Skip to main content

PACT Antibody (PSH02-14)

Novus Biologicals, part of Bio-Techne | Catalog # NBP3-32705

Recombinant Monoclonal Antibody
Novus Biologicals, part of Bio-Techne
Catalog #
Availability
Size / Price
Qty
Loading...
NBP3-32705

Key Product Details

Species Reactivity

Human, Mouse, Rat

Applications

Immunohistochemistry, Immunohistochemistry-Paraffin, Western Blot, Flow Cytometry, Immunocytochemistry/ Immunofluorescence

Label

Unconjugated

Antibody Source

Recombinant Monoclonal Rabbit IgG Clone # PSH02-14 expressed in HEK293

Concentration

1 mg/ml

Product Specifications

Immunogen

Recombinant protein within human PACT aa 1-313 (O75569). (Uniprot: O75569)

Localization

Cytoplasm, perinuclear region Cytoplasm

Clonality

Monoclonal

Host

Rabbit

Isotype

IgG

Theoretical MW

34 kDa.
Disclaimer note: The observed molecular weight of the protein may vary from the listed predicted molecular weight due to post translational modifications, post translation cleavages, relative charges, and other experimental factors.

Description

Novus Biologicals Rabbit PACT Antibody (PSH02-14) (NBP3-32705) is a recombinant monoclonal antibody validated for use in IHC, WB, Flow and ICC/IF. All Novus Biologicals antibodies are covered by our 100% guarantee.

Scientific Data Images for PACT Antibody (PSH02-14)

PACT Antibody (PSH02-14)

Immunohistochemistry: PACT Antibody (PSH02-14) [NBP3-32705]

Immunohistochemistry: PACT Antibody (PSH02-14) [NBP3-32705] - Immunofluorescence analysis of paraffin-embedded rat brain tissue labeling PACT with Rabbit anti-PACT antibody (NBP3-32705) at 1/200 dilution.

The section was pre-treated using heat mediated antigen retrieval with Tris-EDTA buffer (pH 9.0) for 20 minutes. The tissues were blocked in 10% negative goat serum for 1 hour at room temperature, washed with PBS, and then probed with the primary antibody (NBP3-32705, green) at 1/200 dilution overnight at 4 ℃, washed with PBS. Goat Anti-Rabbit IgG H&L (iFluor™ 488) was used as the secondary antibody at 1/1,000 dilution. Nuclei were counterstained with DAPI (blue).
PACT Antibody (PSH02-14)

Immunohistochemistry: PACT Antibody (PSH02-14) [NBP3-32705]

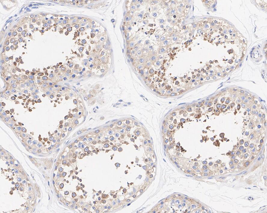
Immunohistochemistry: PACT Antibody (PSH02-14) [NBP3-32705] - Immunohistochemical analysis of paraffin-embedded human testis tissue with Rabbit anti-PACT antibody (NBP3-32705) at 1/1,000 dilution.

The section was pre-treated using heat mediated antigen retrieval with Tris-EDTA buffer (pH 9.0) for 20 minutes. The tissues were blocked in 1% BSA for 20 minutes at room temperature, washed with ddH2O and PBS, and then probed with the primary antibody (NBP3-32705) at 1/1,000 dilution for 1 hour at room temperature. The detection was performed using an HRP conjugated compact polymer system. DAB was used as the chromogen. Tissues were counterstained with hematoxylin and mounted with DPX.
PACT Antibody (PSH02-14)

Immunocytochemistry/ Immunofluorescence: PACT Antibody (PSH02-14) [NBP3-32705]

Immunocytochemistry/ Immunofluorescence: PACT Antibody (PSH02-14) [NBP3-32705] - Immunocytochemistry analysis of 293T cells labeling PACT with Rabbit anti-PACT antibody (NBP3-32705) at 1/100 dilution.

Cells were fixed in 4% paraformaldehyde for 20 minutes at room temperature, permeabilized with 0.1% Triton X-100 in PBS for 5 minutes at room temperature, then blocked with 1% BSA in 10% negative goat serum for 1 hour at room temperature. Cells were then incubated with Rabbit anti-PACT antibody (NBP3-32705) at 1/100 dilution in 1% BSA in PBST overnight at 4 ℃. Goat Anti-Rabbit IgG H&L (iFluor™ 488) was used as the secondary antibody at 1/1,000 dilution. PBS instead of the primary antibody was used as the secondary antibody only control. Nuclear DNA was labelled in blue with DAPI.

Beta tubulin (red) was stained at 1/100 dilution overnight at +4℃. Goat Anti-Mouse IgG H&L (iFluor™ 594) was used as the secondary antibody at 1/1,000 dilution.

Applications for PACT Antibody (PSH02-14)

Application
Recommended Usage

Flow Cytometry

1:1000

Immunocytochemistry/ Immunofluorescence

1:100

Immunohistochemistry-Paraffin

1:1000-1:5000

Western Blot

1:1000-1:2000

Formulation, Preparation, and Storage

Purification

Protein A purified

Formulation

PBS (pH7.4), 0.1% BSA and 40% Glycerol

Preservative

0.05% Sodium Azide

Concentration

1 mg/ml

Shipping

The product is shipped with polar packs. Upon receipt, store it immediately at the temperature recommended below.

Stability & Storage

Store at 4C short term. Aliquot and store at -20C long term. Avoid freeze-thaw cycles.

Background: PACT

PACT encodes a protein kinase activated by double-stranded RNA which mediates the effects of interferon in response to viral infection. Mutations in this gene have been associated with dystonia. Alternative splicing results in multiple transcript variants. [provided by RefSeq]

Alternate Names

DYT16, HSD14, PKR-Associating Protein X, PRKRA, RAX

Gene Symbol

PRKRA

Additional PACT Products

Product Documents for PACT Antibody (PSH02-14)

Certificate of Analysis

To download a Certificate of Analysis, please enter a lot number in the search box below.

Product Specific Notices for PACT Antibody (PSH02-14)

This product is for research use only and is not approved for use in humans or in clinical diagnosis. Primary Antibodies are guaranteed for 1 year from date of receipt.

Loading...
Loading...
Loading...
Loading...
Loading...