Skip to main content

P311 Antibody - BSA Free

Novus Biologicals, part of Bio-Techne | Catalog # NBP1-84315

Novus Biologicals, part of Bio-Techne
Catalog #
Availability
Size / Price
Qty
Loading...
NBP1-84315
NBP1-84315-25ul

Key Product Details

Species Reactivity

Validated:

Human

Cited:

Mouse

Applications

Validated:

Immunohistochemistry, Immunohistochemistry-Paraffin

Cited:

Immunohistochemistry-Paraffin

Label

Unconjugated

Antibody Source

Polyclonal Rabbit IgG

Format

BSA Free

Concentration

Concentrations vary lot to lot. See vial label for concentration. If unlisted please contact technical services.

Product Specifications

Immunogen

This antibody was developed against Recombinant Protein corresponding to amino acids: YYPELFVWVSQEPFPNKDMEGRLPKGRLPVPKEVNRKKNDETNAASLTPLGSSEL

Reactivity Notes

Please note that mouse reactivity was reported in PMID 9270129, which used an older lot that is no longer available. Immunogen has 78% sequence identity with mouse but has not been tested in house.

Clonality

Polyclonal

Host

Rabbit

Isotype

IgG

Description

Novus Biologicals Rabbit P311 Antibody - BSA Free (NBP1-84315) is a polyclonal antibody validated for use in IHC. Anti-P311 Antibody: Cited in 3 publications. All Novus Biologicals antibodies are covered by our 100% guarantee.

Scientific Data Images for P311 Antibody - BSA Free

P311 Antibody - BSA Free Immunohistochemistry-Paraffin: P311 Antibody - BSA Free [NBP1-84315]

Immunohistochemistry-Paraffin: P311 Antibody - BSA Free [NBP1-84315]

Staining of human cerebral cortex shows strong cytoplasmic positivity in glial cells, axons and dendrites.
P311 Antibody - BSA Free Immunohistochemistry-Paraffin: P311 Antibody - BSA Free [NBP1-84315]

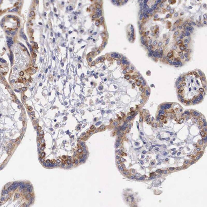
Immunohistochemistry-Paraffin: P311 Antibody - BSA Free [NBP1-84315]

Staining of human placenta shows strong cytoplasmic positivity in trophoblastic cells.
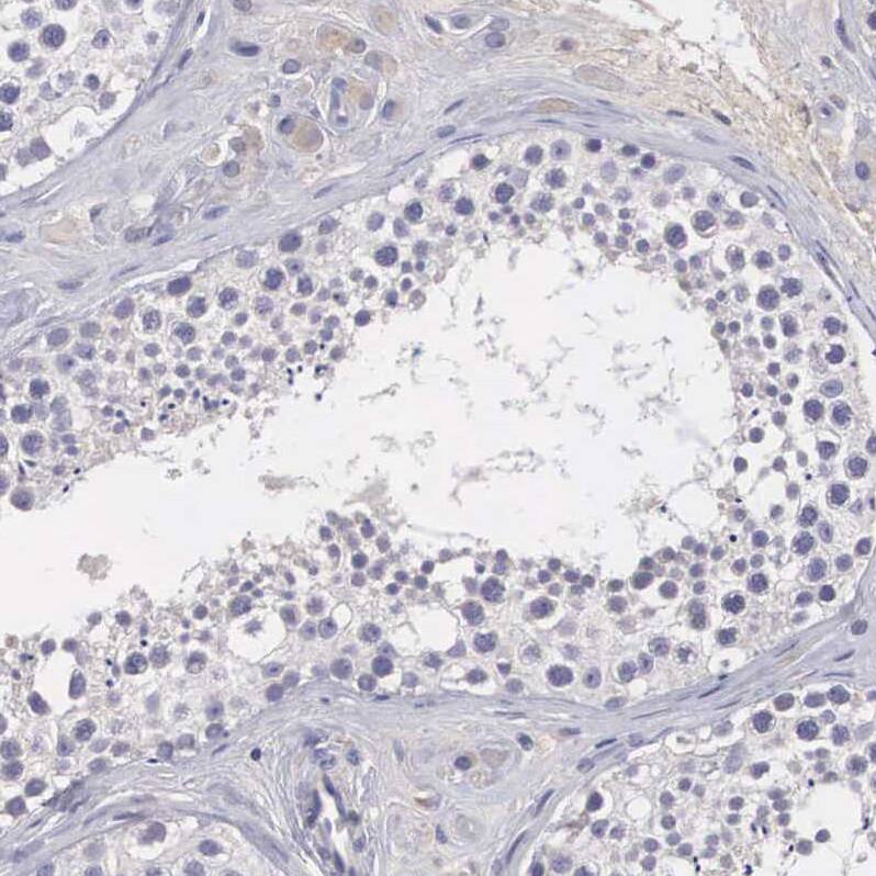
P311 Antibody - BSA Free Immunohistochemistry-Paraffin: P311 Antibody - BSA Free [NBP1-84315]

Immunohistochemistry-Paraffin: P311 Antibody - BSA Free [NBP1-84315]

Staining of human testis shows no positivity in cells in seminiferous ducts as expected.

Applications for P311 Antibody - BSA Free

Application
Recommended Usage

Immunohistochemistry

1:50 - 1:200

Immunohistochemistry-Paraffin

1:50 - 1:200
Application Notes
For IHC-Paraffin, HIER pH 6 retrieval is recommended. Please note that ICC/IF was reported in PMID 9270129, which used an older lot that is no longer available. Current lot is not validated for use in ICC/IF.

Formulation, Preparation, and Storage

Purification

Affinity purified

Formulation

PBS (pH 7.2) and 40% Glycerol

Format

BSA Free

Preservative

0.02% Sodium Azide

Concentration

Concentrations vary lot to lot. See vial label for concentration. If unlisted please contact technical services.

Shipping

The product is shipped with polar packs. Upon receipt, store it immediately at the temperature recommended below.

Stability & Storage

Store at 4C short term. Aliquot and store at -20C long term. Avoid freeze-thaw cycles.

Background: P311

C5orf13 may have roles in neural function. Ectopic expression augments motility of gliomas. Promotes also axonal regeneration . May also have functions in cellular differentiation . Induces differentiation of fibroblast into myofibroblast and myofibroblast ameboi

Alternate Names

chromosome 5 open reading frame 13, neuronal protein 3.1, P311PTZ17D4S114, PRO1873, Protein p311

Gene Symbol

NREP

Additional P311 Products

Product Documents for P311 Antibody - BSA Free

Certificate of Analysis

To download a Certificate of Analysis, please enter a lot number in the search box below.

Product Specific Notices for P311 Antibody - BSA Free

This product is for research use only and is not approved for use in humans or in clinical diagnosis. Primary Antibodies are guaranteed for 1 year from date of receipt.

Loading...
Loading...
Loading...
Loading...
Loading...