Skip to main content

Pancreatic Polypeptide/PP Antibody (6512) - Azide and BSA Free

Novus Biologicals, part of Bio-Techne | Catalog # NBP2-43741

Novus Biologicals, part of Bio-Techne
Catalog #
Availability
Size / Price
Qty
Loading...
NBP2-43741

Key Product Details

Species Reactivity

Human, Mouse

Applications

Immunohistochemistry-Paraffin, Western Blot, Immunocytochemistry/ Immunofluorescence

Label

Unconjugated

Antibody Source

Monoclonal Mouse IgG2B Clone # 6512

Format

Azide and BSA Free

Concentration

Concentrations vary lot to lot. See vial label for concentration. If unlisted please contact technical services.

Product Specifications

Immunogen

Carrier-protein conjugated synthetic peptide encompassing a sequence within the center region of human Pancreatic Polypeptide/PP. The exact sequence is proprietary.

Clonality

Monoclonal

Host

Mouse

Isotype

IgG2B

Theoretical MW

10 kDa.
Disclaimer note: The observed molecular weight of the protein may vary from the listed predicted molecular weight due to post translational modifications, post translation cleavages, relative charges, and other experimental factors.

Description

Novus Biologicals Mouse Pancreatic Polypeptide/PP Antibody (6512) - Azide and BSA Free (NBP2-43741) is a monoclonal antibody validated for use in IHC, WB and ICC/IF. All Novus Biologicals antibodies are covered by our 100% guarantee.

Scientific Data Images for Pancreatic Polypeptide/PP Antibody (6512) - Azide and BSA Free

Immunocytochemistry/ Immunofluorescence: Pancreatic Polypeptide/PP Antibody (6512) [NBP2-43741]

Immunocytochemistry/ Immunofluorescence: Pancreatic Polypeptide/PP Antibody (6512) [NBP2-43741]

Immunocytochemistry/Immunofluorescence: Pancreatic Polypeptide/PP Antibody (6512) [NBP2-43741] - Pancreatic Polypeptide antibody detects Pancreatic Polypeptide protein at cytoplasm by immunofluorescent analysis. Sample: Mock and transfected 293T cells were fixed in 4% paraformaldehyde at RT for 15 min. Green: Pancreatic Polypeptide stained by Pancreatic Polypeptide antibody diluted at 1:2000. Blue: Hoechst 33342 staining. Scale bar= 10um.
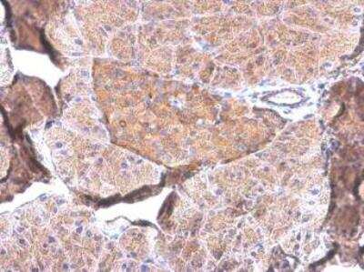
Immunohistochemistry-Paraffin: Pancreatic Polypeptide/PP Antibody (6512) [NBP2-43741]

Immunohistochemistry-Paraffin: Pancreatic Polypeptide/PP Antibody (6512) [NBP2-43741]

Immunohistochemistry-Paraffin: Pancreatic Polypeptide/PP Antibody (6512) [NBP2-43741] - Pancreatic Polypeptide antibody detects Pancreatic Polypeptide protein at cytoplasm by immunohistochemical analysis. Sample: Paraffin-embedded mouse pancreas.Pancreatic Polypeptide stained by Pancreatic Polypeptide antibody diluted at 1:500. Antigen Retrieval: Citrate buffer, pH 6.0, 15 min
Pancreatic Polypeptide/PP Antibody (6512) - Azide and BSA Free

Western Blot: Pancreatic Polypeptide/PP Antibody (6512) [NBP2-43741] -

Pancreatic polypeptide antibody [GT6512] detects PPY protein by Western blot analysis.
A. 30 ug 293T whole cell lysate/extract
B. 30 ug whole cell lysate/extract of human PPY-transfected 293T cells
15 % SDS-PAGE
Pancreatic polypeptide antibody [GT6512] (NBP2-43741) dilution: 1:5000

Applications for Pancreatic Polypeptide/PP Antibody (6512) - Azide and BSA Free

Application
Recommended Usage

Immunocytochemistry/ Immunofluorescence

1:100-1:1000

Immunohistochemistry-Paraffin

1:100-1:1000

Western Blot

1:1000-1:10000

Formulation, Preparation, and Storage

Purification

Protein G purified

Formulation

PBS

Format

Azide and BSA Free

Preservative

No Preservative

Concentration

Concentrations vary lot to lot. See vial label for concentration. If unlisted please contact technical services.

Shipping

The product is shipped with polar packs. Upon receipt, store it immediately at the temperature recommended below.

Stability & Storage

Aliquot and store at -20C or -80C. Avoid freeze-thaw cycles.

Background: Pancreatic Polypeptide/PP

Pancreatic Polypeptide is a pancreatic hormone is synthesized in pancreatic islets of Langerhans and acts as a regulator of pancreatic and gastrointestinal functions.

Alternate Names

INN, Obinepitide, PNP, PP, PPY

Gene Symbol

PPY

Additional Pancreatic Polypeptide/PP Products

Product Documents for Pancreatic Polypeptide/PP Antibody (6512) - Azide and BSA Free

Certificate of Analysis

To download a Certificate of Analysis, please enter a lot number in the search box below.

Product Specific Notices for Pancreatic Polypeptide/PP Antibody (6512) - Azide and BSA Free

This product is for research use only and is not approved for use in humans or in clinical diagnosis. Primary Antibodies are guaranteed for 1 year from date of receipt.

Loading...
Loading...
Loading...
Loading...