Skip to main content

PABPC5 Antibody - BSA Free

Novus Biologicals, part of Bio-Techne | Catalog # NBP1-87356

Novus Biologicals, part of Bio-Techne
Catalog #
Availability
Size / Price
Qty
Loading...
NBP1-87356

Key Product Details

Species Reactivity

Validated:

Human

Predicted:

Mouse (92%), Rat (93%). Backed by our 100% Guarantee.

Applications

Immunohistochemistry, Immunohistochemistry-Paraffin, Western Blot

Label

Unconjugated

Antibody Source

Polyclonal Rabbit IgG

Format

BSA Free

Concentration

Concentrations vary lot to lot. See vial label for concentration. If unlisted please contact technical services.

Product Specifications

Immunogen

This antibody was developed against Recombinant Protein corresponding to amino acids: AEVRTRDRATFTNVFVKNIGDDIDDEKLKELFCEYGPTESVKVIRDASGKSKGFGFVRYETHEAAQKAVLDLHGKSIDGKVLYVGRAQKKIERLAELRRRFERLRL

Clonality

Polyclonal

Host

Rabbit

Isotype

IgG

Description

Novus Biologicals Rabbit PABPC5 Antibody - BSA Free (NBP1-87356) is a polyclonal antibody validated for use in IHC and WB. All Novus Biologicals antibodies are covered by our 100% guarantee.

Scientific Data Images for PABPC5 Antibody - BSA Free

Western Blot: PABPC5 Antibody [NBP1-87356]

Western Blot: PABPC5 Antibody [NBP1-87356]

Western Blot: PABPC5 Antibody [NBP1-87356] - Analysis in control (vector only transfected HEK293T lysate) and PABPC5 over-expression lysate (Co-expressed with a C-terminal myc-DDK tag (3.1 kDa) in mammalian HEK293T cells).
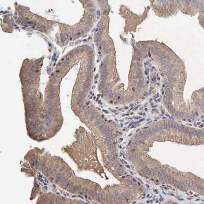
Immunohistochemistry-Paraffin: PABPC5 Antibody [NBP1-87356]

Immunohistochemistry-Paraffin: PABPC5 Antibody [NBP1-87356]

Immunohistochemistry-Paraffin: PABPC5 Antibody [NBP1-87356] - Staining of human gall bladder shows moderate cytoplasmic positivity in glandular cells.

Applications for PABPC5 Antibody - BSA Free

Application
Recommended Usage

Immunohistochemistry

1:200 - 1:500

Immunohistochemistry-Paraffin

1:200 - 1:500

Western Blot

0.04-0.4 ug/ml
Application Notes
For IHC-Paraffin, HIER pH 6 retrieval is recommended.

Formulation, Preparation, and Storage

Purification

Immunogen affinity purified

Formulation

PBS (pH 7.2) and 40% Glycerol

Format

BSA Free

Preservative

0.02% Sodium Azide

Concentration

Concentrations vary lot to lot. See vial label for concentration. If unlisted please contact technical services.

Shipping

The product is shipped with polar packs. Upon receipt, store it immediately at the temperature recommended below.

Stability & Storage

Store at 4C short term. Aliquot and store at -20C long term. Avoid freeze-thaw cycles.

Background: PABPC5

PABPC5 binds the poly(A) tail of mRNA. May be involved in cytoplasmic regulatory processes of mRNA metabolism. Canprobably bind to cytoplasmic RNA sequences other than poly(A) in vivo

Alternate Names

cytoplasmic 5, FLJ51677, PABP-5, poly(A) binding protein, cytoplasmic 5, Poly(A)-binding protein 5

Gene Symbol

PABPC5

Additional PABPC5 Products

Product Documents for PABPC5 Antibody - BSA Free

Certificate of Analysis

To download a Certificate of Analysis, please enter a lot number in the search box below.

Product Specific Notices for PABPC5 Antibody - BSA Free

This product is for research use only and is not approved for use in humans or in clinical diagnosis. Primary Antibodies are guaranteed for 1 year from date of receipt.

Loading...
Loading...
Loading...
Loading...