Skip to main content

PADI4 Antibody (OTI4H5)

Novus Biologicals, part of Bio-Techne | Catalog # NBP2-02082

Novus Biologicals, part of Bio-Techne
Catalog #
Availability
Size / Price
Qty
Loading...
NBP2-02082

Key Product Details

Species Reactivity

Human

Applications

Immunohistochemistry, Immunohistochemistry-Paraffin, Western Blot, Flow Cytometry, Immunocytochemistry/ Immunofluorescence

Label

Unconjugated

Antibody Source

Monoclonal Mouse IgG2A Clone # OTI4H5

Concentration

1 mg/ml

Product Specifications

Immunogen

Full length human recombinant protein of human PADI4(NP_036519) produced in HEK293T cell.

Clonality

Monoclonal

Host

Mouse

Isotype

IgG2A

Theoretical MW

73.9 kDa.
Disclaimer note: The observed molecular weight of the protein may vary from the listed predicted molecular weight due to post translational modifications, post translation cleavages, relative charges, and other experimental factors.

Description

Novus Biologicals Mouse PADI4 Antibody (OTI4H5) (NBP2-02082) is a monoclonal antibody validated for use in IHC, WB, Flow and ICC/IF. Anti-PADI4 Antibody: Cited in 1 publication. All Novus Biologicals antibodies are covered by our 100% guarantee.

Scientific Data Images for PADI4 Antibody (OTI4H5)

Western Blot: PADI4 Antibody (OTI4H5) [NBP2-02082]

Western Blot: PADI4 Antibody (OTI4H5) [NBP2-02082]

Western Blot: PADI4 Antibody (4H5) [NBP2-02082] - HEK293T cells were transfected with the pCMV6-ENTRY control (Left lane) or pCMV6-ENTRY PAD4 (Right lane) cDNA for 48 hrs and lysed. Equivalent amounts of cell lysates (5 ug per lane) were separated by SDS-PAGE and immunoblotted with anti-PAD4.
Immunocytochemistry/ Immunofluorescence: PADI4 Antibody (OTI4H5) [NBP2-02082]

Immunocytochemistry/ Immunofluorescence: PADI4 Antibody (OTI4H5) [NBP2-02082]

Immunocytochemistry/Immunofluorescence: PADI4 Antibody (OTI4H5) [NBP2-02082] - Staining of COS7 cells transiently transfected by pCMV6-ENTRY PAD4.
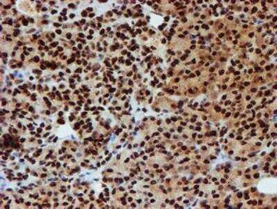
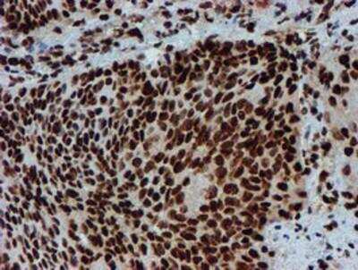
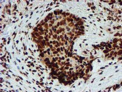
Immunohistochemistry-Paraffin: PADI4 Antibody (OTI4H5) [NBP2-02082]

Immunohistochemistry-Paraffin: PADI4 Antibody (OTI4H5) [NBP2-02082]

Immunohistochemistry-Paraffin: PADI4 Antibody (OTI4H5) [NBP2-02082] - Staining of paraffin-embedded Human lymphoma tissue using anti-PADI4 mouse monoclonal antibody. Heat-induced epitope retrieval by 10mM citric buffer, pH6.0, 100C for 10min.

Applications for PADI4 Antibody (OTI4H5)

Application
Recommended Usage

Flow Cytometry

1:100

Immunocytochemistry/ Immunofluorescence

1:100

Immunohistochemistry

1:150

Immunohistochemistry-Paraffin

1:150

Western Blot

1:2000

Formulation, Preparation, and Storage

Purification

Immunogen affinity purified

Formulation

PBS (pH 7.3), 1.0% BSA and 50% Glycerol

Preservative

0.02% Sodium Azide

Concentration

1 mg/ml

Shipping

The product is shipped with polar packs. Upon receipt, store it immediately at the temperature recommended below.

Stability & Storage

Store at -20C. Avoid freeze-thaw cycles.

Background: PADI4

This gene is a member of a gene family which encodes enzymes responsible for the conversion of arginine residues to citrulline residues. This gene may play a role in granulocyte and macrophage development leading to inflammation and immune response. [provided by RefSeq].

Long Name

Peptidyl Arginine Deiminase type IV

Alternate Names

HL-60 PAD, PAD, PAD4, PDI4

Entrez Gene IDs

23569 (Human)

Gene Symbol

PADI4

Additional PADI4 Products

Product Documents for PADI4 Antibody (OTI4H5)

Certificate of Analysis

To download a Certificate of Analysis, please enter a lot number in the search box below.

Product Specific Notices for PADI4 Antibody (OTI4H5)

This product is for research use only and is not approved for use in humans or in clinical diagnosis. Primary Antibodies are guaranteed for 1 year from date of receipt.

Loading...
Loading...
Loading...
Loading...
Loading...