Skip to main content

PADI4 Antibody (PSH01-33)

Novus Biologicals, part of Bio-Techne | Catalog # NBP3-32707

Recombinant Monoclonal Antibody
Novus Biologicals, part of Bio-Techne
Catalog #
Availability
Size / Price
Qty
Loading...
NBP3-32707

Key Product Details

Species Reactivity

Human, Mouse, Rat

Applications

Immunohistochemistry, Immunohistochemistry-Paraffin, Western Blot

Label

Unconjugated

Antibody Source

Recombinant Monoclonal Rabbit IgG Clone # PSH01-33 expressed in HEK293

Concentration

1 mg/ml

Product Specifications

Immunogen

Recombinant protein within human PADI4 aa 1-663 / 663. (Uniprot: Q9UM07)

Localization

Cytoplasm, Nucleus, Cytoplasmic granule.

Clonality

Monoclonal

Host

Rabbit

Isotype

IgG

Theoretical MW

74 kDa.
Disclaimer note: The observed molecular weight of the protein may vary from the listed predicted molecular weight due to post translational modifications, post translation cleavages, relative charges, and other experimental factors.

Description

Novus Biologicals Rabbit PADI4 Antibody (PSH01-33) (NBP3-32707) is a recombinant monoclonal antibody validated for use in IHC and WB. All Novus Biologicals antibodies are covered by our 100% guarantee.

Scientific Data Images for PADI4 Antibody (PSH01-33)

PADI4 Antibody (PSH01-33)

Western Blot: PADI4 Antibody (PSH01-33) [NBP3-32707]

Western Blot: PADI4 Antibody (PSH01-33) [NBP3-32707] - Western blot analysis of PADI4 on different lysates with Rabbit anti-PADI4 antibody (NBP3-32707) at 1/1,000 dilution.

Lane 1: 293T overexpress PADI4 whole cell lysate
Lane 2: 293T whole cell lysate

Lysates/proteins at 20 ug/Lane.

Predicted band size: 74 kDa
Observed band size: 74 kDa

Exposure time: 1 minute;

4-20% SDS-PAGE gel.

Proteins were transferred to a PVDF membrane and blocked with 5% NFDM/TBST for 1 hour at room temperature. The primary antibody (NBP3-32707) at 1/1,000 dilution was used in 5% NFDM/TBST at room temperature for 2 hours. Goat Anti-Rabbit IgG - HRP Secondary Antibody at 1:100,000 dilution was used for 1 hour at room temperature.
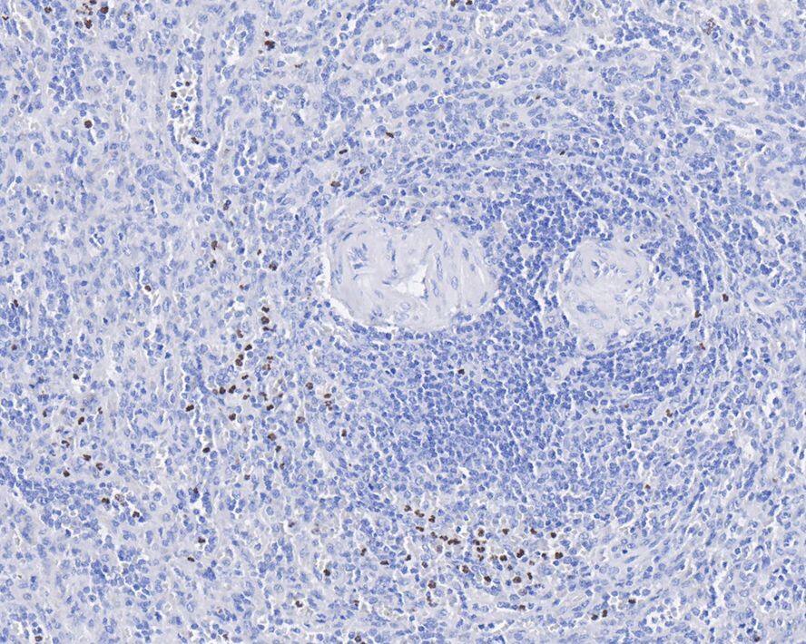
PADI4 Antibody (PSH01-33)

Immunohistochemistry: PADI4 Antibody (PSH01-33) [NBP3-32707]

Immunohistochemistry: PADI4 Antibody (PSH01-33) [NBP3-32707] - Immunohistochemical analysis of paraffin-embedded human spleen tissue with Rabbit anti-PADI4 antibody (NBP3-32707) at 1/1,000 dilution.

The section was pre-treated using heat mediated antigen retrieval with sodium citrate buffer (pH 6.0) for 2 minutes. The tissues were blocked in 1% BSA for 20 minutes at room temperature, washed with ddH2O and PBS, and then probed with the primary antibody (NBP3-32707) at 1/1,000 dilution for 1 hour at room temperature. The detection was performed using an HRP conjugated compact polymer system. DAB was used as the chromogen. Tissues were counterstained with hematoxylin and mounted with DPX.

Applications for PADI4 Antibody (PSH01-33)

Application
Recommended Usage

Immunohistochemistry-Paraffin

1:200-1:1000

Western Blot

1:1000

Formulation, Preparation, and Storage

Purification

Protein A purified

Formulation

PBS (pH7.4), 0.1% BSA and 40% Glycerol

Preservative

0.05% Sodium Azide

Concentration

1 mg/ml

Shipping

The product is shipped with polar packs. Upon receipt, store it immediately at the temperature recommended below.

Stability & Storage

Store at 4C short term. Aliquot and store at -20C long term. Avoid freeze-thaw cycles.

Background: PADI4

In vivo expression of PADI4 correlated with the appearance of citrulline in histones. We have shown that PADI4 converts arginines in the histone H3 tail to citrulline, that PADI4 blocks transcriptional activation and is recruited to the endogenous promotor. PADI4 represents a novel class of histone modifying enzymes probably linked to eostrogen regulated transcription.

Long Name

Peptidyl Arginine Deiminase type IV

Alternate Names

HL-60 PAD, PAD, PAD4, PDI4

Gene Symbol

PADI4

Additional PADI4 Products

Product Documents for PADI4 Antibody (PSH01-33)

Certificate of Analysis

To download a Certificate of Analysis, please enter a lot number in the search box below.

Product Specific Notices for PADI4 Antibody (PSH01-33)

This product is for research use only and is not approved for use in humans or in clinical diagnosis. Primary Antibodies are guaranteed for 1 year from date of receipt.

Loading...
Loading...
Loading...
Loading...