Skip to main content

p66 beta Antibody

Novus Biologicals, part of Bio-Techne | Catalog # NB100-60646

Novus Biologicals, part of Bio-Techne
Catalog #
Availability
Size / Price
Qty
Loading...
NB100-60646

Key Product Details

Validated by

Independent Antibodies, Biological Validation

Species Reactivity

Human, Mouse

Applications

Validated:

Immunohistochemistry, Immunohistochemistry-Paraffin, Western Blot, Immunoprecipitation, Chromatin Immunoprecipitation (ChIP)

Cited:

Western Blot, Chemotaxis

Label

Unconjugated

Antibody Source

Polyclonal Rabbit IgG

Concentration

0.2 mg/ml

Product Specifications

Immunogen

The immunogen recognized by this antibody maps to a region between residue 50 and 100 of human transcription repressor p66 beta component of the MeCP1 complex (GATA zinc finger domain containing 2B ) using the numbering given in entry NP_065750.1 (GeneID

Clonality

Polyclonal

Host

Rabbit

Isotype

IgG

Description

Novus Biologicals Rabbit p66 beta Antibody (NB100-60646) is a polyclonal antibody validated for use in IHC, WB, IP and ChIP. Anti-p66 beta Antibody: Cited in 2 publications. All Novus Biologicals antibodies are covered by our 100% guarantee.

Scientific Data Images for p66 beta Antibody

Western Blot: p66 beta Antibody [NB100-60646]

Western Blot: p66 beta Antibody [NB100-60646]

Western Blot: p66 beta Antibody [NB100-60646] - Detection of Human p66beta/GATAD2B on HeLa whole cell lysate using NB100-60646. p66beta/GATAD2B was also immunoprecipitated by rabbit anti-p66beta/GATAD2B antibodies NB100-60645 and NB100-60647.
Immunohistochemistry: p66 beta Antibody [NB100-60646]

Immunohistochemistry: p66 beta Antibody [NB100-60646]

Immunohistochemistry: p66 beta Antibody [NB100-60646] - Sample: FFPE section of human breast carcinoma (left) and mouse teratoma (right). Antibody: Affinity purified rabbit anti- p66beta/GATAD2B used at a dilution of 1:200 (1ug/ml). Detection: DAB
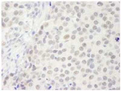
Immunohistochemistry-Paraffin: p66 beta Antibody [NB100-60646]

Immunohistochemistry-Paraffin: p66 beta Antibody [NB100-60646]

Immunohistochemistry-Paraffin: p66 beta Antibody [NB100-60646] - Human small cell lung cancer. Antibody: Affinity purified rabbit antip66beta/ GATAD2B used at a dilution of 1:250.

Applications for p66 beta Antibody

Application
Recommended Usage

Immunohistochemistry

1:10-1:500

Immunohistochemistry-Paraffin

1:100-1:500

Immunoprecipitation

2-5 ug/mg lysate

Western Blot

1:2000-1:10000
Application Notes
Use in ChIP reported in scientific literature (PMID:34260936). Epitope retrieval with citrate buffer pH6.0 is recommended for FFPE tissue sections.

Formulation, Preparation, and Storage

Purification

Immunogen affinity purified

Formulation

TBS and 0.1% BSA

Preservative

0.09% Sodium Azide

Concentration

0.2 mg/ml

Shipping

The product is shipped with polar packs. Upon receipt, store it immediately at the temperature recommended below.

Stability & Storage

Store at 4C. Do not freeze.

Background: p66 beta

P66beta/GATAD2B interacts with MBD2 (methyl-CpG-binding domain 2) and MBD3 (methyl-CpG-binding domain 3) and participates in transcriptional repression in association with the MBD2/NuRD and MBD3/NuRD histone deacetylase complexes. P66beta/GATAD2B is SUMOylated in vivo and its repressive activity has been shown to be enhanced by SUMOylation. Alternate names for P66beta/GATAD2B include transcriptional repressor p66 beta, p66/p68, GATA zinc-finger domain-containing protein 2B, FLJ37346, and KIAA1150.

Alternate Names

FLJ37346, GATA zinc finger domain containing 2B, GATA zinc finger domain-containing protein 2B, KIAA1150, MGC138257, MGC138285, p66/p68, P66beta, RP11-216N14.6, transcription repressor p66 beta component of the MeCP1 complex, transcriptional repressor p66-beta

Entrez Gene IDs

57459 (Human)

Gene Symbol

GATAD2B

Additional p66 beta Products

Product Documents for p66 beta Antibody

Certificate of Analysis

To download a Certificate of Analysis, please enter a lot number in the search box below.

Product Specific Notices for p66 beta Antibody

This product is for research use only and is not approved for use in humans or in clinical diagnosis. Primary Antibodies are guaranteed for 1 year from date of receipt.

Loading...
Loading...
Loading...
Loading...