Skip to main content

p97/VCP Antibody (5H12) - BSA Free

Novus Biologicals, part of Bio-Techne | Catalog # NBP3-26257

Recombinant monoclonal antibody expressed in HEK293F cells
Novus Biologicals, part of Bio-Techne
Catalog #
Availability
Size / Price
Qty
Loading...
NBP3-26257-100ul
NBP3-26257-50ul

Key Product Details

Species Reactivity

Human, Rat

Applications

ELISA, Immunocytochemistry/ Immunofluorescence, Immunohistochemistry, Immunoprecipitation, Western Blot

Label

Unconjugated

Antibody Source

Recombinant Monoclonal Rabbit IgG Clone # 5H12 expressed in HEK293

Format

BSA Free

Concentration

Please see the vial label for concentration. If unlisted please contact technical services.

Product Specifications

Immunogen

A synthesized peptide derived from Human p97/VCP [UniProt P55072]

Clonality

Monoclonal

Host

Rabbit

Isotype

IgG

Description

Novus Biologicals Rabbit p97/VCP Antibody (5H12) - BSA Free (NBP3-26257) is a recombinant monoclonal antibody validated for use in IHC, WB, ELISA, ICC/IF and IP. All Novus Biologicals antibodies are covered by our 100% guarantee.

Scientific Data Images for p97/VCP Antibody (5H12) - BSA Free

p97/VCP Antibody (5H12)

Immunoprecipitation: p97/VCP Antibody (5H12) [NBP3-26257] -

Immunoprecipitation: p97/VCP Antibody (5H12) [NBP3-26257] - Immunoprecipitating p97/VCP in U251 whole cell lysate.
Lane 1: Rabbit control IgG instead of NBP3-26257 in U251 whole cell lysate. For western blotting, a HRP-conjugated Protein G antibody was used as the secondary antibody (1/2000).
Lane 2: NBP3-26257 (2ug) + U251 whole cell lysate (500ug).
Lane 3: U251 whole cell lysate (10ug).
p97/VCP Antibody (5H12)

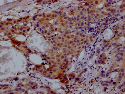
Immunohistochemistry: p97/VCP Antibody (5H12) [NBP3-26257] -

Immunohistochemistry: p97/VCP Antibody (5H12) [NBP3-26257] - Image of p97/VCP Antibody (5H12) diluted at 1:100 and staining in paraffin-embedded human breast cancer performed. After dewaxing and hydration, antigen retrieval was mediated by high pressure in a citrate buffer (pH 6.0). Section was blocked with 10% normal goat serum 30min at RT. Then primary antibody (1% BSA) was incubated at 4C overnight. The primary is detected by a Goat anti-rabbit IgG polymer labeled by HRP and visualized using 0.05% DAB.
p97/VCP Antibody (5H12)

Immunohistochemistry: p97/VCP Antibody (5H12) [NBP3-26257] -

Immunohistochemistry: p97/VCP Antibody (5H12) [NBP3-26257] - Image of p97/VCP Antibody (5H12) diluted at 1:100 and staining in paraffin-embedded human breast cancer performed. After dewaxing and hydration, antigen retrieval was mediated by high pressure in a citrate buffer (pH 6.0). Section was blocked with 10% normal goat serum 30min at RT. Then primary antibody (1% BSA) was incubated at 4C overnight. The primary is detected by a Goat anti-rabbit IgG polymer labeled by HRP and visualized using 0.05% DAB.

Applications for p97/VCP Antibody (5H12) - BSA Free

Application
Recommended Usage

Immunocytochemistry/ Immunofluorescence

1:20-1:200

Immunohistochemistry

1:50-1:200

Immunoprecipitation

1:200-1:1000

Western Blot

1:500-1:5000

Formulation, Preparation, and Storage

Purification

Affinity purified

Formulation

PBS, pH 7.4, 150mM NaCl, and 50% glycerol

Format

BSA Free

Preservative

0.02% Sodium Azide

Concentration

Please see the vial label for concentration. If unlisted please contact technical services.

Shipping

The product is shipped with polar packs. Upon receipt, store it immediately at the temperature recommended below.

Stability & Storage

Store at -20 to -70C. Avoid freeze-thaw cycles.

Background: VCP

Valosin-containing protein (VCP or p97) belongs to the AAA (ATPase associated activities) family and acts as a molecular chaperone to a wide variety of cellular activities. Some of these activities include the alteration of both nuclear and mitotic golgi membranes, ubiquitin-proteasome dependent protein degradation, regulation of the NF-kappa b pathway, and extraction of membrane proteins. VCP has been shown to contain a substrate binding domain (N) and two conserved ATPase domains (D1 and D2). The three dimensional structure of VCP resembles that of a cylinder with the D1 and D2 stacked upon one another in a homo-hexameric ring formation. VCP is involved in the formation of neuronal inclusion bodies in neurodegenerative disease such as Parkinson's Disease.

Long Name

Valosin-containing Protein

Alternate Names

IBMPFD, TERA

Gene Symbol

VCP

Additional VCP Products

Product Documents for p97/VCP Antibody (5H12) - BSA Free

Certificate of Analysis

To download a Certificate of Analysis, please enter a lot number in the search box below.

Product Specific Notices for p97/VCP Antibody (5H12) - BSA Free

This product is for research use only and is not approved for use in humans or in clinical diagnosis. Primary Antibodies are guaranteed for 1 year from date of receipt.

Loading...
Loading...
Loading...
Loading...