Skip to main content

pan Actin Antibody (A2E1-R)

Novus Biologicals, part of Bio-Techne | Catalog # NBP3-32712

Recombinant Monoclonal Antibody
Novus Biologicals, part of Bio-Techne
Catalog #
Availability
Size / Price
Qty
Loading...
NBP3-32712

Key Product Details

Species Reactivity

Human, Mouse, Rat

Applications

Immunocytochemistry/ Immunofluorescence, Immunohistochemistry, Immunohistochemistry-Paraffin, Western Blot

Label

Unconjugated

Antibody Source

Recombinant Monoclonal Mouse IgG1 Clone # A2E1-R expressed in HEK293

Concentration

1 mg/ml

Product Specifications

Immunogen

Synthetic peptide corresponding to N terminal of Human Alpha actin (smooth muscle, skeletal muscle, cardiac muscle). (Uniprot: P68133)

Localization

Cytoplasm, Cytoskeleton

Clonality

Monoclonal

Host

Mouse

Isotype

IgG1

Theoretical MW

42 kDa.
Disclaimer note: The observed molecular weight of the protein may vary from the listed predicted molecular weight due to post translational modifications, post translation cleavages, relative charges, and other experimental factors.

Description

Novus Biologicals Mouse pan Actin Antibody (A2E1-R) (NBP3-32712) is a recombinant monoclonal antibody validated for use in IHC, WB and ICC/IF. All Novus Biologicals antibodies are covered by our 100% guarantee.

Scientific Data Images for pan Actin Antibody (A2E1-R)

pan Actin Antibody (A2E1-R)

Western Blot: pan Actin Antibody (A2E1-R) [NBP3-32712]

Western Blot: pan Actin Antibody (A2E1-R) [NBP3-32712] - Western blot analysis of pan Actin on different lysates with Mouse anti-pan Actin antibody (NBP3-32712) at 1/1,000 dilution.

Lane 1: A431 cell lysate (20 ug/Lane)
Lane 2: MCF7 cell lysate (20 ug/Lane)
Lane 3: HEK-293 cell lysate (20 ug/Lane)
Lane 4: NIH/3T3 cell lysate (20 ug/Lane)
Lane 5: PC-12 cell lysate (20 ug/Lane)
Lane 6: Mouse smooth muscle tissue lysate (40 ug/Lane)
Lane 7: Rat heart tissue lysate (40 ug/Lane)

Predicted band size: 42 kDa
Observed band size: 42 kDa

Exposure time: 30 seconds;

4-20% SDS-PAGE gel.

Proteins were transferred to a PVDF membrane and blocked with 5% NFDM/TBST for 1 hour at room temperature. The primary antibody (NBP3-32712) at 1/1,000 dilution was used in 5% NFDM/TBST at 4 overnight. Goat Anti-Mouse IgG - HRP Secondary Antibody at 1/50,000 dilution was used for 1 hour at room temperature.
pan Actin Antibody (A2E1-R)

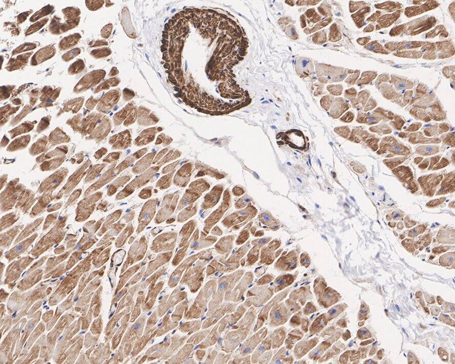
Immunohistochemistry: pan Actin Antibody (A2E1-R) [NBP3-32712]

Immunohistochemistry: pan Actin Antibody (A2E1-R) [NBP3-32712] - Immunohistochemical analysis of paraffin-embedded human heart tissue with Mouse anti-pan Actin antibody (NBP3-32712) at 1/10,000 dilution.

The section was pre-treated using heat mediated antigen retrieval with Tris-EDTA buffer (pH 9.0) for 20 minutes. The tissues were blocked in 1% BSA for 20 minutes at room temperature, washed with ddH2O and PBS, and then probed with the primary antibody (NBP3-32712) at 1/10,000 dilution for 1 hour at room temperature. The detection was performed using an HRP conjugated compact polymer system. DAB was used as the chromogen. Tissues were counterstained with hematoxylin and mounted with DPX.
pan Actin Antibody (A2E1-R)

Immunocytochemistry/ Immunofluorescence: pan Actin Antibody (A2E1-R) [NBP3-32712]

Immunocytochemistry/ Immunofluorescence: pan Actin Antibody (A2E1-R) [NBP3-32712] - Immunocytochemistry analysis of HeLa cells labeling pan Actin with Mouse anti-pan Actin antibody (NBP3-32712) at 1/100 dilution.

Cells were fixed in 100% precooled methanol for 5 minutes at room temperature, then blocked with 1% BSA in 10% negative goat serum for 1 hour at room temperature. Cells were then incubated with Mouse anti-pan Actin antibody (NBP3-32712) at 1/100 dilution in 1% BSA in PBST overnight at 4 ℃. Goat Anti-Mouse IgG H&L (iFluor™ 488) was used as the secondary antibody at 1/1,000 dilution. PBS instead of the primary antibody was used as the secondary antibody only control. Nuclear DNA was labelled in blue with DAPI.

beta Tubulin (red) was stained at 1/100 dilution overnight at +4℃. Goat Anti-Rabbit IgG H&L (iFluor™ 594) were used as the secondary antibody at 1/1,000 dilution.

Applications for pan Actin Antibody (A2E1-R)

Application
Recommended Usage

Immunocytochemistry/ Immunofluorescence

1:100

Immunohistochemistry-Paraffin

1:10000

Western Blot

1:1000

Formulation, Preparation, and Storage

Purification

Protein A purified

Formulation

PBS (pH7.4), 0.1% BSA and 40% Glycerol

Preservative

0.05% Sodium Azide

Concentration

1 mg/ml

Shipping

The product is shipped with polar packs. Upon receipt, store it immediately at the temperature recommended below.

Stability & Storage

Store at 4C short term. Aliquot and store at -20C long term. Avoid freeze-thaw cycles.

Background: pan Actin

Actins are highly conserved proteins ubiquitously expressed in all eukaryotic cells. They comprise, along with microtubules, a major component of the cytoskeleton. Actin has been found to be expressed in at least six isomeric forms. It is expressed in heart and skeletal striated muscle tissue, and in certain smooth muscle tissues, regulating contractile potentials for these cells. It is also expressed in the cytoplasm of non-muscle cells, functioning to control cell structure and motility (1). Polymerization of globular actin (G-actin) leads to a structural filament (F-actin), whose formation requires the Arp2/3 complex (2). It has been reported that actin is hyperphosphorylated in primary breast tumors (3). It has also been shown that actin dysfunction leads to certain types of heart failure (4).

Alternate Names

ACTA, actin, alpha 1, skeletal muscle, alpha skeletal muscle, alpha skeletal muscle actin, Alpha-actin-1, ASMA, CFTD, CFTDM, MPFD, NEM1, NEM2, NEM3

Gene Symbol

ACTA1

Additional pan Actin Products

Product Documents for pan Actin Antibody (A2E1-R)

Certificate of Analysis

To download a Certificate of Analysis, please enter a lot number in the search box below.

Product Specific Notices for pan Actin Antibody (A2E1-R)

This product is for research use only and is not approved for use in humans or in clinical diagnosis. Primary Antibodies are guaranteed for 1 year from date of receipt.

Loading...
Loading...
Loading...
Loading...