Skip to main content

PAC2 Antibody (OTI1E8)

Novus Biologicals, part of Bio-Techne | Catalog # NBP2-45438

Novus Biologicals, part of Bio-Techne
Catalog #
Availability
Size / Price
Qty
Loading...
NBP2-45438

Key Product Details

Species Reactivity

Human, Mouse, Rat

Applications

Immunohistochemistry, Immunohistochemistry-Paraffin, Western Blot

Label

Unconjugated

Antibody Source

Monoclonal Mouse IgG1 Clone # OTI1E8

Concentration

1 mg/ml

Product Specifications

Immunogen

Full length human recombinant protein of human PSMG2 (NP_064617) produced in E.coli.

Reactivity Notes

Please note that this antibody is reactive to Mouse and derived from the same host, Mouse. Mouse-On-Mouse blocking reagent may be needed for IHC and ICC experiments to reduce high background signal. You can find these reagents under catalog numbers PK-2200-NB and MP-2400-NB. Please contact Technical Support if you have any questions.

Clonality

Monoclonal

Host

Mouse

Isotype

IgG1

Theoretical MW

29.2 kDa.
Disclaimer note: The observed molecular weight of the protein may vary from the listed predicted molecular weight due to post translational modifications, post translation cleavages, relative charges, and other experimental factors.

Description

Novus Biologicals Mouse PAC2 Antibody (OTI1E8) (NBP2-45438) is a monoclonal antibody validated for use in IHC and WB. All Novus Biologicals antibodies are covered by our 100% guarantee.

Scientific Data Images for PAC2 Antibody (OTI1E8)

Western Blot: PAC2 Antibody (OTI1E8) [NBP2-45438]

Western Blot: PAC2 Antibody (OTI1E8) [NBP2-45438]

Western Blot: PAC2 Antibody (1E8) [NBP2-45438] - Analysis of HEK293T cells were transfected with the pCMV6-ENTRY control (Left lane) or pCMV6-ENTRY PAC2.
Immunohistochemistry: PAC2 Antibody (OTI1E8) [NBP2-45438]

Immunohistochemistry: PAC2 Antibody (OTI1E8) [NBP2-45438]

Immunohistochemistry: PAC2 Antibody (1E8) [NBP2-45438] - Analysis of Human lymph node tissue. (Heat-induced epitope retrieval by 1mM EDTA in 10mM Tris buffer (pH8.5) at 120C for 3 min)
Immunohistochemistry: PAC2 Antibody (OTI1E8) [NBP2-45438]

Immunohistochemistry: PAC2 Antibody (OTI1E8) [NBP2-45438]

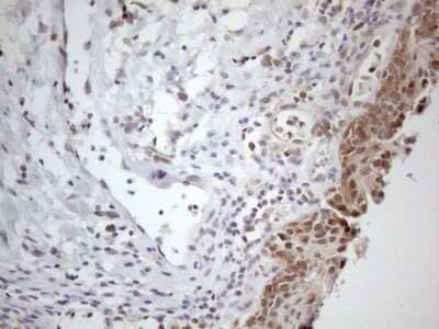
Immunohistochemistry: PAC2 Antibody (1E8) [NBP2-45438] - Analysis of Human colon tissue. (Heat-induced epitope retrieval by 1mM EDTA in 10mM Tris buffer (pH8.5) at 120C for 3 min)

Applications for PAC2 Antibody (OTI1E8)

Application
Recommended Usage

Immunohistochemistry

1:150

Western Blot

1:2000

Formulation, Preparation, and Storage

Purification

Immunogen affinity purified

Formulation

PBS (pH 7.3), 1.0% BSA and 50% Glycerol

Preservative

0.02% Sodium Azide

Concentration

1 mg/ml

Shipping

The product is shipped with polar packs. Upon receipt, store it immediately at the temperature recommended below.

Stability & Storage

Store at -20C. Avoid freeze-thaw cycles.

Background: PAC2

Chaperone protein which promotes assembly of the 20S proteasome as part of a heterodimer with PSMG1. The PSMG1-PSMG2 heterodimer binds to the PSMA5 and PSMA7 proteasome subunits, promotes assembly of the proteasome alpha subunits into the heteroheptameric alpha ring and prevents alpha ring dimerization

Alternate Names

CLAST3HSPC260, HCCA3PAC-2, hepatocellular carcinoma susceptibility protein, Hepatocellular carcinoma-susceptibility protein 3, HsT1707, likely ortholog of mouse CD40 ligand-activated specific transcript 3 (Clast3), MDS003, MGC15092, PAC2HDCMC29P, proteasome (prosome, macropain) assembly chaperone 2, proteasome assembling chaperone 2, proteasome assembly chaperone 2, TNFSF5IP1CD40 ligand-activated specific transcript 3, Tumor necrosis factor superfamily member 5-induced protein 1, tumor necrosis factor superfamily, member 5-induced protein 1, x 003 protein

Gene Symbol

PSMG2

Additional PAC2 Products

Product Documents for PAC2 Antibody (OTI1E8)

Certificate of Analysis

To download a Certificate of Analysis, please enter a lot number in the search box below.

Product Specific Notices for PAC2 Antibody (OTI1E8)

This product is for research use only and is not approved for use in humans or in clinical diagnosis. Primary Antibodies are guaranteed for 1 year from date of receipt.

Loading...
Loading...
Loading...
Loading...