Skip to main content

PABPN1 Antibody (7V4X8)

Novus Biologicals, part of Bio-Techne | Catalog # NBP3-15539

Recombinant Monoclonal Antibody
Novus Biologicals, part of Bio-Techne
Catalog #
Availability
Size / Price
Qty
Loading...
NBP3-15539-20ul
NBP3-15539-100ul

Key Product Details

Species Reactivity

Human, Mouse, Rat

Applications

Immunohistochemistry, Immunohistochemistry-Paraffin, Western Blot, Immunocytochemistry/ Immunofluorescence

Label

Unconjugated

Antibody Source

Recombinant Monoclonal Rabbit IgG Clone # 7V4X8 expressed in HEK293

Concentration

Please see the vial label for concentration. If unlisted please contact technical services.

Product Specifications

Immunogen

A synthetic peptide corresponding to a sequence within amino acids 1-100 of human PABPN1 (Q86U42). MAAAAAAAAAAGAAGGRGSGPGRRRHLVPGAGGEAGEGAPGGAGDYGNGLESEELEPEELLLEPEPEPEPEEEPPRPRAPPGAPGPGPGSGAPGSQEEEE

Clonality

Monoclonal

Host

Rabbit

Isotype

IgG

Description

Novus Biologicals Rabbit PABPN1 Antibody (7V4X8) (NBP3-15539) is a recombinant monoclonal antibody validated for use in IHC, WB and ICC/IF. All Novus Biologicals antibodies are covered by our 100% guarantee.

Scientific Data Images for PABPN1 Antibody (7V4X8)

Western Blot: PABPN1 Antibody (7V4X8) [NBP3-15539]

Western Blot: PABPN1 Antibody (7V4X8) [NBP3-15539]

Western Blot: PABPN1 Antibody (7V4X8) [NBP3-15539] - Western blot analysis of extracts of various cell lines, using PABPN1 Rabbit mAb (NBP3-15539) at 1:1000 dilution. Secondary antibody: HRP Goat Anti-Rabbit IgG (H+L) at 1:10000 dilution. Lysates/proteins: 25ug per lane. Blocking buffer: 3% nonfat dry milk in TBST. Detection: ECL Basic Kit. Exposure time: 10s.
PABPN1 Antibody (7V4X8)

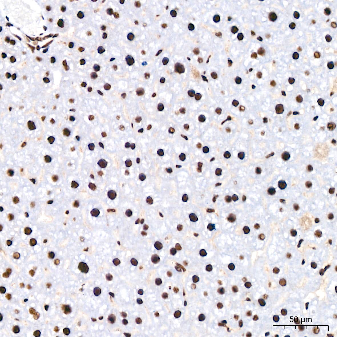
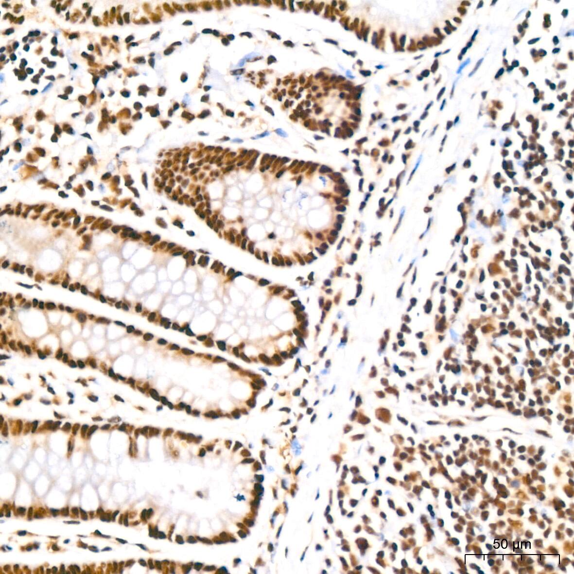
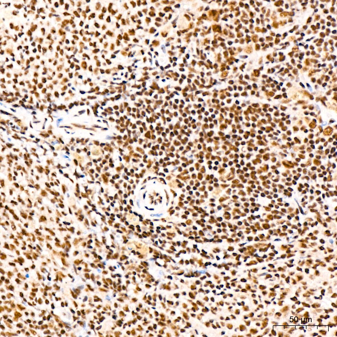
Immunohistochemistry: PABPN1 Antibody (7V4X8) [PABPN1] -

Immunohistochemistry: PABPN1 Antibody (7V4X8) [PABPN1] - Immunohistochemistry analysis of paraffin-embedded Rat colon tissue using PABPN1 Rabbit mAb at a dilution of 1:200 (40x lens). High pressure antigen retrieval performed with 0.01M Citrate Bufferr (pH 6.0) prior to IHC staining.
PABPN1 Antibody (7V4X8)

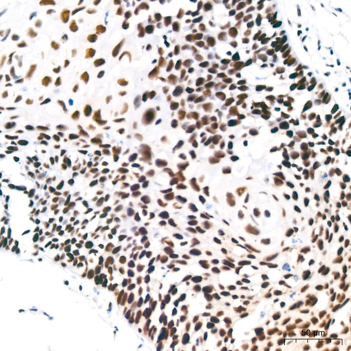
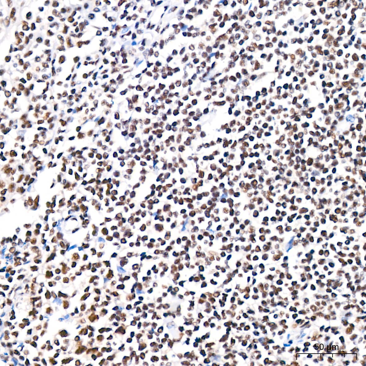
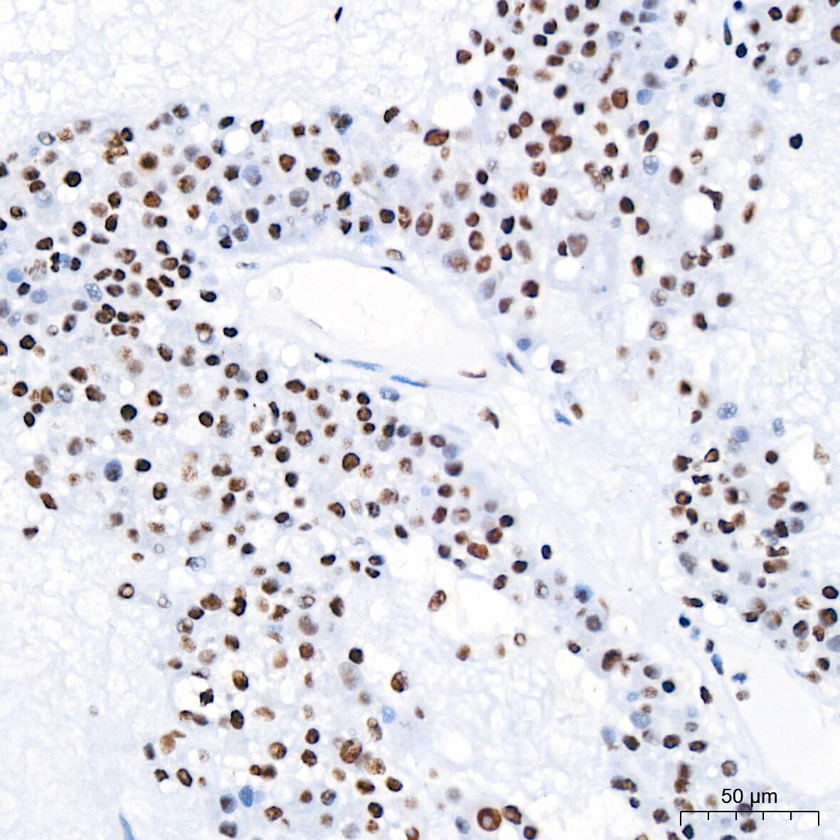
Immunohistochemistry: PABPN1 Antibody (7V4X8) [PABPN1] -

Immunohistochemistry: PABPN1 Antibody (7V4X8) [PABPN1] - Immunohistochemistry analysis of paraffin-embedded Rat lung tissue using PABPN1 Rabbit mAb at a dilution of 1:200 (40x lens). High pressure antigen retrieval performed with 0.01M Citrate Bufferr (pH 6.0) prior to IHC staining.

Applications for PABPN1 Antibody (7V4X8)

Application
Recommended Usage

Immunocytochemistry/ Immunofluorescence

1:50 - 1:200

Immunohistochemistry

1:50 - 1:200

Western Blot

1:500 - 1:1000

Formulation, Preparation, and Storage

Purification

Affinity purified

Formulation

PBS (pH 7.3), 50% glycerol, 0.05% BSA

Preservative

0.02% Sodium Azide

Concentration

Please see the vial label for concentration. If unlisted please contact technical services.

Shipping

The product is shipped with polar packs. Upon receipt, store it immediately at the temperature recommended below.

Stability & Storage

Store at -20C. Avoid freeze-thaw cycles.

Background: PABPN1

The PABPN1 gene encodes an abundant nuclear protein that binds with high affinity to nascent poly(A) tails. The protein is required for progressive and efficient polymerization of poly(A) tails on the 3' ends of eukaryotic genes and controls the size of the pol

Alternate Names

Nuclear poly(A)-binding protein 1, OPMD, PAB2poly(A) binding protein II, PABII, PABP-2, PABP2polyadenylate-binding protein 2, poly(A) binding protein 2, poly(A) binding protein, nuclear 1, Poly(A)-binding protein 2, Poly(A)-binding protein II, poly(A)-binding protein, nuclear 1, Polyadenylate-binding nuclear protein 1

Gene Symbol

PABPN1

Additional PABPN1 Products

Product Documents for PABPN1 Antibody (7V4X8)

Certificate of Analysis

To download a Certificate of Analysis, please enter a lot number in the search box below.

Product Specific Notices for PABPN1 Antibody (7V4X8)

This product is for research use only and is not approved for use in humans or in clinical diagnosis. Primary Antibodies are guaranteed for 1 year from date of receipt.

Loading...
Loading...
Loading...
Loading...