Skip to main content

PADI4 Antibody (OTI5C10)

Novus Biologicals, part of Bio-Techne | Catalog # NBP2-46310

Novus Biologicals, part of Bio-Techne
Catalog #
Availability
Size / Price
Qty
Loading...
NBP2-46310

Key Product Details

Species Reactivity

Human

Applications

Immunohistochemistry, Immunohistochemistry-Paraffin, Western Blot

Label

Unconjugated

Antibody Source

Monoclonal Mouse IgG1 Clone # OTI5C10

Concentration

1 mg/ml

Product Specifications

Immunogen

Human recombinant protein fragment correspongding to amino acids 299-588 of human PADI4(NP_036519) produced in E.coli.

Clonality

Monoclonal

Host

Mouse

Isotype

IgG1

Theoretical MW

73.9 kDa.
Disclaimer note: The observed molecular weight of the protein may vary from the listed predicted molecular weight due to post translational modifications, post translation cleavages, relative charges, and other experimental factors.

Description

Novus Biologicals Mouse PADI4 Antibody (OTI5C10) (NBP2-46310) is a monoclonal antibody validated for use in IHC and WB. All Novus Biologicals antibodies are covered by our 100% guarantee.

Scientific Data Images for PADI4 Antibody (OTI5C10)

Western Blot: PADI4 Antibody (OTI5C10) [NBP2-46310]

Western Blot: PADI4 Antibody (OTI5C10) [NBP2-46310]

Western Blot: PADI4 Antibody (OTI5C10) [NBP2-46310] - Analysis of HEK293T cells were transfected with the pCMV6-ENTRY control (Left lane) or pCMV6-ENTRY PADI4.
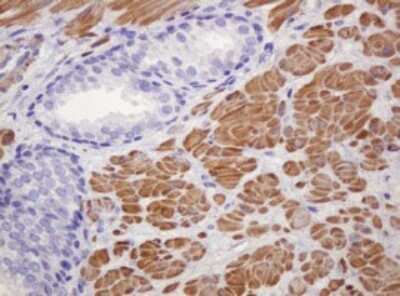
Immunohistochemistry-Paraffin: PADI4 Antibody (OTI5C10) [NBP2-46310]

Immunohistochemistry-Paraffin: PADI4 Antibody (OTI5C10) [NBP2-46310]

Immunohistochemistry-Paraffin: PADI4 Antibody (OTI5C10) [NBP2-46310] - Analysis of Human breast tissue. (Heat-induced epitope retrieval by 10mM citric buffer, pH6.0, 120C for 3min)
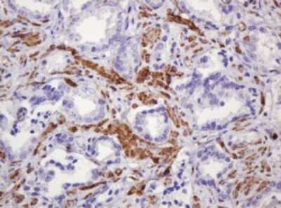
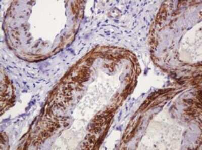
Immunohistochemistry-Paraffin: PADI4 Antibody (OTI5C10) [NBP2-46310]

Immunohistochemistry-Paraffin: PADI4 Antibody (OTI5C10) [NBP2-46310]

Immunohistochemistry-Paraffin: PADI4 Antibody (OTI5C10) [NBP2-46310] - Analysis of Human bladder tissue. (Heat-induced epitope retrieval by 10mM citric buffer, pH6.0, 120C for 3min)

Applications for PADI4 Antibody (OTI5C10)

Application
Recommended Usage

Immunohistochemistry

1:150

Immunohistochemistry-Paraffin

1:150

Western Blot

1:2000

Formulation, Preparation, and Storage

Purification

Immunogen affinity purified

Formulation

PBS (pH 7.3), 1.0% BSA and 50% Glycerol

Preservative

0.02% Sodium Azide

Concentration

1 mg/ml

Shipping

The product is shipped with polar packs. Upon receipt, store it immediately at the temperature recommended below.

Stability & Storage

Store at -20C. Avoid freeze-thaw cycles.

Background: PADI4

In vivo expression of PADI4 correlated with the appearance of citrulline in histones. We have shown that PADI4 converts arginines in the histone H3 tail to citrulline, that PADI4 blocks transcriptional activation and is recruited to the endogenous promotor. PADI4 represents a novel class of histone modifying enzymes probably linked to eostrogen regulated transcription.

Long Name

Peptidyl Arginine Deiminase type IV

Alternate Names

HL-60 PAD, PAD, PAD4, PDI4

Gene Symbol

PADI4

Additional PADI4 Products

Product Documents for PADI4 Antibody (OTI5C10)

Certificate of Analysis

To download a Certificate of Analysis, please enter a lot number in the search box below.

Product Specific Notices for PADI4 Antibody (OTI5C10)

This product is for research use only and is not approved for use in humans or in clinical diagnosis. Primary Antibodies are guaranteed for 1 year from date of receipt.

Loading...
Loading...
Loading...
Loading...