection of PAR in Jurkat cells by Flow Cytometry.
Jurkat human acute T cell leukemia cell line treated with 1 mM H2O2 for 5 minutes (filled histogram) or resting (open histogram) were stained with Mouse Anti-PAR Monoclonal Antibody (Catalog # 4335-MC-100) followed by Goat anti-Mouse IgG PE-conjugated Secondary Antibody (F0102B). To facilitate intracellular staining, cells were fixed and permeabilized using FlowX FoxP3/Transcription Factor Fixation & Perm Buffer Kit (FC012). Staining was performed using our Staining Intracellular Molecules protocol.Detection of PAR/pADPr in Human Kidney.
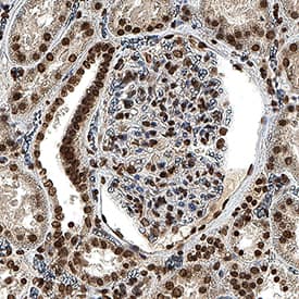
PAR/pADPr was detected in immersion fixed paraffin-embedded sections of human kidney using Mouse Anti-PAR/pADPr Monoclonal Antibody (Catalog # 4335-MC-100) at 1.7 µg/ml for 1 hour at room temperature followed by incubation with the Anti-Mouse IgG VisUCyte™ HRP Polymer Antibody (Catalog # VC001). Before incubation with the primary antibody, tissue was subjected to heat-induced epitope retrieval using VisUCyte Antigen Retrieval Reagent-Basic (Catalog # VCTS021). Tissue was stained using DAB (brown) and counterstained with hematoxylin (blue). Specific staining was localized to the nucleus. View our protocol for IHC Staining with VisUCyte HRP Polymer Detection Reagents.Detection of PAR/pADPr in 786-O Human Cell Line.
PAR/pADPr was detected in immersion fixed 786-O human renal cell adenocarcinoma cell line untreated (negative) or treated (positive) with 2mM hydrogen peroxide for 5 minutes using Mouse Anti-PAR/pADPr Monoclonal Antibody (Catalog # 4335-MC-100) at 3 µg/ml for 3 hours at room temperature. Cells were stained using the NorthernLights™ 557-conjugated Anti-Mouse IgG Secondary Antibody (red; Catalog # NL007) and counterstained with DAPI (blue). Specific staining was localized to the nucleus upon stimulation with hydrogen peroxide. View our protocol for Fluorescent ICC Staining of Cells on Coverslips.Applications for PAR/pADPr Antibody
Application
Recommended Usage
Immunocytochemistry
3-25 µg/mL
Sample: Immersion fixed 786-O human renal cell adenocarcinoma cell line
Sample: Immersion fixed 786-O human renal cell adenocarcinoma cell line
Immunohistochemistry
1-15 µg/mL
Sample: Immersion fixed paraffin-embedded sections of human kidney
Sample: Immersion fixed paraffin-embedded sections of human kidney
Intracellular Staining by Flow Cytometry
0.25 µg/106 cells
Sample: Jurkat human acute T cell leukemia cell line treated with 1 mM H2O2 for 5 minutes
Sample: Jurkat human acute T cell leukemia cell line treated with 1 mM H2O2 for 5 minutes
Reviewed Applications
Read 3 reviews rated 4 using 4335-MC-100 in the following applications:
Formulation, Preparation, and Storage
Purification
Protein A or G purified from ascites
Formulation
Supplied as a 0.2 μm filtered solution in TBS. See Certificate of Analysis for details.
Shipping
The product is shipped with dry ice or equivalent. Upon receipt, store it immediately at the temperature recommended below.
Stability & Storage
Use a manual defrost freezer and avoid repeated freeze-thaw cycles.
- 12 months from date of receipt, -20 to -70 °C, as supplied.
- 1 month, 2 to 8 °C under sterile conditions after opening.
- 6 months, -20 to -70 °C under sterile conditions after opening.
Background: PAR/pADPr
PARP [Poly(ADP-ribose) Polymerase], also known as ADPRT and PPOL, is a 118-kDa enzyme that uses NAD as a substrate to catalyze the covalent transfer of ADP-ribose to a variety of nuclear protein acceptors. ADP ribosyltransferase is required for cellular repair, and PARP expression is induced by single-strand breaks in DNA. PARP is proteolytically cleaved by Caspase-3 into two fragments of 89- and 24-kDa in one of the hallmark events of apoptosis.
Long Name
Poly [ADP-ribose] Polymer
Alternate Names
PAR
Additional PAR/pADPr Products
Product Specific Notices for PAR/pADPr Antibody
For research use only
Loading...
Loading...
Loading...
Loading...
Loading...