Skip to main content

p38 alpha Antibody (10B11C8) - BSA Free

Novus Biologicals, part of Bio-Techne | Catalog # NBP2-37312

Novus Biologicals, part of Bio-Techne
Catalog #
Availability
Size / Price
Qty
Loading...
NBP2-37312
NBP2-37312-0.025ml

Key Product Details

Species Reactivity

Human, Mouse, Rat, Monkey, Primate

Applications

ELISA, Immunohistochemistry, Immunohistochemistry-Paraffin, Western Blot

Label

Unconjugated

Antibody Source

Monoclonal Mouse IgG1 Clone # 10B11C8

Format

BSA Free

Concentration

1 mg/ml

Product Specifications

Immunogen

Purified recombinant fragment of human p38 alpha (AA: 299-360) expressed in E. Coli.

Reactivity Notes

Please note that this antibody is reactive to Mouse and derived from the same host, Mouse. Additional Mouse on Mouse blocking steps may be required for IHC and ICC experiments. Please contact Technical Support for more information.

Clonality

Monoclonal

Host

Mouse

Isotype

IgG1

Theoretical MW

41.3 kDa.
Disclaimer note: The observed molecular weight of the protein may vary from the listed predicted molecular weight due to post translational modifications, post translation cleavages, relative charges, and other experimental factors.

Description

Novus Biologicals Mouse p38 alpha Antibody (10B11C8) - BSA Free (NBP2-37312) is a monoclonal antibody validated for use in IHC, WB and ELISA. All Novus Biologicals antibodies are covered by our 100% guarantee.

Scientific Data Images for p38 alpha Antibody (10B11C8) - BSA Free

Western Blot: p38 alpha Antibody (10B11C8)BSA Free [NBP2-37312]

Western Blot: p38 alpha Antibody (10B11C8)BSA Free [NBP2-37312]

Western Blot: p38 Antibody (10B11C8) [NBP2-37312] - Western blot analysis using MAPK14 mouse mAb against Hela (1), HEK293 (2), A431 (3), MCF-7 (4), RAW264.7 (5), Cos7 (6), C6 (7), Jurkat (8) and NIH/3T3 (9) cell lysate.
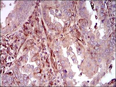
Immunohistochemistry: p38 alpha Antibody (10B11C8) - BSA Free [NBP2-37312]

Immunohistochemistry: p38 alpha Antibody (10B11C8) - BSA Free [NBP2-37312]

Immunohistochemistry: p38 Antibody (10B11C8) [NBP2-37312] - Immunohistochemical analysis of paraffin-embedded endometrial cancer tissues using MAPK14 mouse mAb with DAB staining.
Western Blot: p38 alpha Antibody (10B11C8)BSA Free [NBP2-37312]

Western Blot: p38 alpha Antibody (10B11C8)BSA Free [NBP2-37312]

Western Blot: p38 Antibody (10B11C8) [NBP2-37312] - Western blot analysis using MAPK14 mAb against human MAPK14 recombinant protein. (Expected MW is 32.6 kDa)

Applications for p38 alpha Antibody (10B11C8) - BSA Free

Application
Recommended Usage

ELISA

1:10000

Immunohistochemistry

1:200 - 1:1000

Immunohistochemistry-Paraffin

1:200 - 1:1000

Western Blot

1:500 - 1:2000

Formulation, Preparation, and Storage

Purification

Protein G purified

Formulation

PBS

Format

BSA Free

Preservative

0.05% Sodium Azide

Concentration

1 mg/ml

Shipping

The product is shipped with polar packs. Upon receipt, store it immediately at the temperature recommended below.

Stability & Storage

Store at 4C short term. Aliquot and store at -20C long term. Avoid freeze-thaw cycles.

Background: p38 alpha

The p38 Mitogen-activated Protein Kinases (MAPKs) are a family of four related Ser/Thr kinases activated by proinflammatory cytokines and environmental stresses. All four p38 family members, alpha, beta, gamma, and delta, are phosphorylated by MKK3 and/or MKK6 at dual Thr and Tyr positions within the phosphoacceptor sequence Thr-Gly-Tyr. Once activated, p38 phosphorylates a number of targets, including the nuclear transcription factors ATF2 and Max.

The most frequently analyzed family member, p38 alpha, also known as SAPK2a and MAPK14, was initially purified as a kinase critical to the signaling cascade linking IL-1 to MAPKAPK-2 and the small heat shock protein HSP27. Ubiquitously expressed, p38 alpha is dually phosphorylated by MKK3 and MKK6 at Thr180 and Tyr182. Once activated, p38 alpha phosphorylates a number of targets, including the cytoplasmic kinases MNK 4 and PRAK5 and the nuclear transcription factors ATF2 1 and STAT1. Several promising compounds that inhibit p38 alpha are being investigated as potential therapies for arthritic and inflammatory diseases.

Alternate Names

MAPK14, SAPK2a

Gene Symbol

MAPK14

Additional p38 alpha Products

Product Documents for p38 alpha Antibody (10B11C8) - BSA Free

Certificate of Analysis

To download a Certificate of Analysis, please enter a lot number in the search box below.

Product Specific Notices for p38 alpha Antibody (10B11C8) - BSA Free

This product is for research use only and is not approved for use in humans or in clinical diagnosis. Primary Antibodies are guaranteed for 1 year from date of receipt.

Loading...
Loading...
Loading...
Loading...