Skip to main content

PAF1 Antibody - BSA Free

Novus Biologicals, part of Bio-Techne | Catalog # NB600-274

Novus Biologicals, part of Bio-Techne

Key Product Details

Validated by

Independent Antibodies

Species Reactivity

Validated:

Human, Mouse

Cited:

Human

Applications

Validated:

Immunohistochemistry, Immunohistochemistry-Paraffin, Immunoprecipitation, Western Blot (Negative)

Cited:

Immunoprecipitation

Label

Unconjugated

Antibody Source

Polyclonal Rabbit IgG

Format

BSA Free

Concentration

1.0 mg/ml

Product Specifications

Immunogen

A synthetic peptide which maps to a region between residues 475 and 525 of human RNA Polymerase Associated Factor using the numbering given in TrEMBL entry Q9NUU9 (GeneID 54623).

Clonality

Polyclonal

Host

Rabbit

Isotype

IgG

Description

Novus Biologicals Rabbit PAF1 Antibody - BSA Free (NB600-274) is a polyclonal antibody validated for use in IHC and IP. Anti-PAF1 Antibody: Cited in 3 publications. All Novus Biologicals antibodies are covered by our 100% guarantee.

Scientific Data Images for PAF1 Antibody - BSA Free

Immunohistochemistry-Paraffin: PAF1 Antibody [NB600-274]

Immunohistochemistry-Paraffin: PAF1 Antibody [NB600-274]

Immunohistochemistry-Paraffin: PAF1 Antibody [NB600-274] - Section of mouse teratoma. Antibody: Affinity purified rabbit anti- Paf1 used at a dilution of 1:1,000 (1ug/ml). Detection: DAB
Immunohistochemistry-Paraffin: PAF1 Antibody [NB600-274]

Immunohistochemistry-Paraffin: PAF1 Antibody [NB600-274]

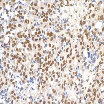
Immunohistochemistry-Paraffin: PAF1 Antibody [NB600-274] - Section of human breast carcinoma. Antibody: Affinity purified rabbit anti- Paf1 used at a dilution of 1:1,000 (1ug/ml). Detection: DAB
Immunoprecipitation: PAF1 Antibody [NB600-274]

Immunoprecipitation: PAF1 Antibody [NB600-274]

Immunoprecipitation: PAF1 Antibody [NB600-274] - Samples: Whole cell lysate (1 mg for IP, 20% of IP loaded) from HeLa cells. Antibodies: Affinity purified rabbit anti-Paf1 antibody NB600-274 Lot 2 used for IP at 3 ug/mg lysate. Paf1 was also immunoprecipitated by rabbit anti-Paf1 Lot 1 of the same product. For blotting immunoprecipitated Paf1, NB600-274 Lot 2 was used at 1 ug/ml. Detection: Chemiluminescence with an exposure time 30 seconds.

Applications for PAF1 Antibody - BSA Free

Application
Recommended Usage

Immunohistochemistry

1:500-1:2000

Immunohistochemistry-Paraffin

1:10-1:500

Immunoprecipitation

3-10 ug/mg lysate
Application Notes
Optimal working dilutions should be determined experimentally by the investigator. Prepare working dilution immediately before use. For better Western Blot antibody see NB 600-273 instead. Epitope retrieval with citrate buffer pH6.0 is recommended for FFPE tissue sections.

Formulation, Preparation, and Storage

Purification

Immunogen affinity purified

Formulation

Tris-Citrate/Phosphate (pH 7.0 - 8.0)

Format

BSA Free

Preservative

0.09% Sodium Azide

Concentration

1.0 mg/ml

Shipping

The product is shipped with polar packs. Upon receipt, store it immediately at the temperature recommended below.

Stability & Storage

Store at 4C. Do not freeze.

Background: PAF1

Paf1 has been shown to form a complex with Rtf1, Ctr9, Cdc73, and Leo1 in yeast that may mediate the interaction between the elongation factor Spt16/Pob3 (FACT in humans) and RNA polymerase II. This mediation suggests that this complex may have an important role in transcription elongation, thereby suggesting that Paf1, Rtf1, Ctr9, Cdc73 and Leo1 may be elongation factors.

Alternate Names

F23149_1, FLJ11123, Paf1, RNA polymerase II associated factor, homolog (S. cerevisiae), Pancreatic differentiation protein 2, PD2hPAF1, RNA polymerase II-associated factor 1 homolog

Entrez Gene IDs

54623 (Human)

Gene Symbol

PAF1

UniProt

Additional PAF1 Products

Product Documents for PAF1 Antibody - BSA Free

Certificate of Analysis

To download a Certificate of Analysis, please enter a lot number in the search box below.

Product Specific Notices for PAF1 Antibody - BSA Free

This product is for research use only and is not approved for use in humans or in clinical diagnosis. Primary Antibodies are guaranteed for 1 year from date of receipt.

Loading...
Loading...
Loading...
Loading...